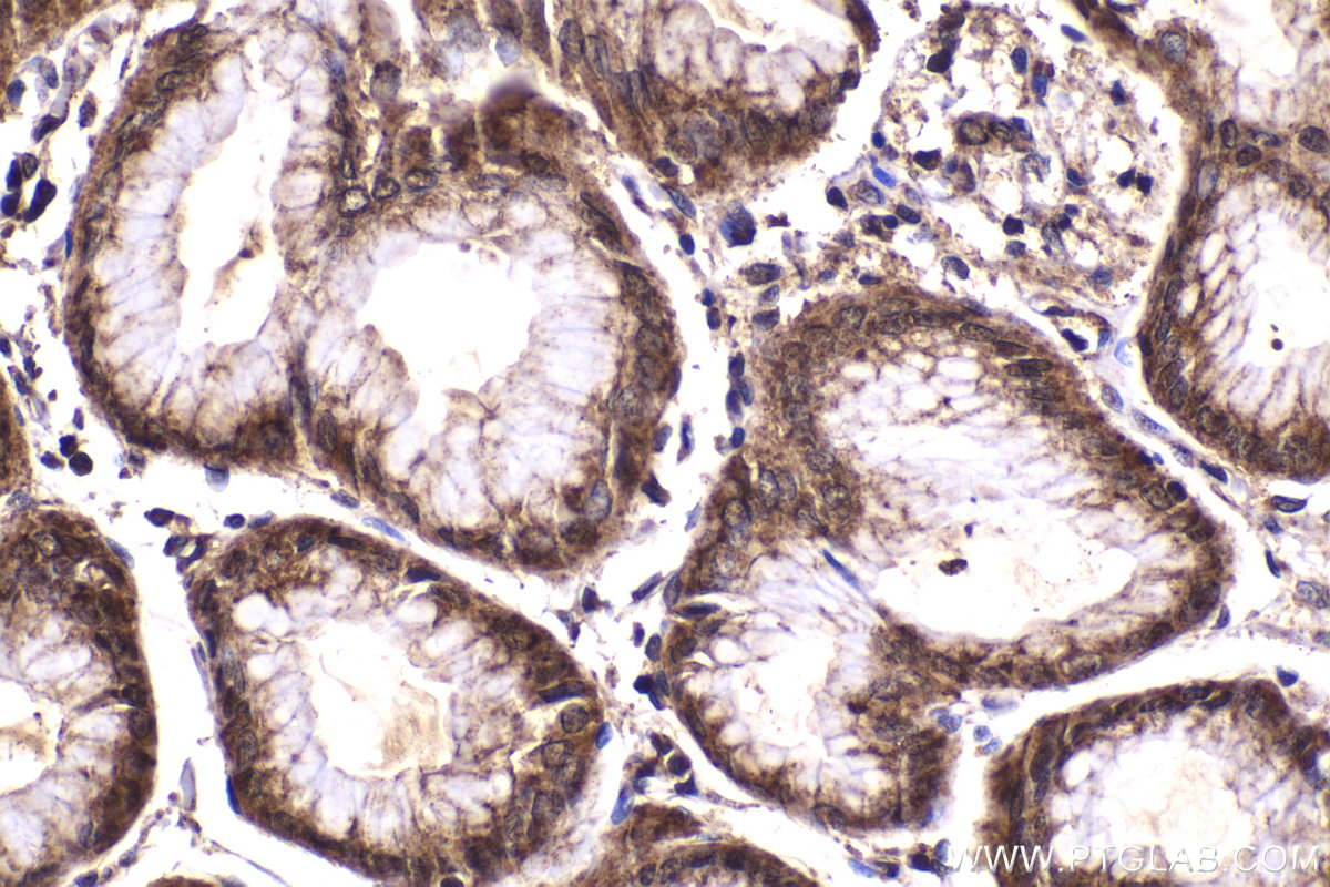
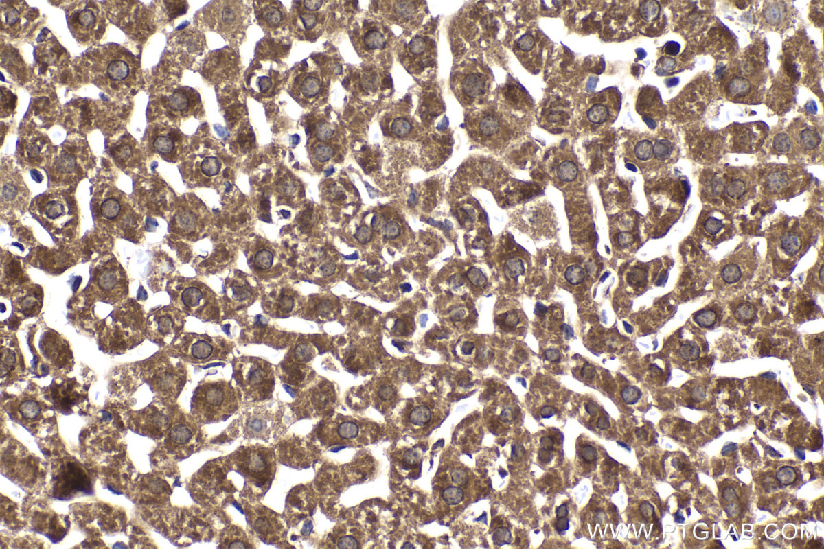
IHCeasy® ZC3H12D Ready-To-Use IHC Kit
ZC3H12D Ready-to-use reagent kit for IHC.
Reactivity
Human, Mouse, Rat
Sample Type
FFPE tissue
Cat no : KHC2038
Synonyms
MCPIP4, MCP-induced protein 4, MCP induced protein 4, FLJ46041, EC:3.1.-.-
Validation Data Gallery
Product Information
KHC2038 is a ready-to-use IHC kit for staining of ZC3H12D. The kit provides all reagents, from antigen retrieval to cover slip mounting, that require little to no diluting or handling prior to use. Simply apply the reagents to your sample slide according to the protocol and you're steps away from obtaining high-quality IHC data.
| Product name | IHCeasy ZC3H12D Ready-To-Use IHC Kit |
| Sample type | FFPE tissue |
| Assay type | Immunohistochemistry |
| Primary antibody type | Rabbit Polyclonal |
| Secondary antibody type | Polymer-HRP-Goat anti-Rabbit |
| Reactivity | Human, Mouse, Rat |
Kit components
| Component | Size | Concentration |
|---|---|---|
| Antigen Retrieval Buffer | 100 mL | 50× |
| Washing Buffer | 100 mL ×2 | 20× |
| Blocking Buffer | 5 mL | RTU |
| Primary Antibody | 5 mL | RTU |
| Secondary Antibody | 5 mL | RTU |
| Chromogen Component A | 0.2 mL | RTU |
| Chromogen Component B | 4 mL | RTU |
| Signal Enhancer | 5 mL | RTU |
| Counter Staining Reagent | 5 mL | RTU |
| Mounting Media | 5 mL | RTU |
| Datasheet | 1 Copy | |
| Manual | 1 Copy |
Background Information
ZC3H12D, also named as MCP induced protein 4, is a 527 amino acid protein, which contains one C3H1-type zinc finger and belongs to the ZC3H12 family. ZC3H12D exists as three isoforms and localizes in the cytoplasm. ZC3H12D may regulate cell growth likely by suppressing RB1 phosphorylation and serves as a tumor suppressor in certain leukemia cells. ZC3H12D is expressed in normal human lymphocytes but defective in some leukemia/lymphoma cell lines.
Properties
| Storage Instructions | All the reagents are stored at 2-8°C. The kit is stable for 6 months from the date of receipt. |
| Synonyms | MCPIP4, MCP-induced protein 4, MCP induced protein 4, FLJ46041, EC:3.1.-.- |








