IHCeasy® TUBD1 Ready-To-Use IHC Kit
TUBD1 Ready-to-use reagent kit for IHC.
Reactivity
Human, Mouse, Rat
Sample Type
FFPE tissue
Cat no : KHC3018
Synonyms
Delta tubulin, Delta-tubulin, TUBD, Tubulin delta chain, tubulin, delta 1
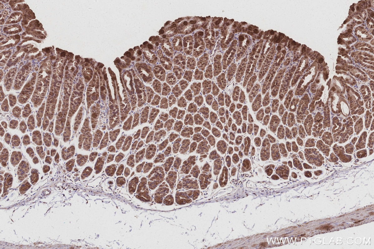
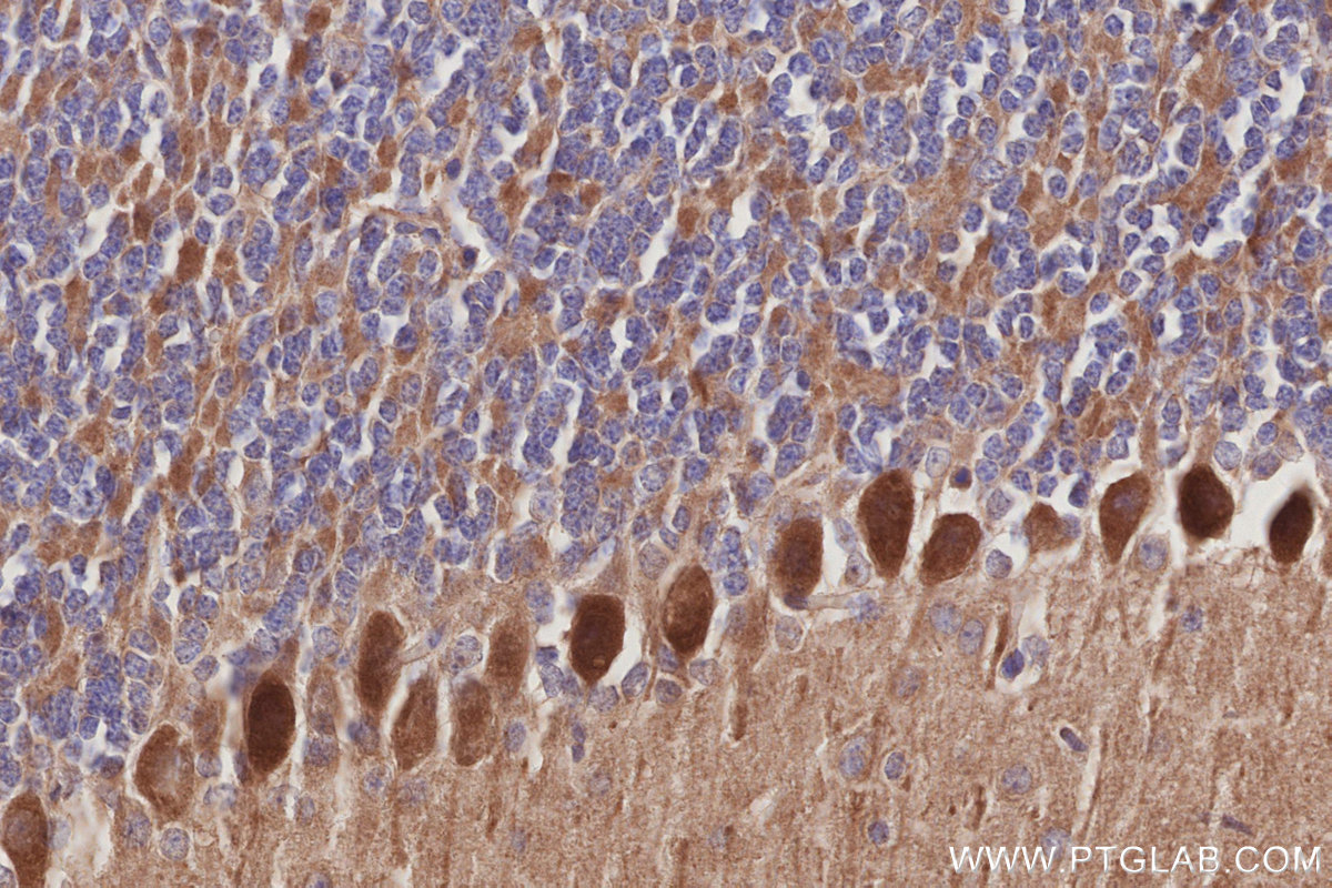
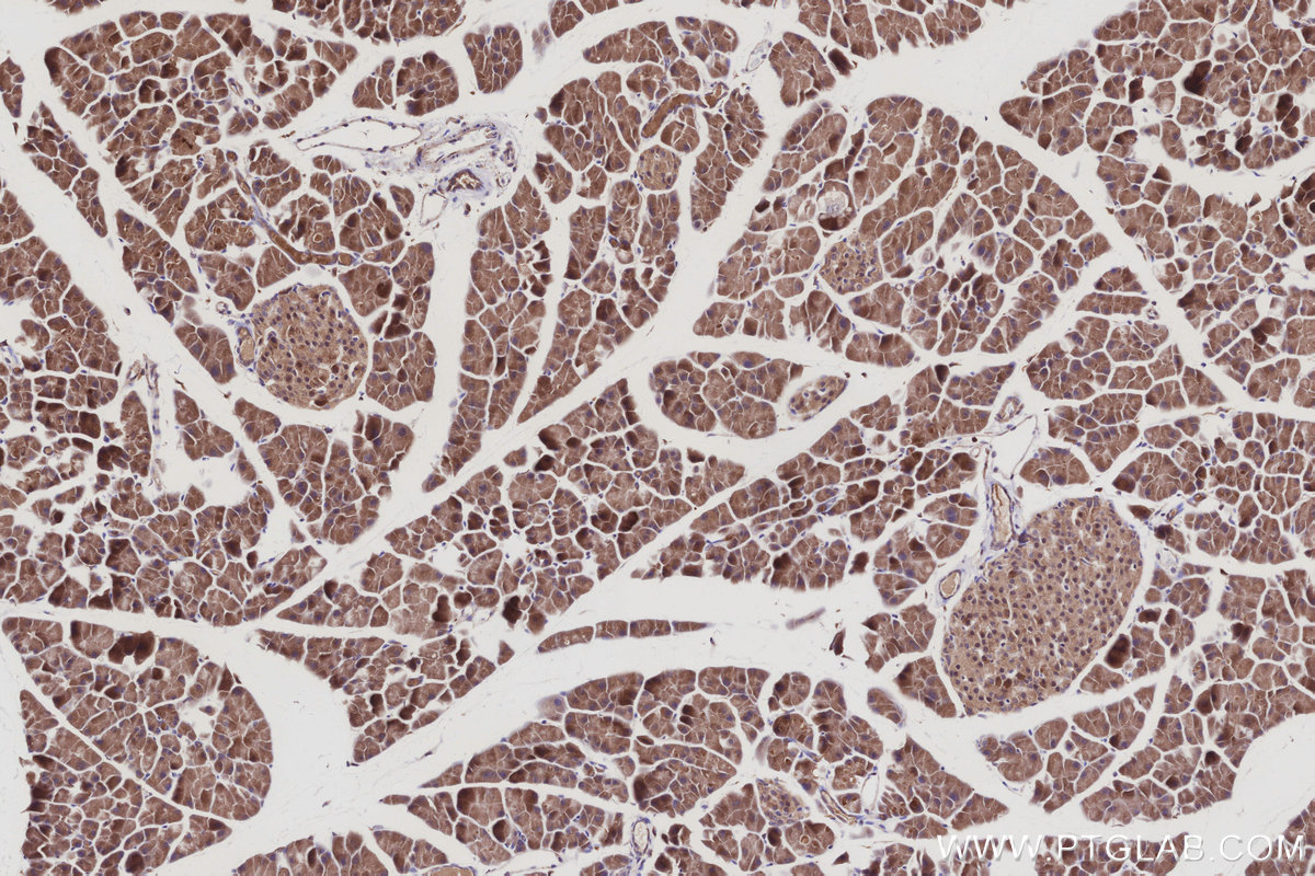
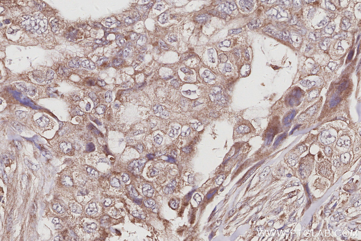
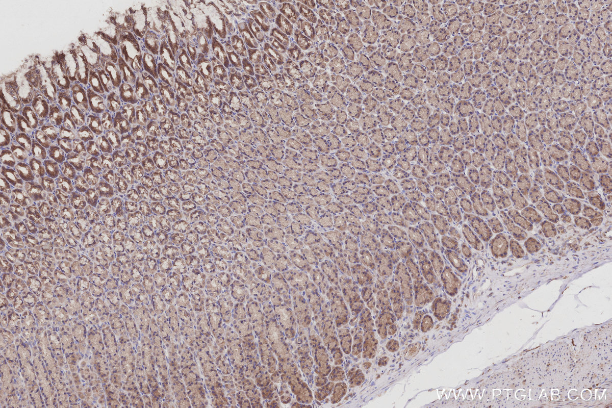
Validation Data Gallery
Product Information
KHC3018 is a ready-to-use IHC kit for staining of TUBD1. The kit provides all reagents, from antigen retrieval to cover slip mounting, that require little to no diluting or handling prior to use. Simply apply the reagents to your sample slide according to the protocol and you're steps away from obtaining high-quality IHC data.
| Product name | IHCeasy® TUBD1 Ready-To-Use IHC Kit |
| Sample type | FFPE tissue |
| Assay type | Immunohistochemistry |
| Primary antibody type | Rabbit Polyclonal |
| Secondary antibody type | Polymer-HRP-Goat anti-Rabbit |
| Reactivity | Human, Mouse, Rat |
Kit components
| Component | Size | Concentration |
|---|---|---|
| Antigen Retrieval Buffer | 100 mL | 50× |
| Washing Buffer | 100 mL ×2 | 20× |
| Blocking Buffer | 5 mL | RTU |
| Primary Antibody | 5 mL | RTU |
| Secondary Antibody | 5 mL | RTU |
| Chromogen Component A | 0.2 mL | RTU |
| Chromogen Component B | 4 mL | RTU |
| Signal Enhancer | 5 mL | RTU |
| Counter Staining Reagent | 5 mL | RTU |
| Mounting Media | 5 mL | RTU |
| Datasheet | 1 Copy | |
| Manual | 1 Copy |
Background Information
TUBD1, also named as TUBD, Tubulin delta chain, tubulin delta 1. The TUBD1 gene encodes a centrosomal protein of 453-amino acids with a molecular mass of 51 kD containing the canonical GTP-binding domain shared with other tubulins. TUBD1 mRNA is preferentially expressed in the sperm head, but it has been also detected in retina, heart, muscle, thyroid, ovary, and colon, among other tissues.
Properties
| Storage Instructions | All the reagents are stored at 2-8°C. The kit is stable for 6 months from the date of receipt. |
| Synonyms | Delta tubulin, Delta-tubulin, TUBD, Tubulin delta chain, tubulin, delta 1 |






