IHCeasy® USH1C Ready-To-Use IHC Kit
USH1C Ready-to-use reagent kit for IHC.
Reactivity
Human, Mouse, Rat
Sample Type
FFPE tissue
Cat no : KHC3095
Synonyms
Harmonin, AIE75, AIE-75, Antigen NY-CO-38/NY-CO-37, Autoimmune enteropathy-related antigen AIE-75
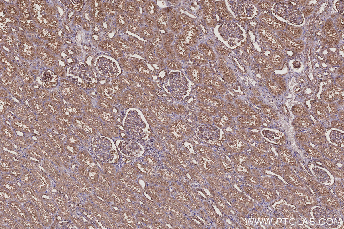
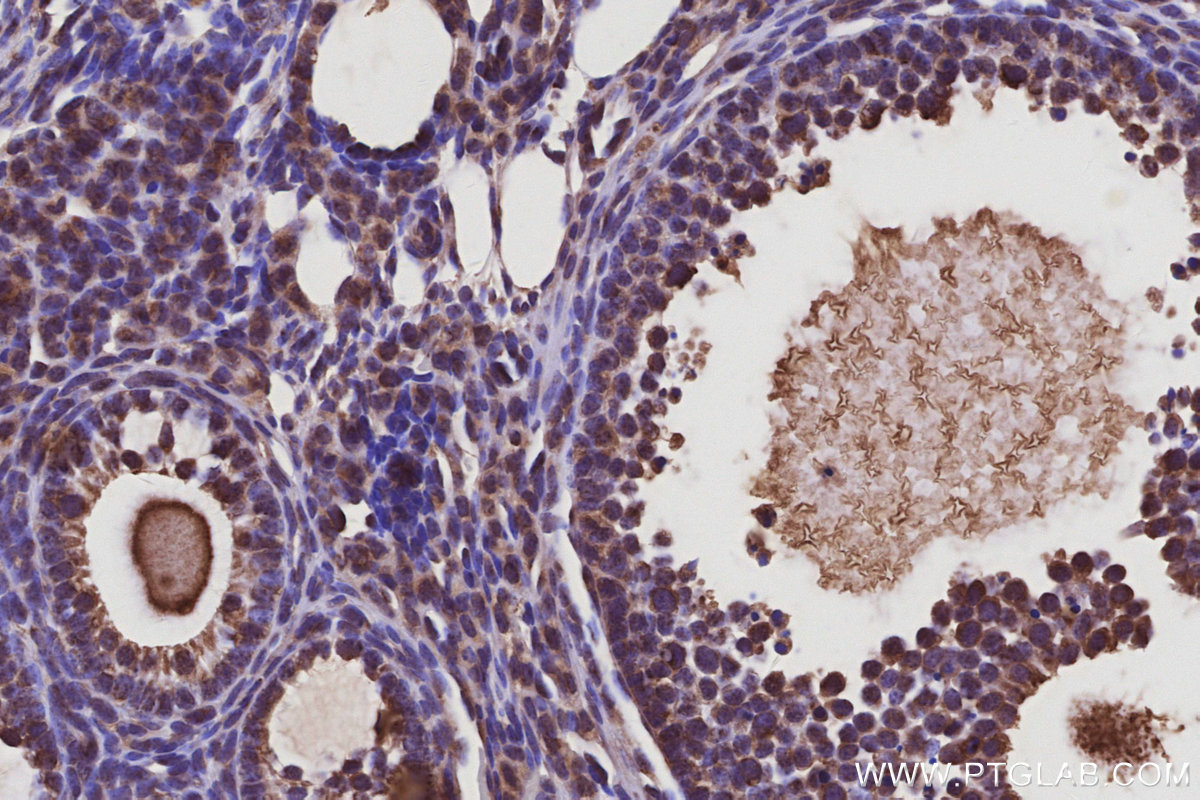
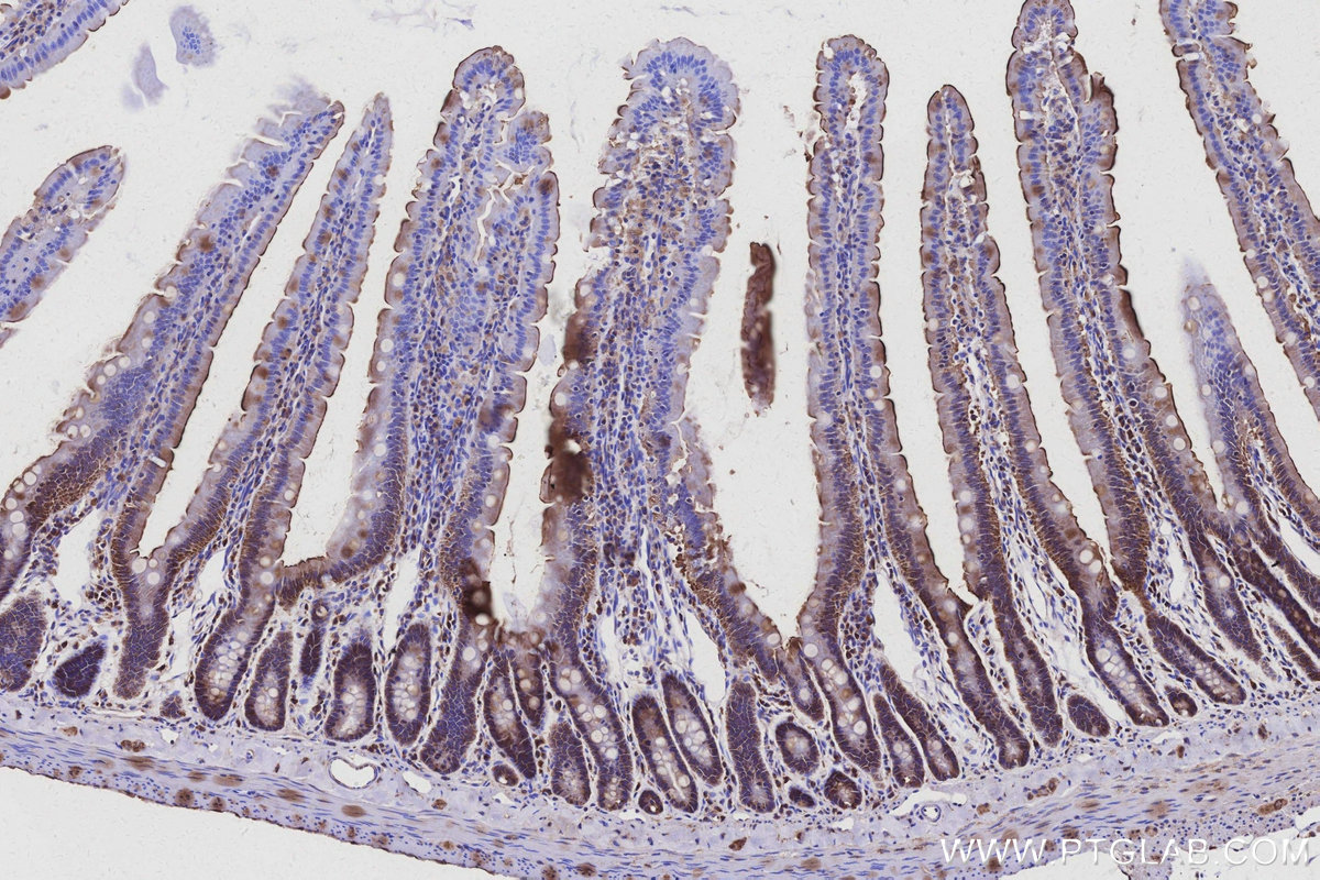
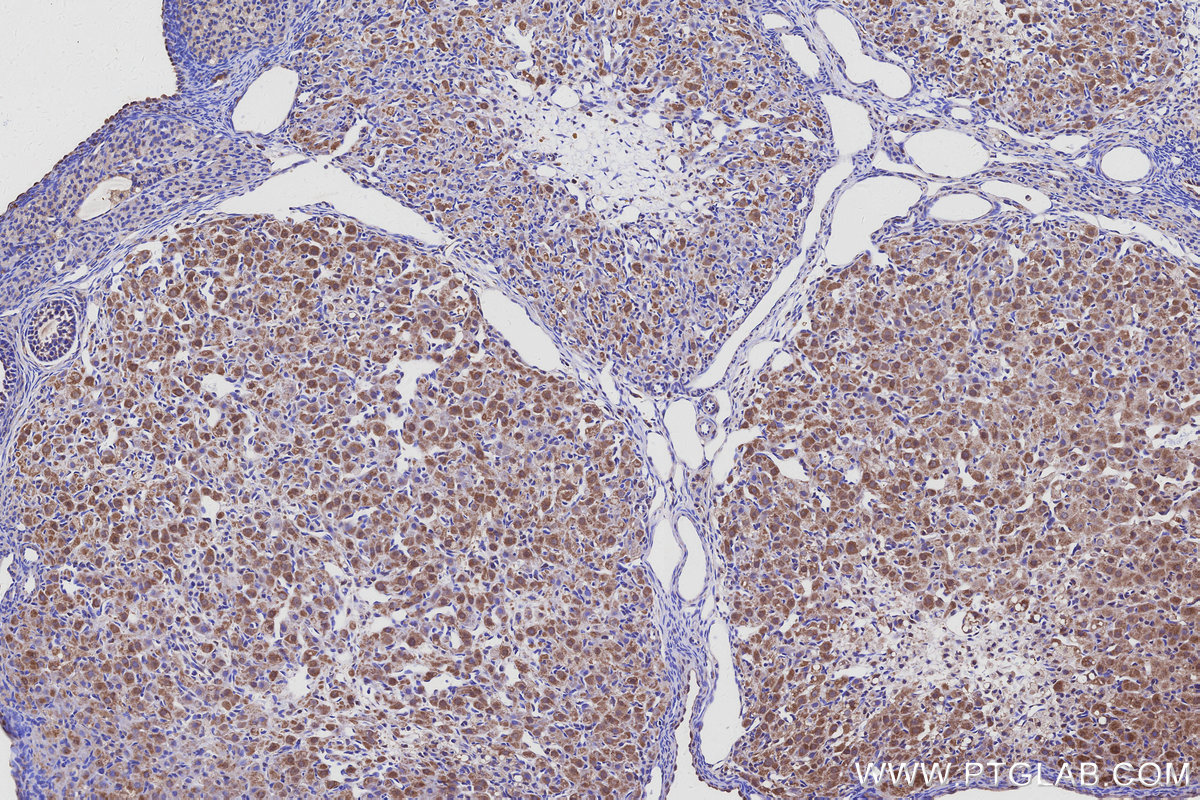
Validation Data Gallery
Product Information
KHC3095 is a ready-to-use IHC kit for staining of USH1C. The kit provides all reagents, from antigen retrieval to cover slip mounting, that require little to no diluting or handling prior to use. Simply apply the reagents to your sample slide according to the protocol and you're steps away from obtaining high-quality IHC data.
| Product name | IHCeasy® USH1C Ready-To-Use IHC Kit |
| Sample type | FFPE tissue |
| Assay type | Immunohistochemistry |
| Primary antibody type | Rabbit Polyclonal |
| Secondary antibody type | Polymer-HRP-Goat anti-Rabbit |
| Reactivity | Human, Mouse, Rat |
Kit components
| Component | Size | Concentration |
|---|---|---|
| Antigen Retrieval Buffer | 100 mL | 50× |
| Washing Buffer | 100 mL ×2 | 20× |
| Blocking Buffer | 5 mL | RTU |
| Primary Antibody | 5 mL | RTU |
| Secondary Antibody | 5 mL | RTU |
| Chromogen Component A | 0.2 mL | RTU |
| Chromogen Component B | 4 mL | RTU |
| Signal Enhancer | 5 mL | RTU |
| Counter Staining Reagent | 5 mL | RTU |
| Mounting Media | 5 mL | RTU |
| Datasheet | 1 Copy | |
| Manual | 1 Copy |
Background Information
Harmonin, also known as USH1C, is a scaffold protein which interacts with other USH1 proteins (USH1B/myosin VIIa and USH1G/sans) to form complex and is implicated in proper development, morphogenesis, and structural integrity of the hair cell mechanoreceptor. Mutations of Harmonin cause Usher syndrome type 1 (congenital deafness and balance disorder, and early-onset sight loss).
Properties
| Storage Instructions | All the reagents are stored at 2-8°C. The kit is stable for 6 months from the date of receipt. |
| Synonyms | Harmonin, AIE75, AIE-75, Antigen NY-CO-38/NY-CO-37, Autoimmune enteropathy-related antigen AIE-75 |




