验证数据展示
经过测试的应用
| Positive WB detected in | mouse skin tissue, rat skin tissue |
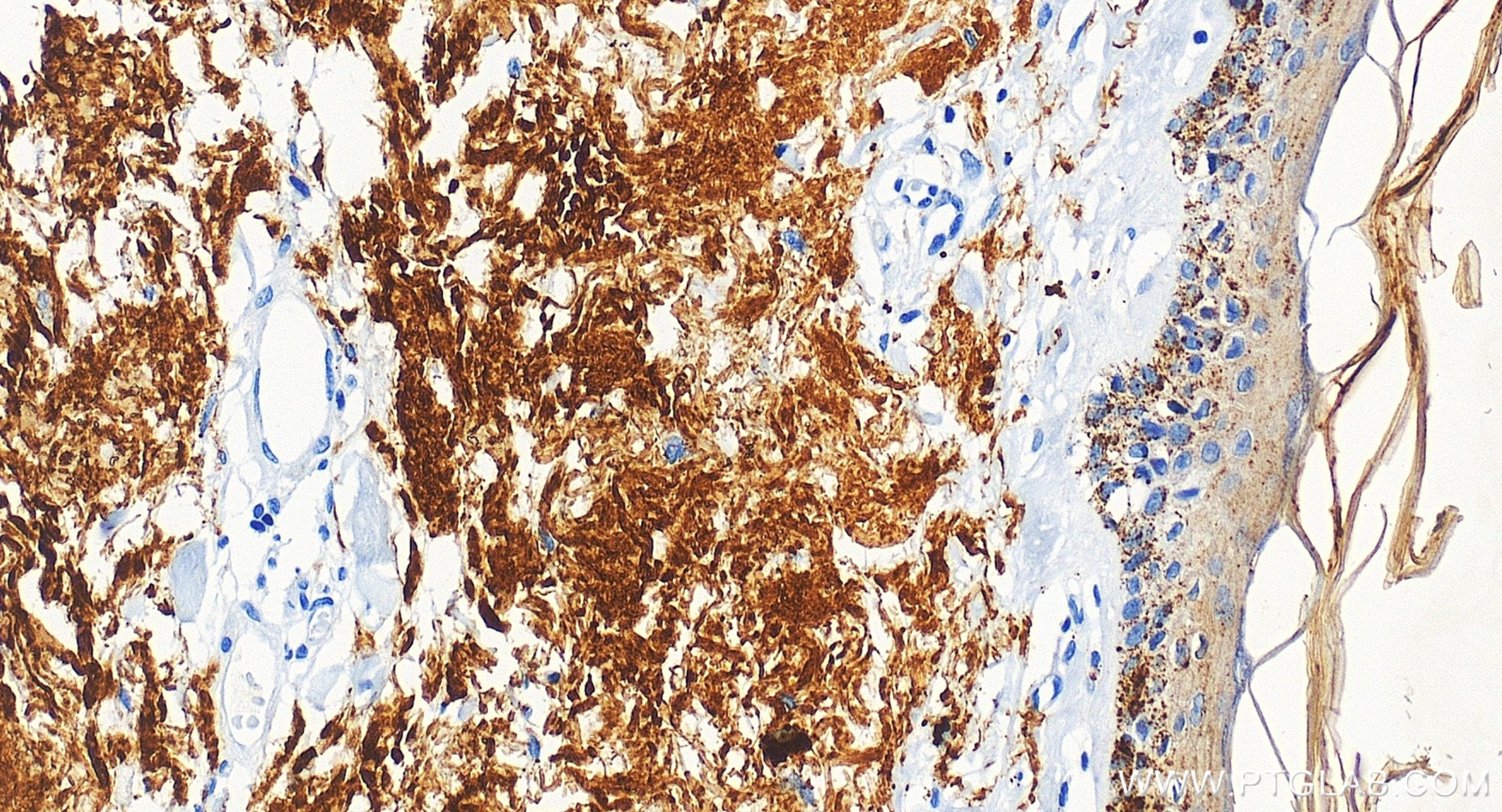
| Positive IHC detected in | human skin tissue Note: suggested antigen retrieval with TE buffer pH 9.0; (*) Alternatively, antigen retrieval may be performed with citrate buffer pH 6.0 |
推荐稀释比
| 应用 | 推荐稀释比 |
|---|---|
| Western Blot (WB) | WB : 1:1000-1:4000 |
| Immunohistochemistry (IHC) | IHC : 1:500-1:2000 |
| It is recommended that this reagent should be titrated in each testing system to obtain optimal results. | |
| Sample-dependent, Check data in validation data gallery. | |
产品信息
86328-1-RR targets Cytokeratin 78 in WB, IHC, ELISA applications and shows reactivity with human, mouse, rat samples.
| 经测试应用 | WB, IHC, ELISA Application Description |
| 经测试反应性 | human, mouse, rat |
| 免疫原 |
Peptide 种属同源性预测 |
| 宿主/亚型 | Rabbit / IgG |
| 抗体类别 | Recombinant |
| 产品类型 | Antibody |
| 全称 | keratin 78 |
| 别名 | CK-78, Cytokeratin-78, K5B, K78, KB40 |
| 计算分子量 | 56kDa |
| 观测分子量 | 57 kDa |
| GenBank蛋白编号 | NM_001300814 |
| 基因名称 | Cytokeratin 78 |
| Gene ID (NCBI) | 196374 |
| RRID | AB_3744812 |
| 偶联类型 | Unconjugated |
| 形式 | Liquid |
| 纯化方式 | Protein A purification |
| UNIPROT ID | Q8N1N4 |
| 储存缓冲液 | PBS with 0.02% sodium azide and 50% glycerol, pH 7.3. |
| 储存条件 | Store at -20°C. Stable for one year after shipment. Aliquoting is unnecessary for -20oC storage. |
背景介绍
The gene of KRT78 is a member of the type II keratin family and encodes a protein with an intermediate filament domain. Keratins are the major structural proteins in epithelial cells, forming a cytoplasmic network of 10 to 12 nm wide intermediate filaments and creating a scaffold that gives cells the ability to withstand mechanical and non-mechanical stresses.
实验方案
| Product Specific Protocols | |
|---|---|
| IHC protocol for Cytokeratin 78 antibody 86328-1-RR | Download protocol |
| WB protocol for Cytokeratin 78 antibody 86328-1-RR | Download protocol |
| Standard Protocols | |
|---|---|
| Click here to view our Standard Protocols |


