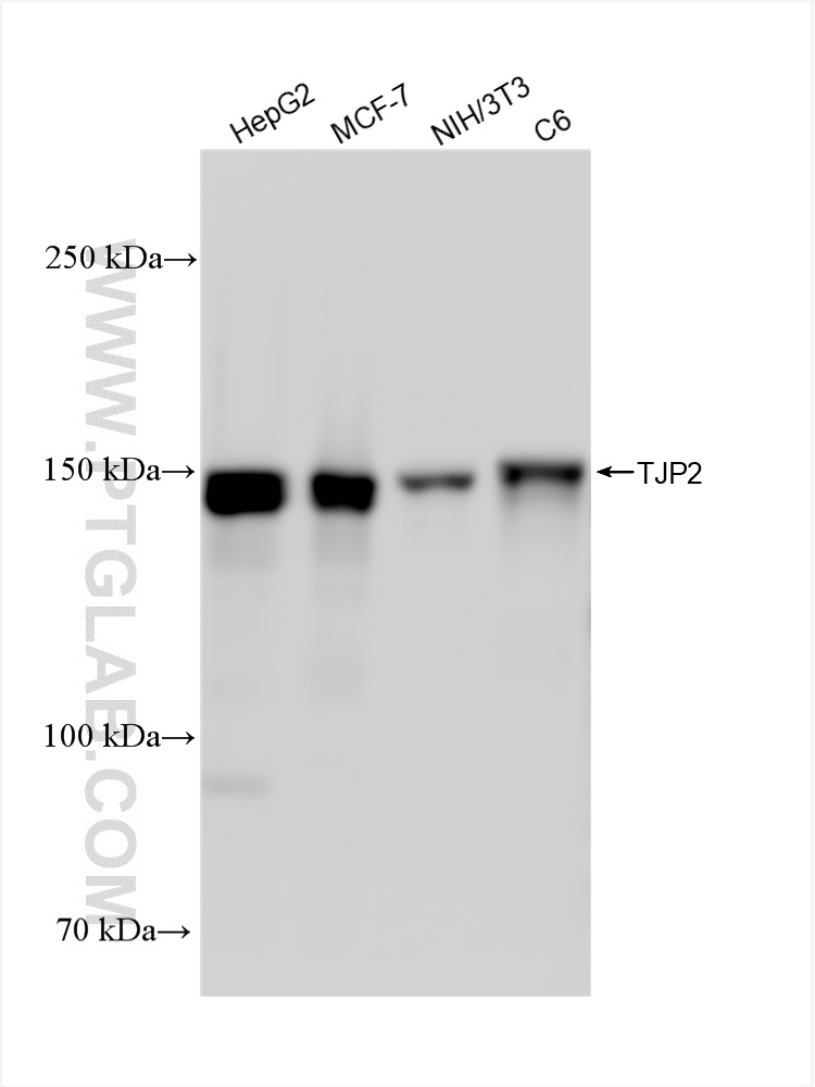
验证数据展示
产品信息
83111-1-PBS targets ZO-2 in WB, IHC, Indirect ELISA applications and shows reactivity with human, mouse, rat samples.
| 经测试应用 | WB, IHC, Indirect ELISA Application Description |
| 经测试反应性 | human, mouse, rat |
| 免疫原 |
CatNo: Ag13534 Product name: Recombinant human TJP2 protein Source: e coli.-derived, PGEX-4T Tag: GST Domain: 1-289 aa of BC027592 Sequence: MPVRGDRGFPPRRELSGWLRAPGMEELIWEQYTVTLQKDSKRGFGIAVSGGRDNPHFENGETSIVISDVLPGGPADGLLQENDRVVMVNGTPMEDVLHSFAVQQLRKSGKVAAIVVKRPRKVQVAALQASPPLDQDDRAFEVMDEFDGRSFRSGYSERSRLNSHGGRSRSWEDSPERGRPHERARSRERDLSRDRSRGRSLERGLDQDHARTRDRSRGRSLERGLDHDFGPSRDRDRDRSRGRSIDQDYERAYHRAYDPDYERAYSPEYRRGARHDARSRGPRSRSREH 种属同源性预测 |
| 宿主/亚型 | Rabbit / IgG |
| 抗体类别 | Recombinant |
| 产品类型 | Antibody |
| 全称 | tight junction protein 2 (zona occludens 2) |
| 别名 | TJP2, ZO2, TJP 2, Tight junction protein ZO-2, Tight junction protein ZO 2 |
| 计算分子量 | 134 kDa |
| 观测分子量 | ~150 kDa |
| GenBank蛋白编号 | BC027592 |
| 基因名称 | TJP2 |
| Gene ID (NCBI) | 9414 |
| 偶联类型 | Unconjugated |
| 形式 | Liquid |
| 纯化方式 | Protein A purification |
| UNIPROT ID | Q9UDY2 |
| 储存缓冲液 | PBS only, pH 7.3. |
| 储存条件 | Store at -80°C. The product is shipped with ice packs. Upon receipt, store it immediately at -80°C |
背景介绍
Zona occludens protein 2 (ZO-2), also known as tight junction protein 2 (TJP2), is a membrane-associated guanylate kinase acting at intercellular contacts of epithelial and endothelial cells but also in their nuclei.




