IHCeasy® TTL Ready-To-Use IHC Kit
TTL Ready-to-use reagent kit for IHC.
Reactivity
Human, Mouse, Rat
Sample Type
FFPE tissue
Cat no : KHC3107
Synonyms
EC:6.3.2.25, Tubulin tyrosine ligase, tubulin tyrosine ligase, Tubulin--tyrosine ligase
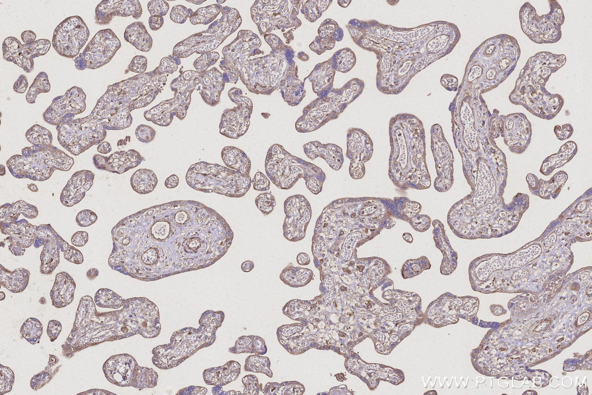
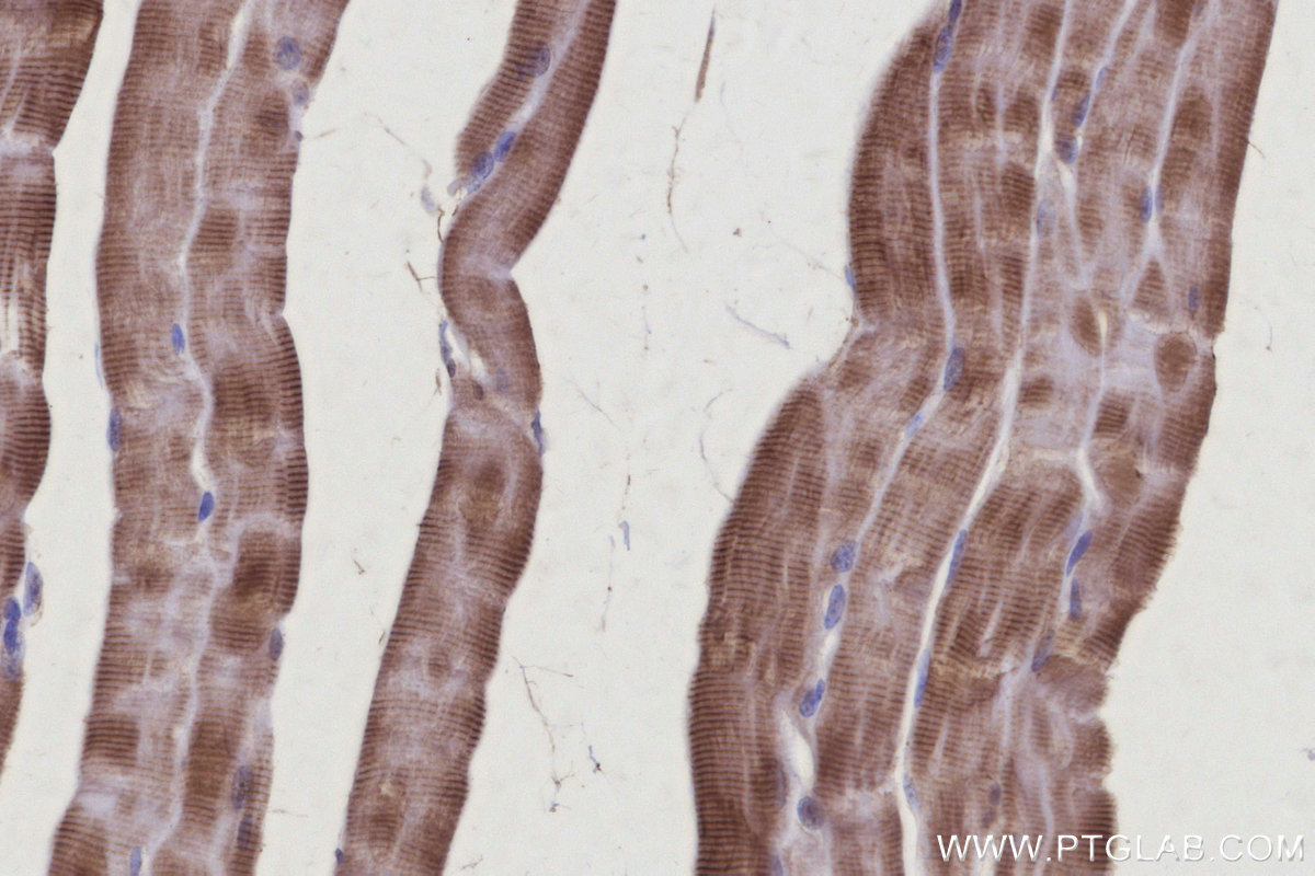
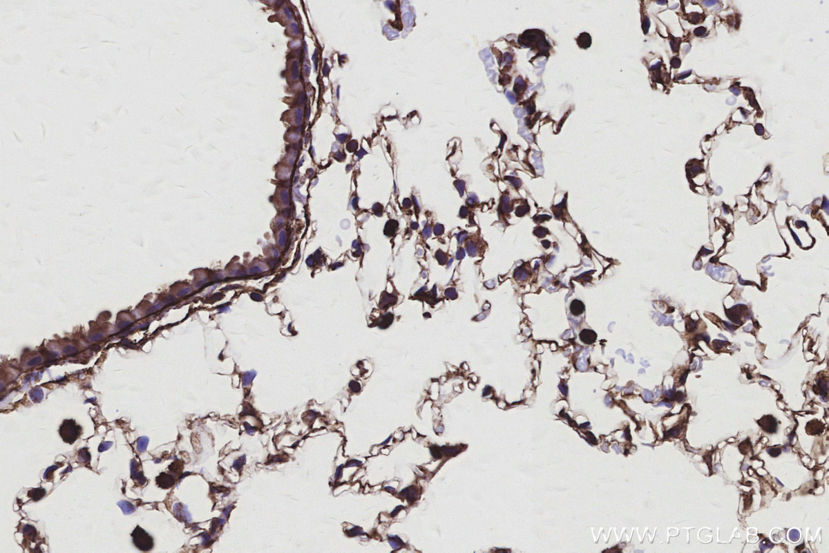
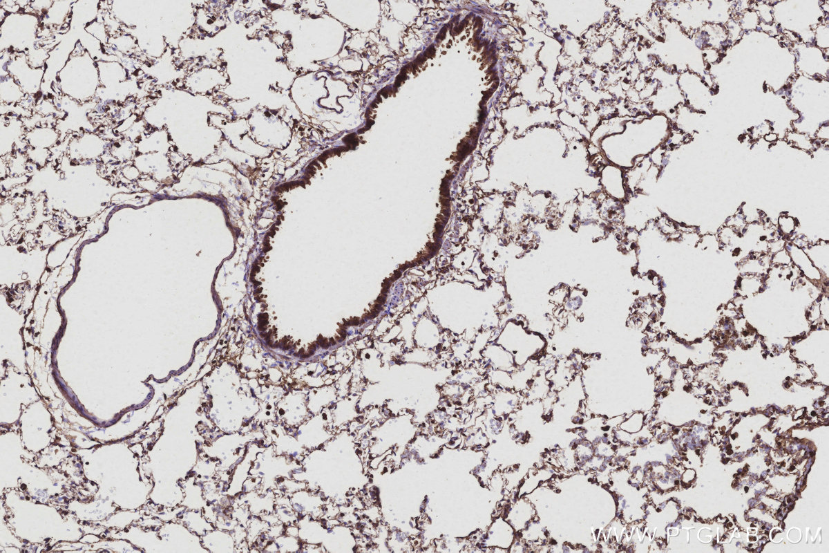
Validation Data Gallery
Product Information
KHC3107 is a ready-to-use IHC kit for staining of TTL. The kit provides all reagents, from antigen retrieval to cover slip mounting, that require little to no diluting or handling prior to use. Simply apply the reagents to your sample slide according to the protocol and you're steps away from obtaining high-quality IHC data.
| Product name | IHCeasy® TTL Ready-To-Use IHC Kit |
| Sample type | FFPE tissue |
| Assay type | Immunohistochemistry |
| Primary antibody type | Rabbit Polyclonal |
| Secondary antibody type | Polymer-HRP-Goat anti-Rabbit |
| Reactivity | Human, Mouse, Rat |
Kit components
| Component | Size | Concentration |
|---|---|---|
| Antigen Retrieval Buffer | 100 mL | 50× |
| Washing Buffer | 100 mL ×2 | 20× |
| Blocking Buffer | 5 mL | RTU |
| Primary Antibody | 5 mL | RTU |
| Secondary Antibody | 5 mL | RTU |
| Chromogen Component A | 0.2 mL | RTU |
| Chromogen Component B | 4 mL | RTU |
| Signal Enhancer | 5 mL | RTU |
| Counter Staining Reagent | 5 mL | RTU |
| Mounting Media | 5 mL | RTU |
| Datasheet | 1 Copy | |
| Manual | 1 Copy |
Background Information
Tubulin-tyrosine ligase (TTL) is the enzyme responsible for the reversible addition of a tyrosine residue at the carboxyl end of alpha-tubulin. TTL forms stable complexes with tubulin and inhibit tubulin polymerization. TTL is frequently suppressed during tumor progression with resulting accumulation of detyrosinated alpha-tubulin in tumor cells. TTL suppression in human cancers is associated with increased tumor aggressiveness.
Properties
| Storage Instructions | All the reagents are stored at 2-8°C. The kit is stable for 6 months from the date of receipt. |
| Synonyms | EC:6.3.2.25, Tubulin tyrosine ligase, tubulin tyrosine ligase, Tubulin--tyrosine ligase |





