验证数据展示
经过测试的应用
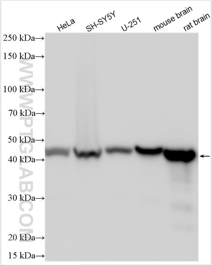
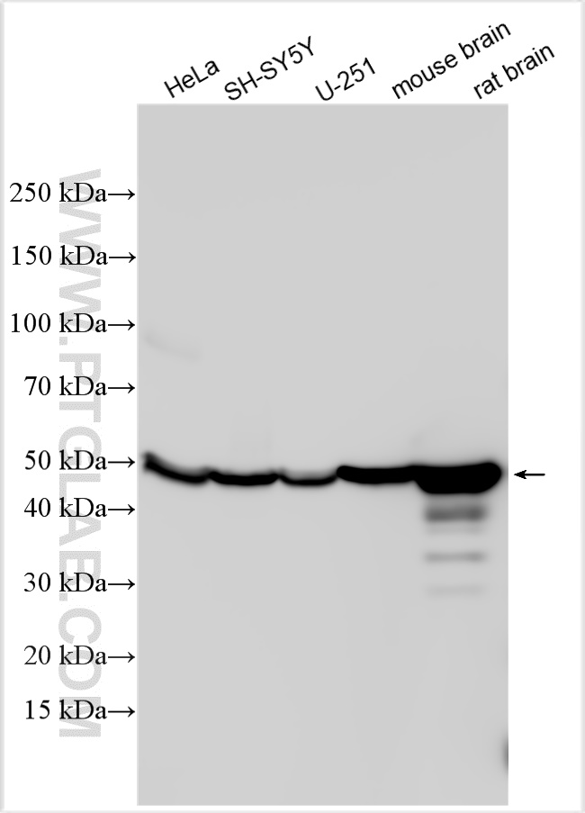
| Positive WB detected in | HeLa cells, human brain tissue, U-251 cells, SH-SY5Y cells, mouse brain tissue, rat brain tissue |
| Positive IP detected in | mouse brain tissue |
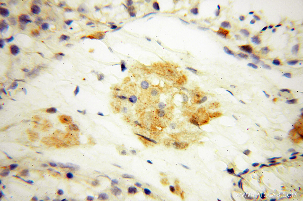
| Positive IHC detected in | human brain tissue, human lung tissue, human testis tissue Note: suggested antigen retrieval with TE buffer pH 9.0; (*) Alternatively, antigen retrieval may be performed with citrate buffer pH 6.0 |
| Positive IF/ICC detected in | HeLa cells |
推荐稀释比
| 应用 | 推荐稀释比 |
|---|---|
| Western Blot (WB) | WB : 1:5000-1:50000 |
| Immunoprecipitation (IP) | IP : 0.5-4.0 ug for 1.0-3.0 mg of total protein lysate |
| Immunohistochemistry (IHC) | IHC : 1:100-1:400 |
| Immunofluorescence (IF)/ICC | IF/ICC : 1:200-1:800 |
| It is recommended that this reagent should be titrated in each testing system to obtain optimal results. | |
| Sample-dependent, Check data in validation data gallery. | |
产品信息
10149-1-AP targets NSE in WB, IHC, IF/ICC, IP, ELISA applications and shows reactivity with human, mouse, rat samples.
| 经测试应用 | WB, IHC, IF/ICC, IP, ELISA Application Description |
| 文献引用应用 | WB, IHC, IF |
| 经测试反应性 | human, mouse, rat |
| 文献引用反应性 | human, mouse, rat, goat, duck |
| 免疫原 |
CatNo: Ag0196 Product name: Recombinant human ENO2 protein Source: e coli.-derived, PGEX-4T Tag: GST Domain: 2-300 aa of BC002745 Sequence: SIEKIWAREILDSRGNPTVEVDLYTAKGLFRAAVPSGASTGIYEALELRDGDKQRYLGKGVLKAVDHINSTIAPALISSGLSVVEQEKLDNLMLELDGTENKSKFGANAILGVSLAVCKAGAAERELPLYRHIAQLAGNSDLILPVPAFNVINGGSHAGNKLAMQEFMILPVGAESFRDAMRLGAEVYHTLKGVIKDKYGKDATNVGDEGGFAPNILENSEALELVKEAIDKAGYTEKIVIGMDVAASEFYRDGKYDLDFKSPTDPSRYITGDQLGALYQDFVRDYPVVSIEDPFDQDD 种属同源性预测 |
| 宿主/亚型 | Rabbit / IgG |
| 抗体类别 | Polyclonal |
| 产品类型 | Antibody |
| 全称 | enolase 2 (gamma, neuronal) |
| 别名 | ENO2, Neural enolase, Gamma enolase, Enolase 2, EC:4.2.1.11 |
| 计算分子量 | 47 kDa |
| 观测分子量 | 47 kDa |
| GenBank蛋白编号 | BC002745 |
| 基因名称 | NSE |
| Gene ID (NCBI) | 2026 |
| RRID | AB_2099180 |
| 偶联类型 | Unconjugated |
| 形式 | Liquid |
| 纯化方式 | Antigen affinity purification |
| UNIPROT ID | P09104 |
| 储存缓冲液 | PBS with 0.02% sodium azide and 50% glycerol, pH 7.3. |
| 储存条件 | Store at -20°C. Stable for one year after shipment. Aliquoting is unnecessary for -20oC storage. |
背景介绍
NSE, also named as ENO2, belongs to the enolase family. Enolases are cytoplasmic glycolytic enzymes that may be involved in differentiation. The enolase has three isoenzymes, alpha, beta and gamma. The alpha form is expressed in most tissues, whereas the beta form is expressed in muscle tissue. The gamma enolase (ENO2), a homodimer, is primarily localized in neurons and neuroendocrine cells and is a cancer diagnostic marker for brain tumors (PMID:7520111). ENO2 plays a role in the glycolysis-related energy pathway and might be involved in higher metabolic activity during the day than at night, at least in part.
实验方案
| Product Specific Protocols | |
|---|---|
| IF protocol for NSE antibody 10149-1-AP | Download protocol |
| IHC protocol for NSE antibody 10149-1-AP | Download protocol |
| IP protocol for NSE antibody 10149-1-AP | Download protocol |
| WB protocol for NSE antibody 10149-1-AP | Download protocol |
| Standard Protocols | |
|---|---|
| Click here to view our Standard Protocols |
发表文章
| Species | Application | Title |
|---|---|---|
Nat Neurosci Aerobic glycolysis is the predominant means of glucose metabolism in neuronal somata, which protects against oxidative damage | ||
J Hazard Mater Excessive mitochondrial stress response triggers neuronal injury through the persistent eIF2α phosphorylation in mice exposed to manganese | ||
Mater Today Bio In situ forming and biocompatible hyaluronic acid hydrogel with reactive oxygen species-scavenging activity to improve traumatic brain injury repair by suppressing oxidative stress and neuroinflammation. | ||
Mater Today Bio Injectable hyaluronic acid hydrogel loaded with BMSC and NGF for traumatic brain injury treatment. | ||
Front Immunol New insights into markers for distinguishing neuroendocrine prostate cancer: evidence from single-cell analysis | ||
Aging (Albany NY) Adipose-derived stromal cells improve functional recovery after spinal cord injury through TGF-β1/Smad3/PLOD2 pathway activation. |











