验证数据展示
经过测试的应用
| Positive WB detected in | COLO 320 cells, A549 cells, L02 cells, HEK-293 cells |
| Positive IP detected in | COLO 320 cells |
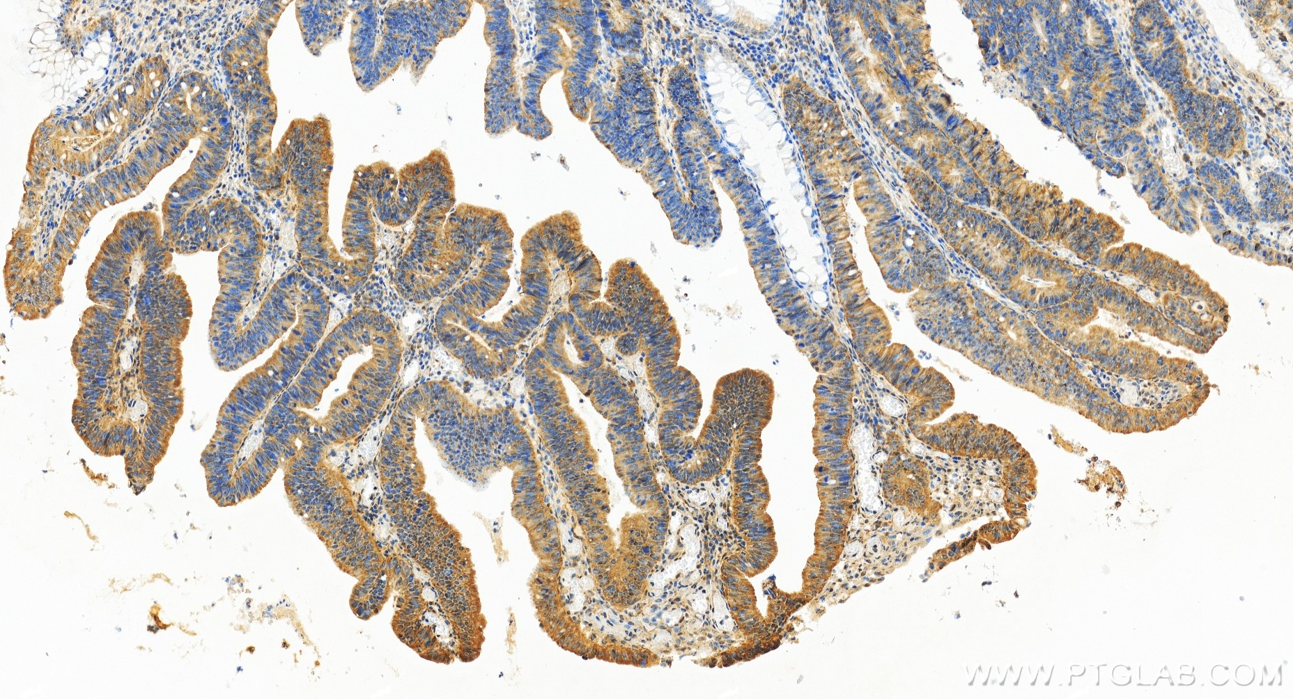
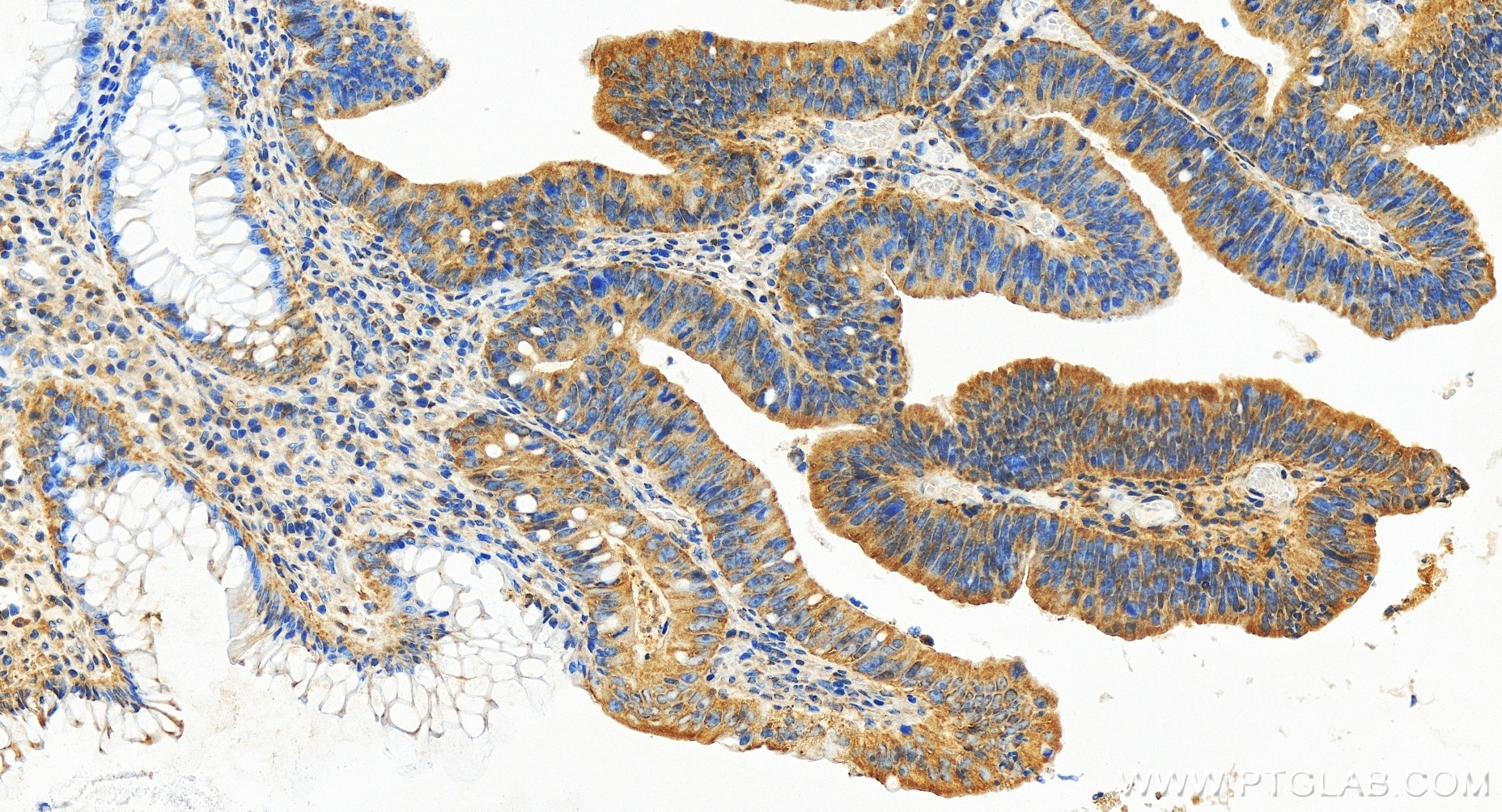
| Positive IHC detected in | human colon cancer tissue Note: suggested antigen retrieval with TE buffer pH 9.0; (*) Alternatively, antigen retrieval may be performed with citrate buffer pH 6.0 |
| Positive IF/ICC detected in | L02 cells |
推荐稀释比
| 应用 | 推荐稀释比 |
|---|---|
| Western Blot (WB) | WB : 1:5000-1:50000 |
| Immunoprecipitation (IP) | IP : 0.5-4.0 ug for 1.0-3.0 mg of total protein lysate |
| Immunohistochemistry (IHC) | IHC : 1:250-1:1000 |
| Immunofluorescence (IF)/ICC | IF/ICC : 1:200-1:800 |
| It is recommended that this reagent should be titrated in each testing system to obtain optimal results. | |
| Sample-dependent, Check data in validation data gallery. | |
产品信息
85998-1-RR targets OGFR in WB, IHC, IF/ICC, IP, ELISA applications and shows reactivity with human samples.
| 经测试应用 | WB, IHC, IF/ICC, IP, ELISA Application Description |
| 经测试反应性 | human |
| 免疫原 |
CatNo: Ag1671 Product name: Recombinant human OGFR protein Source: e coli.-derived, PGEX-4T Tag: GST Domain: 358-658 aa of BC014137 Sequence: LERSQGDEAGGHGEDRPEPLSPKESKKRKLELSRREQPPTEPGPQSASEVEKIALNLEGCALSQGSLRTGTQEVGGQDPGEAVQPCRQPLGARVADKVRKRRKVDEGAGDSAAVASGGAQTLALAGSPAPSGHPKAGHSENGVEEDTEGRTGPKEGTPGSPSETPGPSPAGPAGDEPAESPSETPGPRPAGPAGDEPAESPSETPGPSPAGPTRDEPAESPSETPGPRPAGPAGDEPAESPSETPGPRPAGPAGDEPAESPSETPGPSPAGPTRDEPAKAGEAAELQDAEVESSAKSGKP 种属同源性预测 |
| 宿主/亚型 | Rabbit / IgG |
| 抗体类别 | Recombinant |
| 产品类型 | Antibody |
| 全称 | opioid growth factor receptor |
| 别名 | Opioid growth factor receptor, Protein 7 60, Protein 7-60, Zeta type opioid receptor, Zeta-type opioid receptor |
| 计算分子量 | 73 kDa |
| 观测分子量 | 110 kDa |
| GenBank蛋白编号 | BC014137 |
| 基因名称 | OGFR |
| Gene ID (NCBI) | 11054 |
| RRID | AB_3744536 |
| 偶联类型 | Unconjugated |
| 形式 | Liquid |
| 纯化方式 | Protein A purification |
| UNIPROT ID | Q9NZT2 |
| 储存缓冲液 | PBS with 0.02% sodium azide and 50% glycerol, pH 7.3. |
| 储存条件 | Store at -20°C. Stable for one year after shipment. Aliquoting is unnecessary for -20oC storage. |
实验方案
| Product Specific Protocols | |
|---|---|
| IF protocol for OGFR antibody 85998-1-RR | Download protocol |
| IHC protocol for OGFR antibody 85998-1-RR | Download protocol |
| IP protocol for OGFR antibody 85998-1-RR | Download protocol |
| WB protocol for OGFR antibody 85998-1-RR | Download protocol |
| Standard Protocols | |
|---|---|
| Click here to view our Standard Protocols |





