IHCeasy® YWHAB Ready-To-Use IHC Kit
YWHAB Ready-to-use reagent kit for IHC.
Reactivity
Human, Mouse, Rat
Sample Type
FFPE tissue
Cat no : KHC0701
Synonyms
14 3 3, 14 3 3 alpha, 14 3 3 protein beta, 14 3 3 protein beta alpha, 14 3 3 protein beta/alpha, GW128, HS1, KCIP 1, Protein 1054, YWHAB
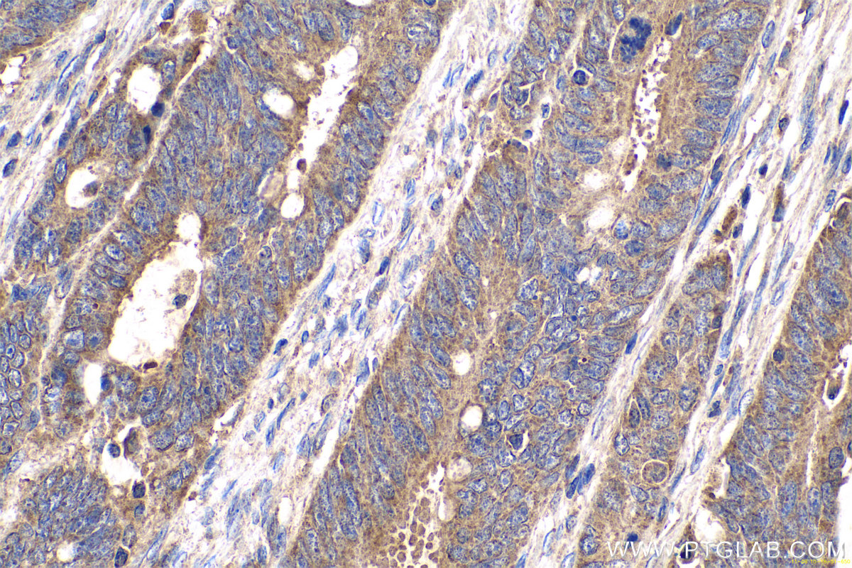
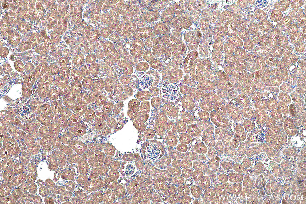
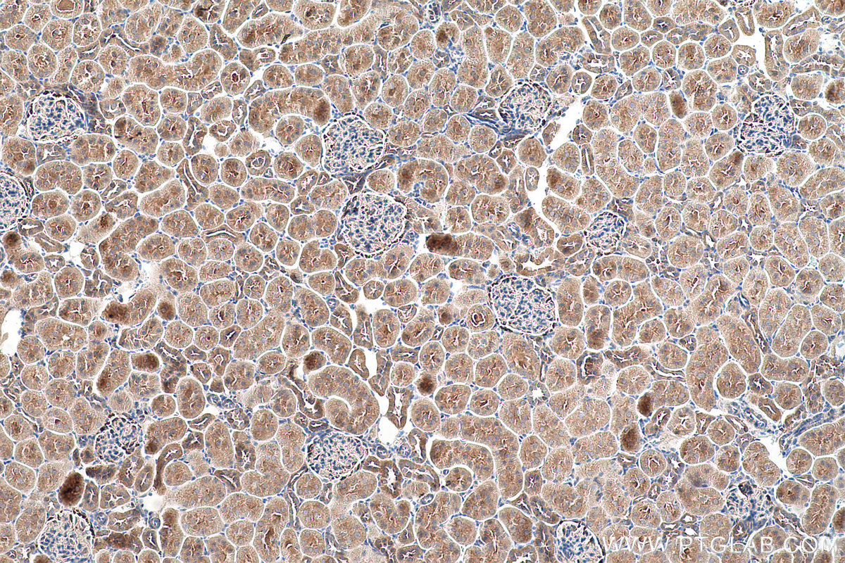
Validation Data Gallery
Product Information
KHC0701 is a ready-to-use IHC kit for staining of YWHAB. The kit provides all reagents, from antigen retrieval to cover slip mounting, that require little to no diluting or handling prior to use. Simply apply the reagents to your sample slide according to the protocol and you're steps away from obtaining high-quality IHC data.
| Product name | IHCeasy YWHAB Ready-To-Use IHC Kit |
| Sample type | FFPE tissue |
| Assay type | Immunohistochemistry |
| Primary antibody type | Rabbit Polyclonal |
| Secondary antibody type | Polymer-HRP-Goat anti-Rabbit |
| Reactivity | Human, Mouse, Rat |
Kit components
| Component | Size | Concentration |
|---|---|---|
| Antigen Retrieval Buffer | 100 mL | 50× |
| Washing Buffer | 100 mL ×2 | 20× |
| Blocking Buffer | 5 mL | RTU |
| Primary Antibody | 5 mL | RTU |
| Secondary Antibody | 5 mL | RTU |
| Chromogen Component A | 0.2 mL | RTU |
| Chromogen Component B | 4 mL | RTU |
| Signal Enhancer | 5 mL | RTU |
| Counter Staining Reagent | 5 mL | RTU |
| Mounting Media | 5 mL | RTU |
| Datasheet | 1 Copy | |
| Manual | 1 Copy |
Background Information
YWHAB (also known as 14-3-3 beta) is a member of 14-3-3 proteins which were the first phosphoserine/phosphothreonine-binding proteins to be discovered. 14-3-3 family members interact with a wide spectrum of proteins and possess diverse functions. Mammals express seven distinct 14-3-3 isoforms (gamma, epsilon, beta, zeta, sigma, theta, tau) that form multiple homo- and hetero- dimmers. 14-3-3 proteins display the highest expression levels in the brain, and have been implicated in several neurodegenerative diseases, including Alzheimer's disease and amyotrophic lateral sclerosis.
Properties
| Storage Instructions | All the reagents are stored at 2-8°C. The kit is stable for 6 months from the date of receipt. |
| Synonyms | 14 3 3, 14 3 3 alpha, 14 3 3 protein beta, 14 3 3 protein beta alpha, 14 3 3 protein beta/alpha, GW128, HS1, KCIP 1, Protein 1054, YWHAB |








