验证数据展示
经过测试的应用
| Positive WB detected in | mouse brain tissue |
| Positive IP detected in | K-562 cells |
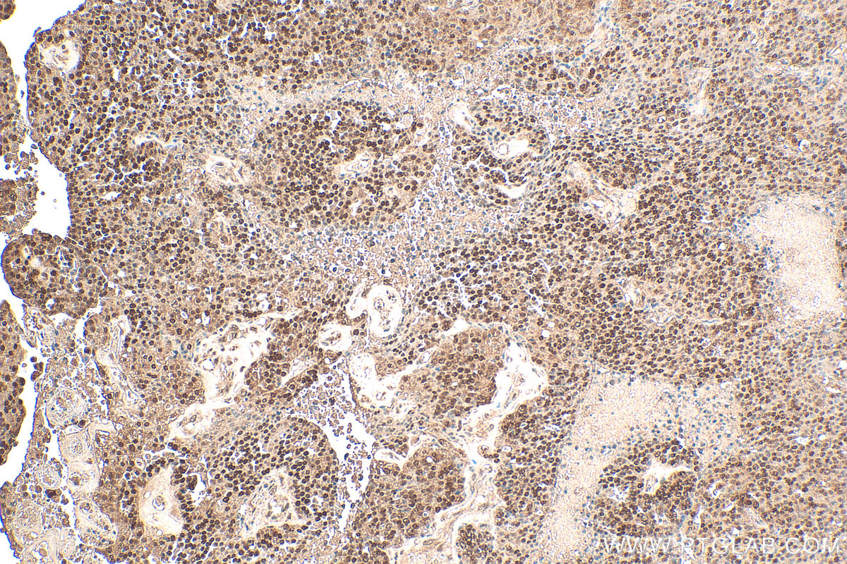
| Positive IHC detected in | human ovary tumor tissue Note: suggested antigen retrieval with TE buffer pH 9.0; (*) Alternatively, antigen retrieval may be performed with citrate buffer pH 6.0 |
推荐稀释比
| 应用 | 推荐稀释比 |
|---|---|
| Western Blot (WB) | WB : 1:500-1:1000 |
| Immunoprecipitation (IP) | IP : 0.5-4.0 ug for 1.0-3.0 mg of total protein lysate |
| Immunohistochemistry (IHC) | IHC : 1:200-1:800 |
| It is recommended that this reagent should be titrated in each testing system to obtain optimal results. | |
| Sample-dependent, Check data in validation data gallery. | |
产品信息
25742-1-AP targets ZMYM3 in WB, IHC, IP, ELISA applications and shows reactivity with human, mouse samples.
| 经测试应用 | WB, IHC, IP, ELISA Application Description |
| 文献引用应用 | WB, IHC, IP |
| 经测试反应性 | human, mouse |
| 文献引用反应性 | human |
| 免疫原 |
CatNo: Ag22701 Product name: Recombinant human ZMYM3 protein Source: e coli.-derived, PGEX-4T Tag: GST Domain: 1-317 aa of BC013009 Sequence: MDPSDFPSPFDPLTLPEKPLAGDLPVDMEFGEDLLESQTAPTRGWAPPGPSPSSGALDLLDTPAGLEKDPGVLDGATELLGLGGLLYKAPSPPEVDHGPEGTLAWDAGDQTLEPGPGGQTPEVVPPDPGAGANSCSPEGLLEPLAPDSPITLQSPHIEEEETTSIATARRGSPGQEEELPQGQPQSPNAPPSPSVGETLGDGINSSQTKPGGSSPPAHPSLPGDGLTAKASEKPPERKRSERVRRAEPPKPEVVDSTESIPVSDEDSDAMVDDPNDEDFVPFRPRRSPRMSLRSSVSQRAGRSAVGTKMTCAHCRTP 种属同源性预测 |
| 宿主/亚型 | Rabbit / IgG |
| 抗体类别 | Polyclonal |
| 产品类型 | Antibody |
| 全称 | zinc finger, MYM-type 3 |
| 别名 | DXS6673E, KIAA0385, MYM, XFIM, Zinc finger MYM type protein 3 |
| 计算分子量 | 1370 aa, 152 kDa |
| 观测分子量 | 190-200 kDa |
| GenBank蛋白编号 | BC013009 |
| 基因名称 | ZMYM3 |
| Gene ID (NCBI) | 9203 |
| RRID | AB_2880221 |
| 偶联类型 | Unconjugated |
| 形式 | Liquid |
| 纯化方式 | Antigen affinity purification |
| UNIPROT ID | Q14202 |
| 储存缓冲液 | PBS with 0.02% sodium azide and 50% glycerol, pH 7.3. |
| 储存条件 | Store at -20°C. Stable for one year after shipment. Aliquoting is unnecessary for -20oC storage. |
背景介绍
ZMYM3, also named as DXS6673E, KIAA0385, and ZNF261, is a 1370 amino acid protein, which may be a component of a BHC histone deacetylase complex. ZMYM3 is most abundant in brain, moderate in muscle and heart, low in other tissues except placenta. ZMYM3 plays a role in the regulation of cell morphology and cytoskeletal organization.
实验方案
| Product Specific Protocols | |
|---|---|
| IHC protocol for ZMYM3 antibody 25742-1-AP | Download protocol |
| IP protocol for ZMYM3 antibody 25742-1-AP | Download protocol |
| WB protocol for ZMYM3 antibody 25742-1-AP | Download protocol |
| Standard Protocols | |
|---|---|
| Click here to view our Standard Protocols |


