Recombinant Mouse Siglec1/CD169 protein (rFc Tag)

种属

Mouse

纯度

>90 %, SDS-PAGE

标签

rFc Tag

生物活性

未测试

Cat no : Eg5002

Print datasheet

Synonyms

Sa, SER, Sheep erythrocyte receptor, Sialic acid-binding Ig-like lectin 1, Sialoadhesin



产品信息

纯度 >90 %, SDS-PAGE
内毒素 <0.1 EU/μg protein, LAL method
生物活性
Not tested
来源 HEK293-derived Mouse Siglec1 protein Thr20-Asn510 (Accession# Q62230-1) with a rabbit IgG Fc tag at the C-terminus.
基因ID 20612
蛋白编号 Q62230-1
预测分子量 79.8 kDa
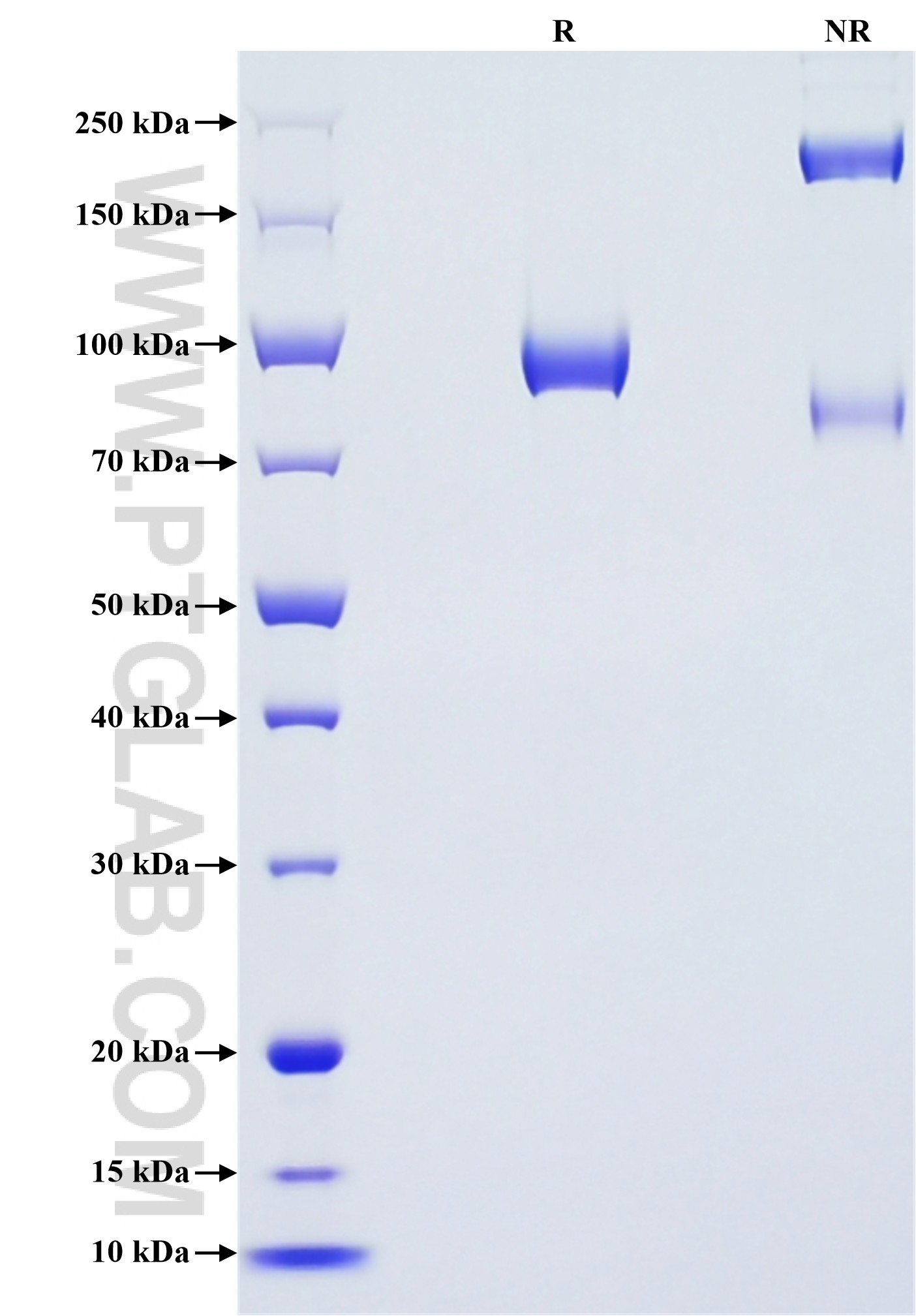
SDS-PAGE 85-100 kDa, reducing (R) conditions
组分 Lyophilized from 0.22 μm filtered solution in PBS, pH 7.4. Normally 5% trehalose and 5% mannitol are added as protectants before lyophilization.
复溶 Briefly centrifuge the tube before opening. Reconstitute at 0.1-0.5 mg/mL in sterile water.
储存条件
It is recommended that the protein be aliquoted for optimal storage. Avoid repeated freeze-thaw cycles.
  • Until expiry date, -20℃ to -80℃ as lyophilized proteins.
  • 3 months, -20℃ to -80℃ under sterile conditions after reconstitution.
运输条件 The product is shipped at ambient temperature. Upon receipt, store it immediately at the recommended temperature.

背景信息

CD169, also known as sheep erythrocyte receptor (SER), Sialoadhesin (Sn) or Siglec-1, is a sialic acid-binding immunoglobulin-like lectin that belongs to the SIGLEC family of the Ig superfamily. CD169 is a single-pass transmembrane protein containing a long extracellular domain, a transmembrane region, and a short cytoplasmic tail. It is primarily expressed on the surface of specific macrophage subsets and its precursor monocytes, as well as on some DCs. CD169 binds to sialic acid-containing glycoconjugates, particularly those with α(2,3)-linkages. It is involved in immune regulation, pathogen recognition, and cell-cell interactions.

参考文献:

1. Crocker PR, Gordon S. (1986) J Exp Med. 164(6):1862-1875. 2. Hartnell A, et al. (2001) Blood. 97(1):288-296. 3. Liu Y, Xia Y, Qiu CH. (2021) Biomed Rep. 14(2):26.

||
New chat

Able

正在加载,请稍候...