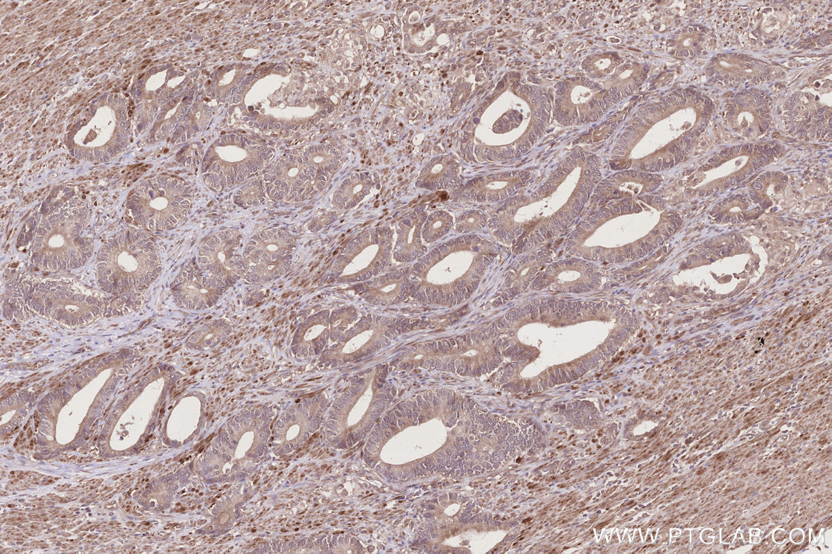
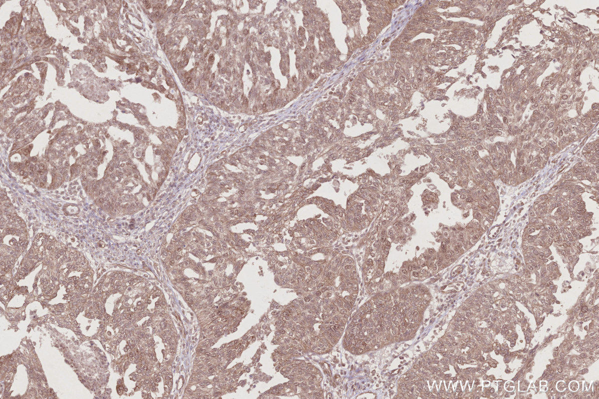
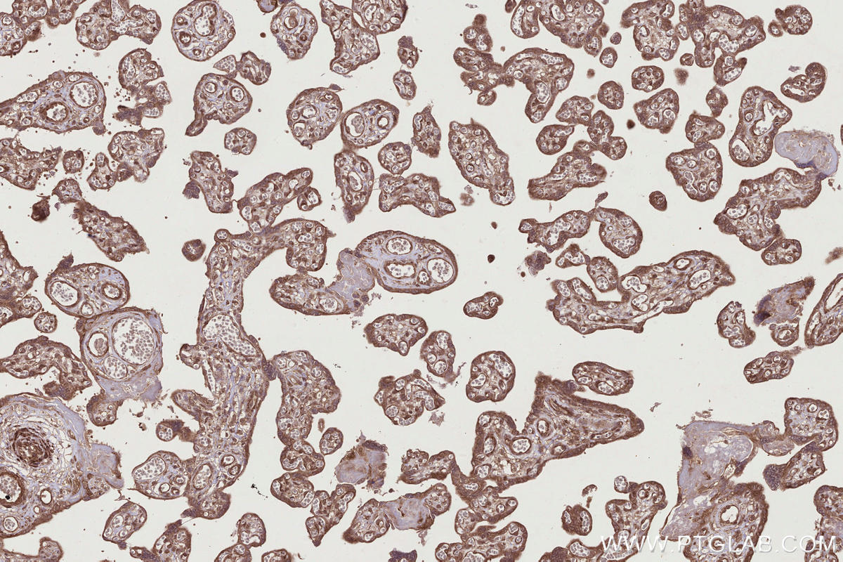
IHCeasy® TTC28 Ready-To-Use IHC Kit

TTC28 Ready-to-use reagent kit for IHC.

Reactivity

Human

Sample Type

FFPE tissue

Cat no : KHC2777

Synonyms

TPR repeat protein 28, TPR repeat-containing big gene cloned at Keio, TPRBK



Product Information

KHC2777 is a ready-to-use IHC kit for staining of TTC28. The kit provides all reagents, from antigen retrieval to cover slip mounting, that require little to no diluting or handling prior to use. Simply apply the reagents to your sample slide according to the protocol and you're steps away from obtaining high-quality IHC data.

Product name IHCeasy TTC28 Ready-To-Use IHC Kit
Sample type FFPE tissue
Assay type Immunohistochemistry
Primary antibody type Rabbit Polyclonal
Secondary antibody type Polymer-HRP-Goat anti-Rabbit
Reactivity Human

Kit components

ComponentSizeConcentration
Antigen Retrieval Buffer100 mL50×
Washing Buffer100 mL ×220×
Blocking Buffer5 mLRTU
Primary Antibody5 mLRTU
Secondary Antibody5 mLRTU
Chromogen Component A0.2 mLRTU
Chromogen Component B4 mLRTU
Signal Enhancer5 mLRTU
Counter Staining Reagent5 mLRTU
Mounting Media5 mLRTU
Datasheet1 Copy
Manual1 Copy

Background Information

TTC28 is a large protein required during the cell cycle for condensation of spindle midzone microtubules, formation of the midbody, and completion of cytokinesis. RT-PCR ELISA detected highest TTC28 expression in adult ovary and lung, followed by kidney and liver. Lower expression was detected in all other adult and fetal tissues examined except testis, which showed no expression.

Properties

Storage Instructions All the reagents are stored at 2-8°C. The kit is stable for 6 months from the date of receipt.
Synonyms TPR repeat protein 28, TPR repeat-containing big gene cloned at Keio, TPRBK
||
New chat Able
正在加载,请稍候...