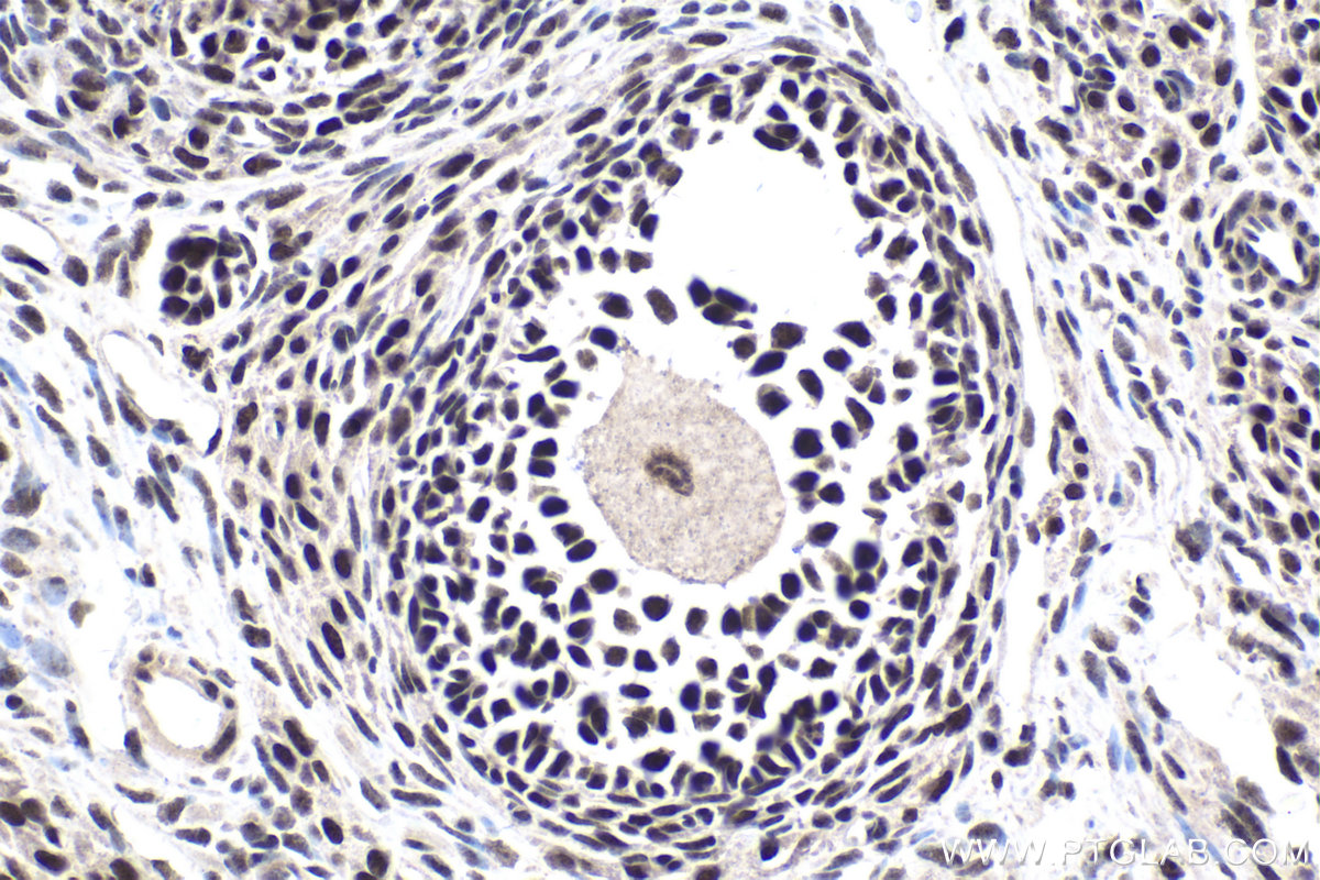
IHCeasy® VPS72 Ready-To-Use IHC Kit
VPS72 Ready-to-use reagent kit for IHC.
Reactivity
Human, Mouse, Rat
Sample Type
FFPE tissue
Cat no : KHC1756
Synonyms
CFL1, Protein YL 1, Swc2, TCFL1, Transcription factor like 1, VPS72, YL 1, YL1
Validation Data Gallery
Product Information
KHC1756 is a ready-to-use IHC kit for staining of VPS72. The kit provides all reagents, from antigen retrieval to cover slip mounting, that require little to no diluting or handling prior to use. Simply apply the reagents to your sample slide according to the protocol and you're steps away from obtaining high-quality IHC data.
| Product name | IHCeasy VPS72 Ready-To-Use IHC Kit |
| Sample type | FFPE tissue |
| Assay type | Immunohistochemistry |
| Primary antibody type | Rabbit Polyclonal |
| Secondary antibody type | Polymer-HRP-Goat anti-Rabbit |
| Reactivity | Human, Mouse, Rat |
Kit components
| Component | Size | Concentration |
|---|---|---|
| Antigen Retrieval Buffer | 100 mL | 50× |
| Washing Buffer | 100 mL ×2 | 20× |
| Blocking Buffer | 5 mL | RTU |
| Primary Antibody | 5 mL | RTU |
| Secondary Antibody | 5 mL | RTU |
| Chromogen Component A | 0.2 mL | RTU |
| Chromogen Component B | 4 mL | RTU |
| Signal Enhancer | 5 mL | RTU |
| Counter Staining Reagent | 5 mL | RTU |
| Mounting Media | 5 mL | RTU |
| Datasheet | 1 Copy | |
| Manual | 1 Copy |
Background Information
The mammalian TRRAP/TIP60-containing histone acetyltransferase (HAT) complex, which exists in Drosophila melanogaster and mammalian cells, is a complex that is responsible for various cellular processes, including DNA repair, transcriptional activation and apoptosis. Vacuolar protein sorting-associated protein 72 homolog (VPS72), also known as VPS72 or Transcription factor-like 1, is a 364 amino acid subunit of the TRRAP/TIP60 HAT complex. VPS72 has also been identified as a subunit of a novel complex containing SNF2-related helicase SRCAP (SWI2/SNF2-related CBP activator protein). This SRCAP-containing complex is very similar to the S. cerevisiae SWR1 chromatin remodeling complex. The involvement of VPS72 in these complexes has suggested that VPS72 plays multiple roles in chromatin modification and remodeling in cells. VPS72 localizes to the nucleus and is phosphorylated upon DNA damage, most likely by ATM or ATR.
Properties
| Storage Instructions | All the reagents are stored at 2-8°C. The kit is stable for 6 months from the date of receipt. |
| Synonyms | CFL1, Protein YL 1, Swc2, TCFL1, Transcription factor like 1, VPS72, YL 1, YL1 |





