验证数据展示
经过测试的应用
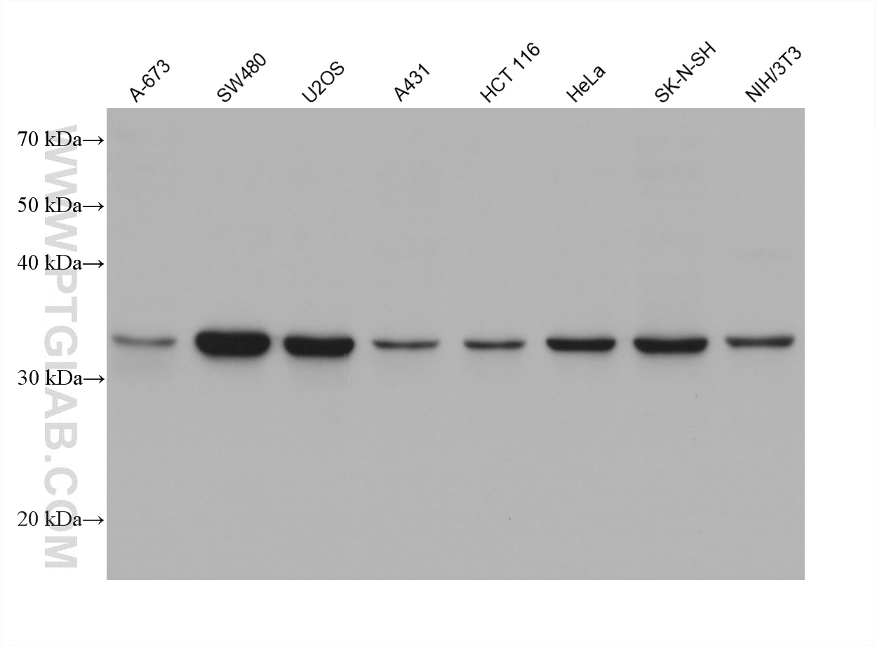
| Positive WB detected in | MCF-7 cells, A549 cells, A-673 cells, HeLa cells, NIH/3T3 cells, RAW 264.7 cells, SW480 cells, U2OS cells, A431 cells, HCT 116 cells, SK-N-SH cells, SW 1990 cells, HepG2 cells, HSC-T6 cells, PC-12 cells |
| Positive FC (Intra) detected in | SH-SY5Y cells |
推荐稀释比
| 应用 | 推荐稀释比 |
|---|---|
| Western Blot (WB) | WB : 1:5000-1:50000 |
| Flow Cytometry (FC) (INTRA) | FC (INTRA) : 0.25 ug per 10^6 cells in a 100 µl suspension |
| It is recommended that this reagent should be titrated in each testing system to obtain optimal results. | |
| Sample-dependent, Check data in validation data gallery. | |
产品信息
60186-1-Ig targets Cyclin D1 in WB, IF, FC (Intra), IP, ChIP, ELISA applications and shows reactivity with human, mouse, rat samples.
| 经测试应用 | WB, FC (Intra), ELISA Application Description |
| 文献引用应用 | WB, IF, IP, ChIP |
| 经测试反应性 | human, mouse, rat |
| 文献引用反应性 | human, mouse, rat, rabbit, chicken, zebrafish, bovine, hamster, goat |
| 免疫原 |
CatNo: Ag0689 Product name: Recombinant human Cyclin D1 protein Source: e coli.-derived, PGEX-4T Tag: GST Domain: 65-245 aa of BC000076 Sequence: LEVCEEQKCEEEVFPLAMNYLDRFLSLEPVKKSRLQLLGATCMFVASKMKETIPLTAEKLCIYTDNSIRPEELLQMELLLVNKLKWNLAAMTPHDFIEHFLSKMPEAEENKQIIRKHAQTFVALCATDVKFISNPPSMVAAGSVVAAVQGLNLRSPNNFLSYYRLTRFLSRVIKCDPDCLR 种属同源性预测 |
| 宿主/亚型 | Mouse / IgG2b |
| 抗体类别 | Monoclonal |
| 产品类型 | Antibody |
| 全称 | cyclin D1 |
| 别名 | CCND1, 2G3G5, B cell lymphoma 1 protein, B-cell lymphoma 1 protein, BCL-1 |
| 计算分子量 | 295 aa, 34 kDa |
| 观测分子量 | 34 kDa |
| GenBank蛋白编号 | BC000076 |
| 基因名称 | Cyclin D1 |
| Gene ID (NCBI) | 595 |
| RRID | AB_10793718 |
| 偶联类型 | Unconjugated |
| 形式 | Liquid |
| 纯化方式 | Protein A purification |
| UNIPROT ID | P24385 |
| 储存缓冲液 | PBS with 0.02% sodium azide and 50% glycerol, pH 7.3. |
| 储存条件 | Store at -20°C. Stable for one year after shipment. Aliquoting is unnecessary for -20oC storage. |
背景介绍
CCND1 (cyclin D1), also known as PRAD1 or BCL1, belongs to the highly conserved cyclin family, whose members are characterized by a dramatic periodicity in protein abundance throughout the cell cycle. CCND1 forms a complex with and functions as a regulatory subunit of CDK4 or CDK6, whose activity is required for cell cycle G1/S transition. The CCND1 gene, located on 11q13 has been reported to be overexpressed in mantle cell lymphoma (MCL) due to the chromosomal translocation. CCND1 has been shown to interact with tumor suppressor protein Rb and the expression of this gene is regulated positively by Rb. Over-expression of CCND1 is known to correlate with the early onset of cancer and risk of tumor progression and metastasis.
实验方案
| Product Specific Protocols | |
|---|---|
| FC protocol for Cyclin D1 antibody 60186-1-Ig | Download protocol |
| WB protocol for Cyclin D1 antibody 60186-1-Ig | Download protocol |
| Standard Protocols | |
|---|---|
| Click here to view our Standard Protocols |
发表文章
| Species | Application | Title |
|---|---|---|
Nat Cell Biol TRIM15 and CYLD regulate ERK activation via lysine-63-linked polyubiquitination. | ||
Bioact Mater Bioinspired engineering ADSC nanovesicles thermosensitive hydrogel enhance autophagy of dermal papilla cells for androgenetic alopecia treatment | ||
Nat Commun F-box protein FBXO32 ubiquitinates and stabilizes D-type cyclins to drive cancer progression | ||
Adv Sci (Weinh) Inflammatory Fibroblast-Like Synoviocyte-Derived Exosomes Aggravate Osteoarthritis via Enhancing Macrophage Glycolysis | ||
Acta Pharm Sin B The substitution of SERCA2 redox cysteine 674 promotes pulmonary vascular remodeling by activating IRE1α/XBP1s pathway. |








