验证数据展示
经过测试的应用
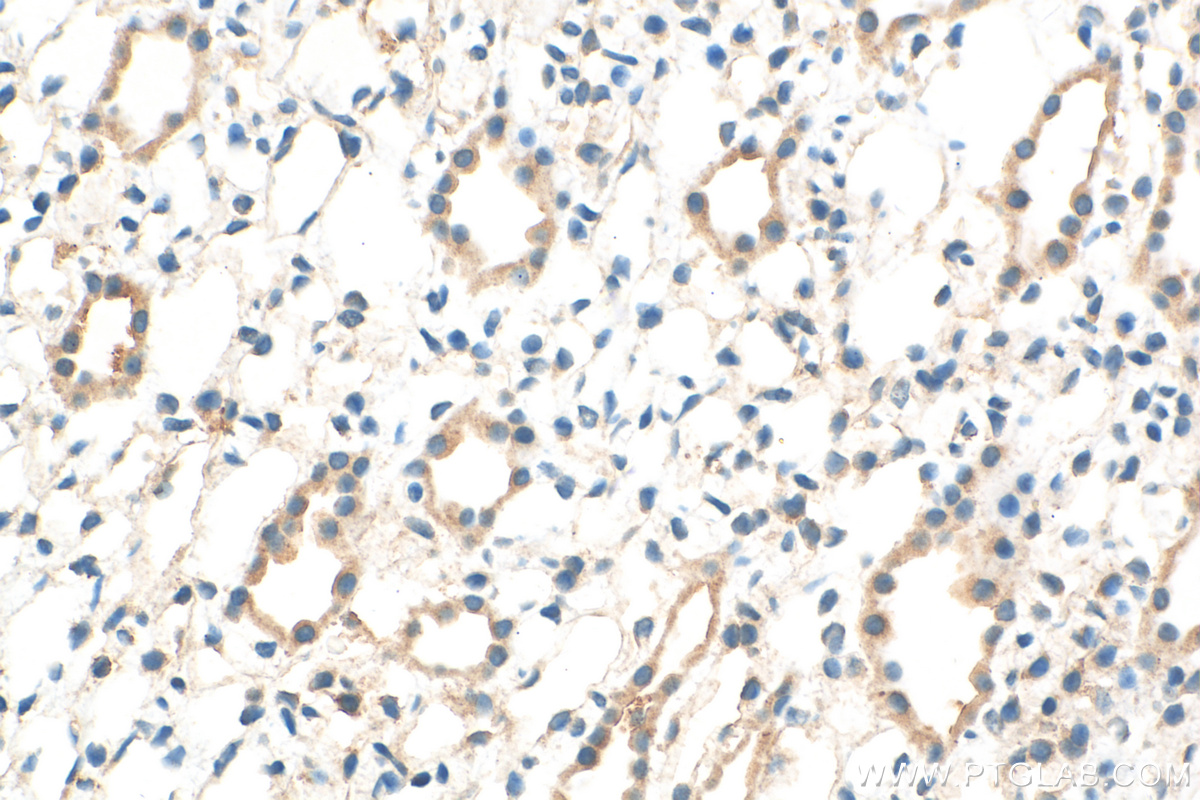
| Positive IHC detected in | mouse brain tissue, rat kidney tissue, mouse kidney tissue Note: suggested antigen retrieval with TE buffer pH 9.0; (*) Alternatively, antigen retrieval may be performed with citrate buffer pH 6.0 |
| Positive IF-P detected in | mouse kidney tissue |
推荐稀释比
| 应用 | 推荐稀释比 |
|---|---|
| Immunohistochemistry (IHC) | IHC : 1:50-1:500 |
| Immunofluorescence (IF)-P | IF-P : 1:50-1:500 |
| It is recommended that this reagent should be titrated in each testing system to obtain optimal results. | |
| Sample-dependent, Check data in validation data gallery. | |
产品信息
30142-1-AP targets LPHN1 in IHC, IF-P, ELISA applications and shows reactivity with human, mouse, rat samples.
| 经测试应用 | IHC, IF-P, ELISA Application Description |
| 经测试反应性 | human, mouse, rat |
| 免疫原 |
CatNo: Ag31093 Product name: Recombinant human LPHN1 protein Source: e coli.-derived, PGEX-4T Tag: GST Domain: 400-500 aa of NM_001008701 Sequence: DPSAGPATSPPLSTTTTARPTPLTSTASPAATTPLRRAPLTTHPVGAINQLGPDLPPATAPVPSTRRPPAPNLHVSPELFCEPREVRRVQWPATQQGMLVE 种属同源性预测 |
| 宿主/亚型 | Rabbit / IgG |
| 抗体类别 | Polyclonal |
| 产品类型 | Antibody |
| 全称 | latrophilin 1 |
| 别名 | CIRL-1, CIRL1, CIRL 1, Calcium-independent alpha-latrotoxin receptor 1, Adhesion G protein-coupled receptor L1 |
| 计算分子量 | 163 kDa |
| GenBank蛋白编号 | NM_001008701 |
| 基因名称 | LPHN1 |
| Gene ID (NCBI) | 22859 |
| RRID | AB_3742328 |
| 偶联类型 | Unconjugated |
| 形式 | Liquid |
| 纯化方式 | Antigen affinity purification |
| UNIPROT ID | O94910 |
| 储存缓冲液 | PBS with 0.02% sodium azide and 50% glycerol, pH 7.3. |
| 储存条件 | Store at -20°C. Stable for one year after shipment. Aliquoting is unnecessary for -20oC storage. |
背景介绍
Latrophilin-1 (LPHN1) was isolated as the main high-affinity receptor for α-latrotoxin from black widow spider venom, a powerful presynaptic secretagogue (PMID: 30967757). aGPCR latrophilin 1 (ADGRL1/LPHN1) is involved in controlling energy balance and food intake. Although this receptor is present in adipocytes and many neurons, where it is essential for axon growth cone formation and neuronal. It is present in Adipocytes and many neurons, where it is essential for Axon growth cone formation and neuronal function (PMID: 38664368).
实验方案
| Product Specific Protocols | |
|---|---|
| IF protocol for LPHN1 antibody 30142-1-AP | Download protocol |
| IHC protocol for LPHN1 antibody 30142-1-AP | Download protocol |
| Standard Protocols | |
|---|---|
| Click here to view our Standard Protocols |






