验证数据展示
经过测试的应用
| Positive WB detected in | human testis tissue, human skeletal muscle tissue |
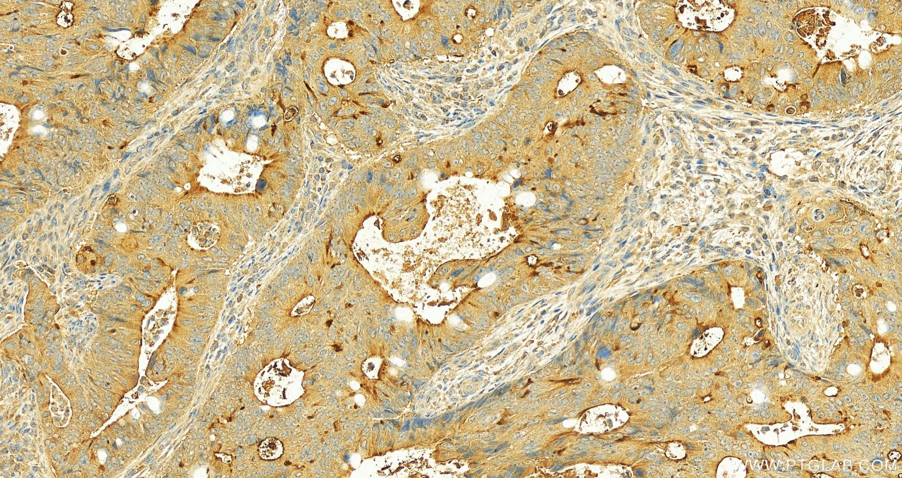
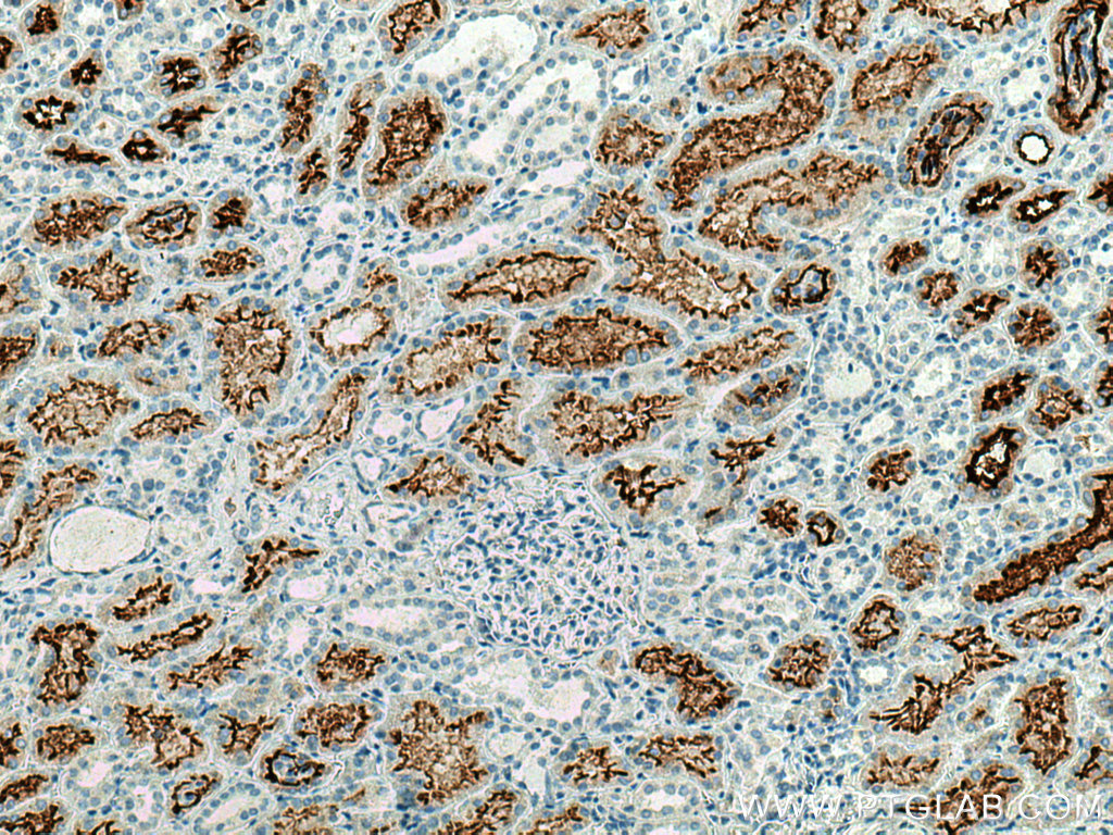
| Positive IHC detected in | human small intestine tissue, human colon tissue, human colon cancer tissue, human kidney tissue, human testis tissue Note: suggested antigen retrieval with TE buffer pH 9.0; (*) Alternatively, antigen retrieval may be performed with citrate buffer pH 6.0 |
| Positive IF-P detected in | human kidney tissue, mouse testis tissue, mouse heart tissue |
推荐稀释比
| 应用 | 推荐稀释比 |
|---|---|
| Western Blot (WB) | WB : 1:2000-1:6000 |
| Immunohistochemistry (IHC) | IHC : 1:1000-1:4000 |
| Immunofluorescence (IF)-P | IF-P : 1:200-1:800 |
| It is recommended that this reagent should be titrated in each testing system to obtain optimal results. | |
| Sample-dependent, Check data in validation data gallery. | |
产品信息
66699-1-Ig targets ACE2 in WB, IHC, IF-P, IP, RIP, ELISA applications and shows reactivity with human, mouse samples.
| 经测试应用 | WB, IHC, IF-P, ELISA Application Description |
| 文献引用应用 | WB, IHC, IF, IP, RIP |
| 经测试反应性 | human, mouse |
| 文献引用反应性 | human, mouse, monkey, goat |
| 免疫原 |
CatNo: Ag15554 Product name: Recombinant human ACE2 protein Source: e coli.-derived, PET28a Tag: 6*His Domain: 392-744 aa of BC048094 Sequence: LRNGANEGFHEAVGEIMSLSAATPKHLKSIGLLSPDFQEDNETEINFLLKQALTIVGTLPFTYMLEKWRWMVFKGEIPKDQWMKKWWEMKREIVGVVEPVPHDETYCDPASLFHVSNDYSFIRYYTRTLYQFQFQEALCQAAKHEGPLHKCDISNSTEAGQKLFNMLRLGKSEPWTLALENVVGAKNMNVRPLLNYFEPLFTWLKDQNKNSFVGWSTDWSPYADQSIKVRISLKSALGDKAYEWNDNEMYLFRSSVAYAMRQYFLKVKNQMILFGEEDVRVANLKPRISFNFFVTAPKNVSDIIPRTEVEKAIRMSRSRINDAFRLNDNSLEFLGIQPTLGPPNQPPVSIWLI 种属同源性预测 |
| 宿主/亚型 | Mouse / IgG1 |
| 抗体类别 | Monoclonal |
| 产品类型 | Antibody |
| 全称 | angiotensin I converting enzyme (peptidyl-dipeptidase A) 2 |
| 别名 | 2F12A4, ACE related carboxypeptidase, ACEH, ACE-related carboxypeptidase, Angiotensin converting enzyme 2 |
| 计算分子量 | 805 aa, 92 kDa |
| 观测分子量 | 120 kDa, 92 kDa |
| GenBank蛋白编号 | BC048094 |
| 基因名称 | ACE2 |
| Gene ID (NCBI) | 59272 |
| RRID | AB_2882052 |
| 偶联类型 | Unconjugated |
| 形式 | Liquid |
| 纯化方式 | Protein G purification |
| UNIPROT ID | Q9BYF1 |
| 储存缓冲液 | PBS with 0.02% sodium azide and 50% glycerol, pH 7.3. |
| 储存条件 | Store at -20°C. Stable for one year after shipment. Aliquoting is unnecessary for -20oC storage. |
背景介绍
ACE2 (Angiotensin-converting enzyme 2), also named as ACEH, is a zinc metalloprotease of the ACE family and a critical regulator of the reninangiotensin system. ACE2 has a more restricted tissue distribution than ACE, being found predominantly in the heart, kidneys, and testes although low levels have been detected in a variety of tissues (PMID:15983030). ACE2 has been shown to be a functional receptor of the human coronaviruses SARS-CoV and SARS-CoV-2 (PMID: 32142651). The expression level and expression pattern of human ACE2 in different tissues might be critical for the susceptibility, symptoms, and outcome of 2019-nCoV/SARS-CoV-2 infection (PMID: 32133153). It can be used as a potential therapeutic target of SARS-CoV-2 (PMID: 32125455). The calculated molecular weight of ACE2 is 92kDa but it migrates to 120kDa due to N-glycosylation (PMID:16166094). Sometimes, several cleaved fragments can also be detected as 75kDa, 50 kDa or 37kDa (PMID: 29561187, 22009550, 30759273). It has 2 isoforms produced by alternative splicing. This antibody is specific to ACE2. The location of ACE2 is membrane and cytoplasm, however it accumulates in the nucleus during the mitosis (PMID: 1730413/PMID: 18292088).
实验方案
| Product Specific Protocols | |
|---|---|
| IF protocol for ACE2 antibody 66699-1-Ig | Download protocol |
| IHC protocol for ACE2 antibody 66699-1-Ig | Download protocol |
| WB protocol for ACE2 antibody 66699-1-Ig | Download protocol |
| Standard Protocols | |
|---|---|
| Click here to view our Standard Protocols |
发表文章
| Species | Application | Title |
|---|---|---|
Cell Stem Cell Androgen Signaling Regulates SARS-CoV-2 Receptor Levels and Is Associated with Severe COVID-19 Symptoms in Men. | ||
Ocul Surf SARS-CoV-2 receptor ACE2 is expressed in human conjunctival tissue, especially in diseased conjunctival tissue. | ||
Cell Death Differ SARS-CoV-2 spike protein dictates syncytium-mediated lymphocyte elimination. | ||
J Control Release Peritoneal M2 macrophage-derived extracellular vesicles as natural multitarget nanotherapeutics to attenuate cytokine storms after severe infections. |

















