IHCeasy® RPS6KB1 Ready-To-Use IHC Kit
RPS6KB1 Ready-to-use reagent kit for IHC.
Reactivity
Human, Mouse, Rat
Sample Type
FFPE tissue
Cat no : KHC2211
Synonyms
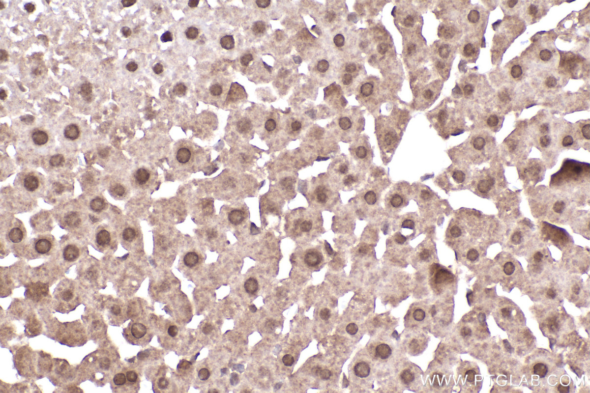
Validation Data Gallery
Product Information
KHC2211 is a ready-to-use IHC kit for staining of RPS6KB1. The kit provides all reagents, from antigen retrieval to cover slip mounting, that require little to no diluting or handling prior to use. Simply apply the reagents to your sample slide according to the protocol and you're steps away from obtaining high-quality IHC data.
| Product name | IHCeasy RPS6KB1 Ready-To-Use IHC Kit |
| Sample type | FFPE tissue |
| Assay type | Immunohistochemistry |
| Primary antibody type | Rabbit Polyclonal |
| Secondary antibody type | Polymer-HRP-Goat anti-Rabbit |
| Reactivity | Human, Mouse, Rat |
Kit components
| Component | Size | Concentration |
|---|---|---|
| Antigen Retrieval Buffer | 100 mL | 50× |
| Washing Buffer | 100 mL ×2 | 20× |
| Blocking Buffer | 5 mL | RTU |
| Primary Antibody | 5 mL | RTU |
| Secondary Antibody | 5 mL | RTU |
| Chromogen Component A | 0.2 mL | RTU |
| Chromogen Component B | 4 mL | RTU |
| Signal Enhancer | 5 mL | RTU |
| Counter Staining Reagent | 5 mL | RTU |
| Mounting Media | 5 mL | RTU |
| Datasheet | 1 Copy | |
| Manual | 1 Copy |
Background Information
RPS6KB1(Ribosomal protein S6 kinase beta-1) is also named as STK14A, p70 S6KA, and belongs to the S6 kinase subfamily. RPS6KB1 is a major substrate of mTOR and acts as a crucial effector of mTOR signaling pathway. It plays a key role in cell growth and proliferation by regulating INS sensitivity, metabolism, protein synthesis, and cell cycle. RPS6KB1 may play an important role in the progression of HCC and could serve as a potential molecular target for HCC therapy. The Rps6kb1 gene encodes the 70 kDa ribosomal protein S6 kinase (p70S6K). The PI3K/mTOR signalling pathway is one of the major mechanisms for controlling cell survival, proliferation, and metabolism and is the central regulator of translation of some components of the protein synthesis system.
Properties
| Storage Instructions | All the reagents are stored at 2-8°C. The kit is stable for 6 months from the date of receipt. |
| Synonyms |





