IHCeasy® TXNRD3 Ready-To-Use IHC Kit
TXNRD3 Ready-to-use reagent kit for IHC.
Reactivity
Human
Sample Type
FFPE tissue
Cat no : KHC3283
Synonyms
TGR, thioredoxin reductase 3, Thioredoxin reductase TR2, TR2, TRXR3
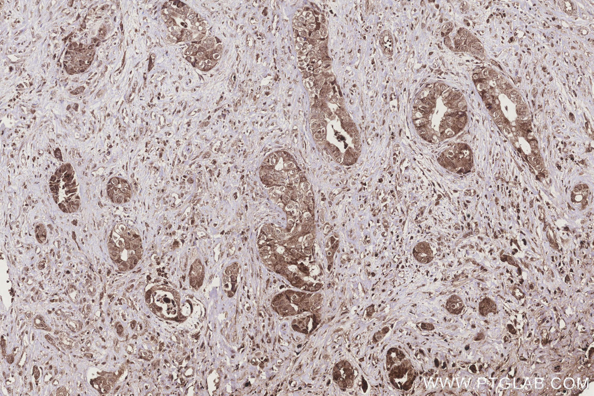
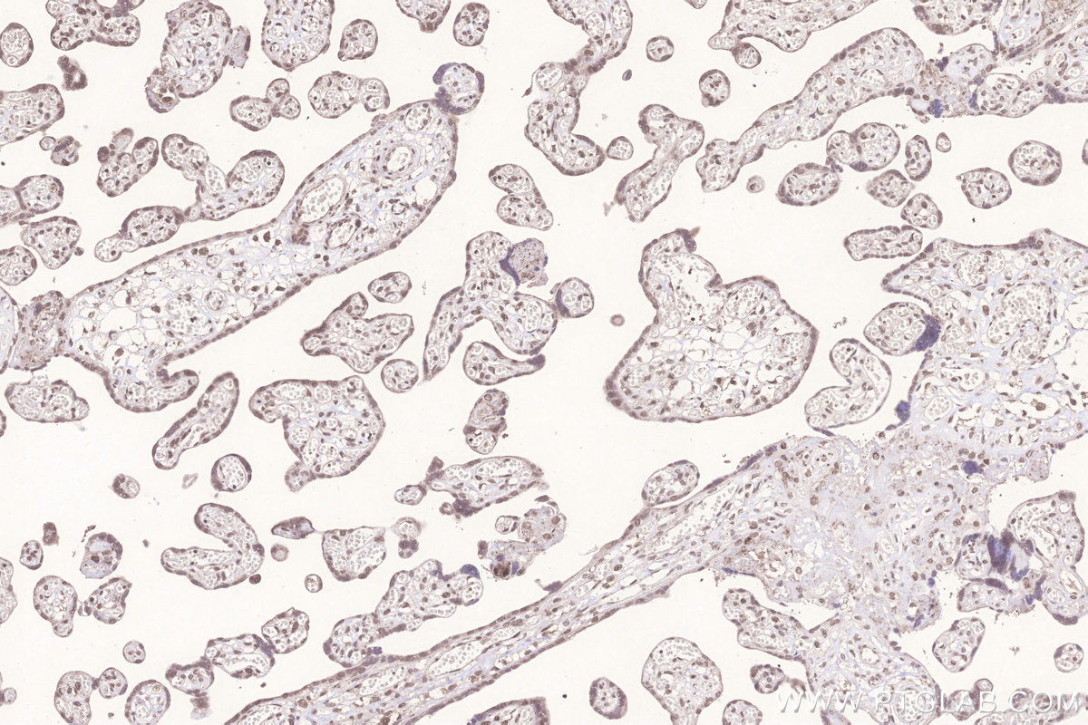
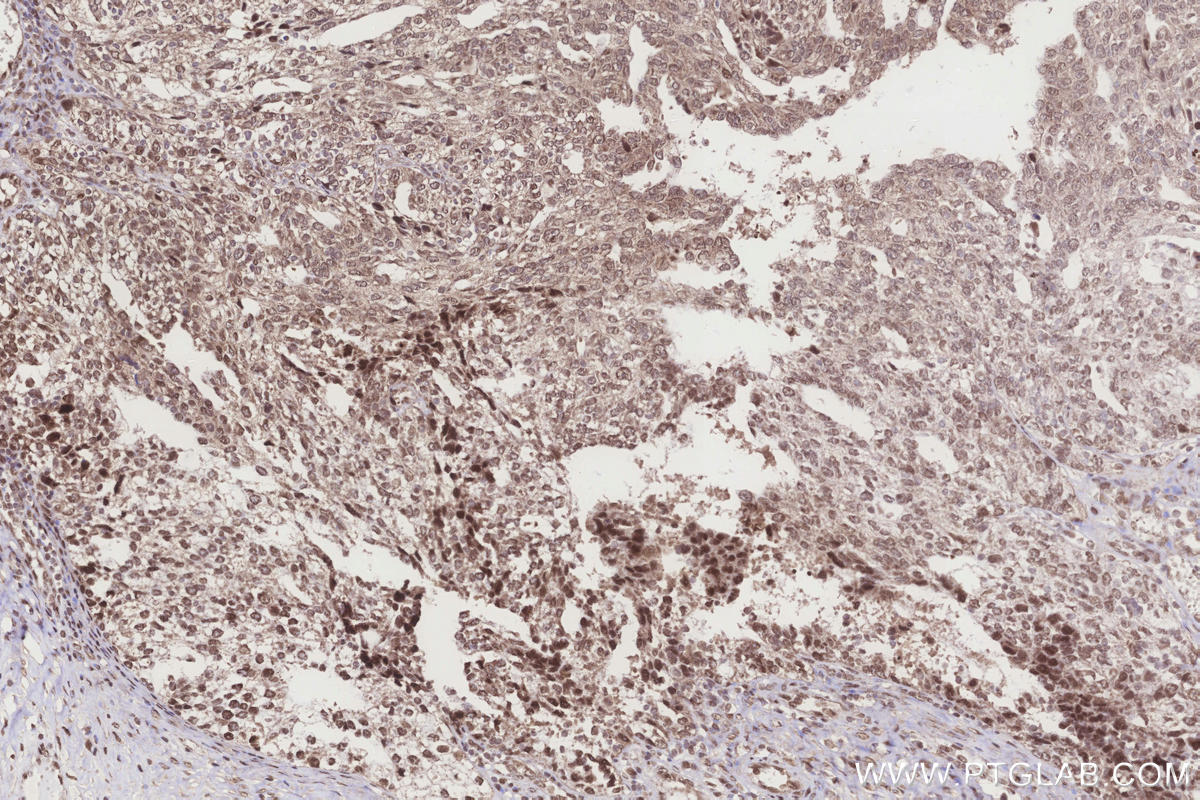
Validation Data Gallery
Product Information
KHC3283 is a ready-to-use IHC kit for staining of TXNRD3. The kit provides all reagents, from antigen retrieval to cover slip mounting, that require little to no diluting or handling prior to use. Simply apply the reagents to your sample slide according to the protocol and you're steps away from obtaining high-quality IHC data.
| Product name | IHCeasy® TXNRD3 Ready-To-Use IHC Kit |
| Sample type | FFPE tissue |
| Assay type | Immunohistochemistry |
| Primary antibody type | Rabbit Polyclonal |
| Secondary antibody type | Polymer-HRP-Goat anti-Rabbit |
| Reactivity | Human |
Kit components
| Component | Size | Concentration |
|---|---|---|
| Antigen Retrieval Buffer | 100 mL | 50× |
| Washing Buffer | 100 mL ×2 | 20× |
| Blocking Buffer | 5 mL | RTU |
| Primary Antibody | 5 mL | RTU |
| Secondary Antibody | 5 mL | RTU |
| Chromogen Component A | 0.2 mL | RTU |
| Chromogen Component B | 4 mL | RTU |
| Signal Enhancer | 5 mL | RTU |
| Counter Staining Reagent | 5 mL | RTU |
| Mounting Media | 5 mL | RTU |
| Datasheet | 1 Copy | |
| Manual | 1 Copy |
Background Information
TXNRD3, also named as TGR and TRXR3, belongs to the class-I pyridine nucleotide-disulfide oxidoreductase family. TXNRD3 displays thioredoxin reductase, glutaredoxin and glutathione reductase activities. TXNRD3 catalyzes the reaction: Thioredoxin + NADP+ = thioredoxin disulfide + NADPH. TXNRD3 promotes disulfide bond formation between GPX4 and various sperm proteins and may play a role in sperm maturation by promoting formation of sperm structural components.
Properties
| Storage Instructions | All the reagents are stored at 2-8°C. The kit is stable for 6 months from the date of receipt. |
| Synonyms | TGR, thioredoxin reductase 3, Thioredoxin reductase TR2, TR2, TRXR3 |



