IHCeasy® ZMYND8 Ready-To-Use IHC Kit
ZMYND8 Ready-to-use reagent kit for IHC.
Reactivity
Human, Mouse, Rat
Sample Type
FFPE tissue
Cat no : KHC1998
Synonyms
CTCL associated antigen se14 3, KIAA1125, PRKCBP1, PRO2893, RACK7, ZMYND8
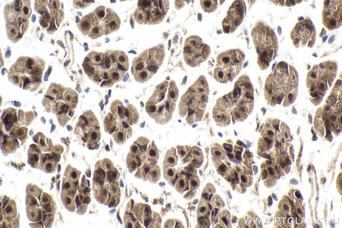
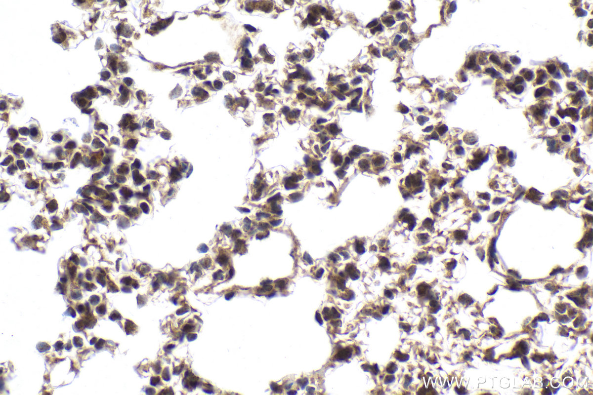
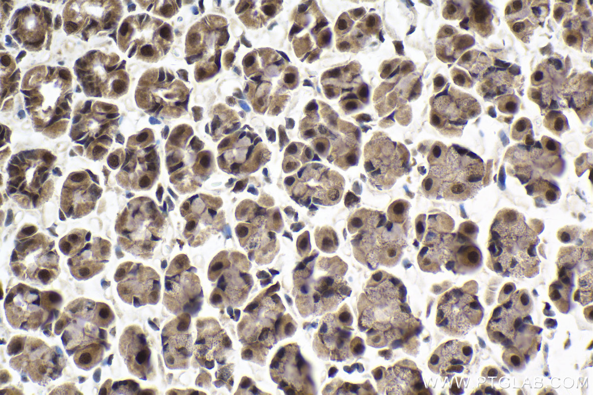
Validation Data Gallery
Product Information
KHC1998 is a ready-to-use IHC kit for staining of ZMYND8. The kit provides all reagents, from antigen retrieval to cover slip mounting, that require little to no diluting or handling prior to use. Simply apply the reagents to your sample slide according to the protocol and you're steps away from obtaining high-quality IHC data.
| Product name | IHCeasy ZMYND8 Ready-To-Use IHC Kit |
| Sample type | FFPE tissue |
| Assay type | Immunohistochemistry |
| Primary antibody type | Rabbit Polyclonal |
| Secondary antibody type | Polymer-HRP-Goat anti-Rabbit |
| Reactivity | Human, Mouse, Rat |
Kit components
| Component | Size | Concentration |
|---|---|---|
| Antigen Retrieval Buffer | 100 mL | 50× |
| Washing Buffer | 100 mL ×2 | 20× |
| Blocking Buffer | 5 mL | RTU |
| Primary Antibody | 5 mL | RTU |
| Secondary Antibody | 5 mL | RTU |
| Chromogen Component A | 0.2 mL | RTU |
| Chromogen Component B | 4 mL | RTU |
| Signal Enhancer | 5 mL | RTU |
| Counter Staining Reagent | 5 mL | RTU |
| Mounting Media | 5 mL | RTU |
| Datasheet | 1 Copy | |
| Manual | 1 Copy |
Background Information
Regulation of neuronal gene expression is essential to nervous system development. REST (RE1-silencing transcription factor) regulates neuronal gene expression by interacting with a group of corepressor proteins including REST corepressors (RCOR). ZMYND8 bind to ROCR2 and can function as transcriptional repressors. It is co-expressed with RCOR2 in the nervous system and overexpression of ZMYND8 inhibits neural differentiation.
Properties
| Storage Instructions | All the reagents are stored at 2-8°C. The kit is stable for 6 months from the date of receipt. |
| Synonyms | CTCL associated antigen se14 3, KIAA1125, PRKCBP1, PRO2893, RACK7, ZMYND8 |





