IHCeasy® TSN Ready-To-Use IHC Kit
TSN Ready-to-use reagent kit for IHC.
Reactivity
Human, Mouse, Rat
Sample Type
FFPE tissue
Cat no : KHC0903
Synonyms
REHF 1, translin, TRSLN, TSN
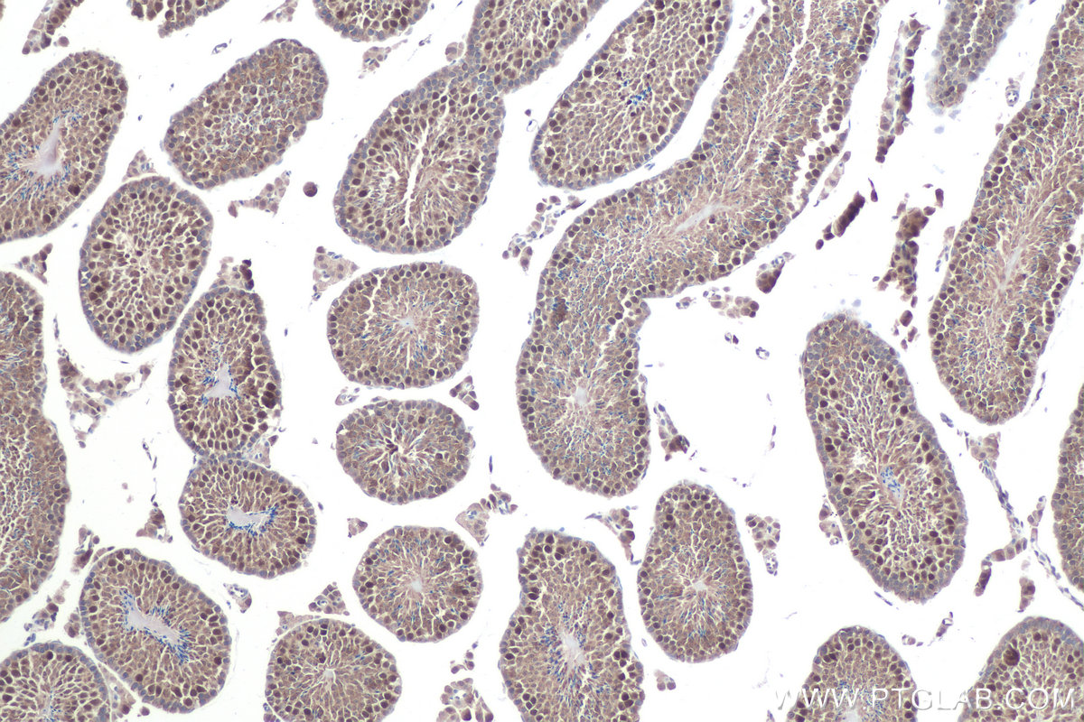
Validation Data Gallery
Product Information
KHC0903 is a ready-to-use IHC kit for staining of TSN. The kit provides all reagents, from antigen retrieval to cover slip mounting, that require little to no diluting or handling prior to use. Simply apply the reagents to your sample slide according to the protocol and you're steps away from obtaining high-quality IHC data.
| Product name | IHCeasy TSN Ready-To-Use IHC Kit |
| Sample type | FFPE tissue |
| Assay type | Immunohistochemistry |
| Primary antibody type | Rabbit Polyclonal |
| Secondary antibody type | Polymer-HRP-Goat anti-Rabbit |
| Reactivity | Human, Mouse, Rat |
Kit components
| Component | Size | Concentration |
|---|---|---|
| Antigen Retrieval Buffer | 100 mL | 50× |
| Washing Buffer | 100 mL ×2 | 20× |
| Blocking Buffer | 5 mL | RTU |
| Primary Antibody | 5 mL | RTU |
| Secondary Antibody | 5 mL | RTU |
| Chromogen Component A | 0.2 mL | RTU |
| Chromogen Component B | 4 mL | RTU |
| Signal Enhancer | 5 mL | RTU |
| Counter Staining Reagent | 5 mL | RTU |
| Mounting Media | 5 mL | RTU |
| Datasheet | 1 Copy | |
| Manual | 1 Copy |
Background Information
TSN, also named as Translin or Component 3 of promoter of RISC, is a 228 amino acid protein, which belongs to the translin family. TSN as a DNA-binding protein that specifically recognizes consensus sequences at the breakpoint junctions in chromosomal translations, mostly is involved in immunoglobulin T-cell receptor gene segments. TSN May act as an activator of RNA-induced silencing complex (RISC) by facilitating endonucleolytic cleavage of the siRNA passenger strand.
Properties
| Storage Instructions | All the reagents are stored at 2-8°C. The kit is stable for 6 months from the date of receipt. |
| Synonyms | REHF 1, translin, TRSLN, TSN |








