IHCeasy® USP16 Ready-To-Use IHC Kit
USP16 Ready-to-use reagent kit for IHC.
Reactivity
Human, Mouse, Rat
Sample Type
FFPE tissue
Cat no : KHC3083
Synonyms
EC:3.4.19.12, MSTP039, Ubiquitin carboxyl-terminal hydrolase 16, Ubiquitin thioesterase 16, Ubiquitin-processing protease UBP-M
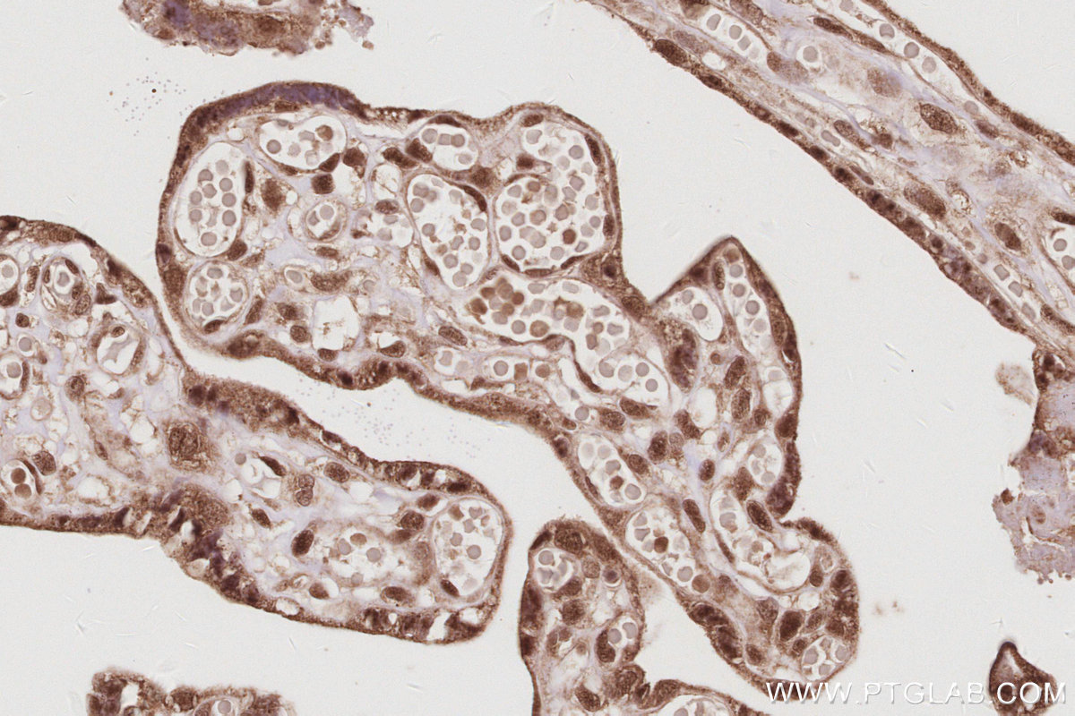
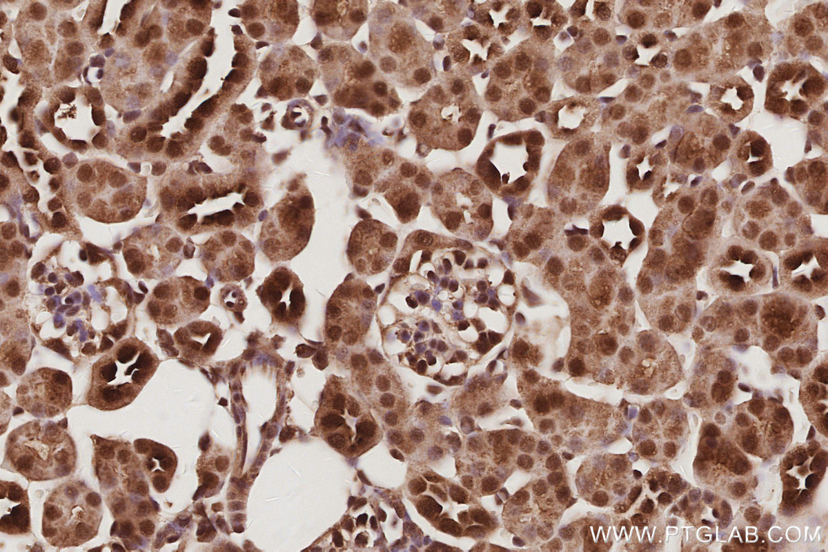
Validation Data Gallery
Product Information
KHC3083 is a ready-to-use IHC kit for staining of USP16. The kit provides all reagents, from antigen retrieval to cover slip mounting, that require little to no diluting or handling prior to use. Simply apply the reagents to your sample slide according to the protocol and you're steps away from obtaining high-quality IHC data.
| Product name | IHCeasy® USP16 Ready-To-Use IHC Kit |
| Sample type | FFPE tissue |
| Assay type | Immunohistochemistry |
| Primary antibody type | Rabbit Polyclonal |
| Secondary antibody type | Polymer-HRP-Goat anti-Rabbit |
| Reactivity | Human, Mouse, Rat |
Kit components
| Component | Size | Concentration |
|---|---|---|
| Antigen Retrieval Buffer | 100 mL | 50× |
| Washing Buffer | 100 mL ×2 | 20× |
| Blocking Buffer | 5 mL | RTU |
| Primary Antibody | 5 mL | RTU |
| Secondary Antibody | 5 mL | RTU |
| Chromogen Component A | 0.2 mL | RTU |
| Chromogen Component B | 4 mL | RTU |
| Signal Enhancer | 5 mL | RTU |
| Counter Staining Reagent | 5 mL | RTU |
| Mounting Media | 5 mL | RTU |
| Datasheet | 1 Copy | |
| Manual | 1 Copy |
Background Information
USP16 (Ubiquitin specific peptidase 16) was originally identified as a DUB of histone H2A which is implicated in cell cycle progression and HOXD10 gene expression. The knockout study has reported that depletion of USP16 results in early embryonic lethality in mice. Moreover, USP16 mediated the deubiquitination and stabilization of Drp1 through its direct interaction with Drp1.
Properties
| Storage Instructions | All the reagents are stored at 2-8°C. The kit is stable for 6 months from the date of receipt. |
| Synonyms | EC:3.4.19.12, MSTP039, Ubiquitin carboxyl-terminal hydrolase 16, Ubiquitin thioesterase 16, Ubiquitin-processing protease UBP-M |



