验证数据展示
经过测试的应用
| Positive WB detected in | mouse colon tissue, human placenta tissue, rat colon tissue |
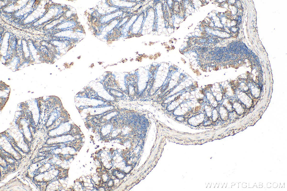
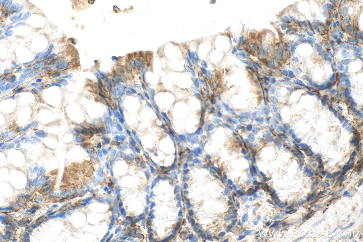
| Positive IHC detected in | mouse colon tissue Note: suggested antigen retrieval with TE buffer pH 9.0; (*) Alternatively, antigen retrieval may be performed with citrate buffer pH 6.0 |
推荐稀释比
| 应用 | 推荐稀释比 |
|---|---|
| Western Blot (WB) | WB : 1:500-1:1000 |
| Immunohistochemistry (IHC) | IHC : 1:50-1:500 |
| It is recommended that this reagent should be titrated in each testing system to obtain optimal results. | |
| Sample-dependent, Check data in validation data gallery. | |
产品信息
26655-1-AP targets Malectin in WB, IHC, IF, ELISA applications and shows reactivity with human, mouse, rat samples.
| 经测试应用 | WB, IHC, ELISA Application Description |
| 文献引用应用 | WB, IF |
| 经测试反应性 | human, mouse, rat |
| 文献引用反应性 | human, mouse, rat |
| 免疫原 |
CatNo: Ag24379 Product name: Recombinant human MLEC protein Source: e coli.-derived, PGEX-4T Tag: GST Domain: 106-269 aa of BC000371 Sequence: EETFGYEVPIKEEGDYVLVLKFAEVYFAQSQQKVFDVRLNGHVVVKDLDIFDRVGHSTAHDEIIPMSIRKGKLSVQGEVSTFTGKLYIEFVKGYYDNPKVCALYIMAGTVDDVPKLQPHPGLEKKEEEEEEEEYDEGSNLKKQTNKNRVQSGPRTPNPYASDNS 种属同源性预测 |
| 宿主/亚型 | Rabbit / IgG |
| 抗体类别 | Polyclonal |
| 产品类型 | Antibody |
| 全称 | malectin |
| 别名 | MLEC, KIAA0152 |
| 计算分子量 | 292 aa, 32 kDa |
| 观测分子量 | 32 kDa |
| GenBank蛋白编号 | BC000371 |
| 基因名称 | Malectin |
| Gene ID (NCBI) | 9761 |
| RRID | AB_2880591 |
| 偶联类型 | Unconjugated |
| 形式 | Liquid |
| 纯化方式 | Antigen affinity purification |
| UNIPROT ID | Q14165 |
| 储存缓冲液 | PBS with 0.02% sodium azide and 50% glycerol, pH 7.3. |
| 储存条件 | Store at -20°C. Stable for one year after shipment. Aliquoting is unnecessary for -20oC storage. |
背景介绍
Malectin is a conserved, endoplasmic reticulum (ER)-resident lectin that recognizes high mannose oligosaccharides displaying terminal glucose residues. Like other intracellular lectins involved in glycoprotein quality control, malectin is highly conserved in animals (PMID: 21298103).
实验方案
| Product Specific Protocols | |
|---|---|
| IHC protocol for Malectin antibody 26655-1-AP | Download protocol |
| WB protocol for Malectin antibody 26655-1-AP | Download protocol |
| Standard Protocols | |
|---|---|
| Click here to view our Standard Protocols |
发表文章
| Species | Application | Title |
|---|---|---|
J Cell Biol Competition for calnexin binding regulates secretion and turnover of misfolded GPI-anchored proteins | ||
Exp Cell Res Blood coagulation factor VIII D1241E polymorphism leads to a weak malectin interaction and reduction of factor VIII posttranslational modification and secretion.
| ||
Biochemistry Integrated Structural Analysis of N-Glycans and Free Oligosaccharides Allows for a Quantitative Evaluation of ER Stress. | ||
Nat Commun The mechanisms to dispose of misfolded proteins in the endoplasmic reticulum of adipocytes | ||
Int Immunopharmacol Identification of TAP1 as a T-cell related therapeutic target in gastric cancer by mediating oxalipliatin-related synergistic enhancement of immunotherapy |




