IHCeasy® TRAK2 Ready-To-Use IHC Kit
TRAK2 Ready-to-use reagent kit for IHC.
Reactivity
Human, Mouse, Rat
Sample Type
FFPE tissue
Cat no : KHC2095
Synonyms
ALS2CR3, CALS C, GRIF 1, GRIF1, KIAA0549, OIP98, TRAK2
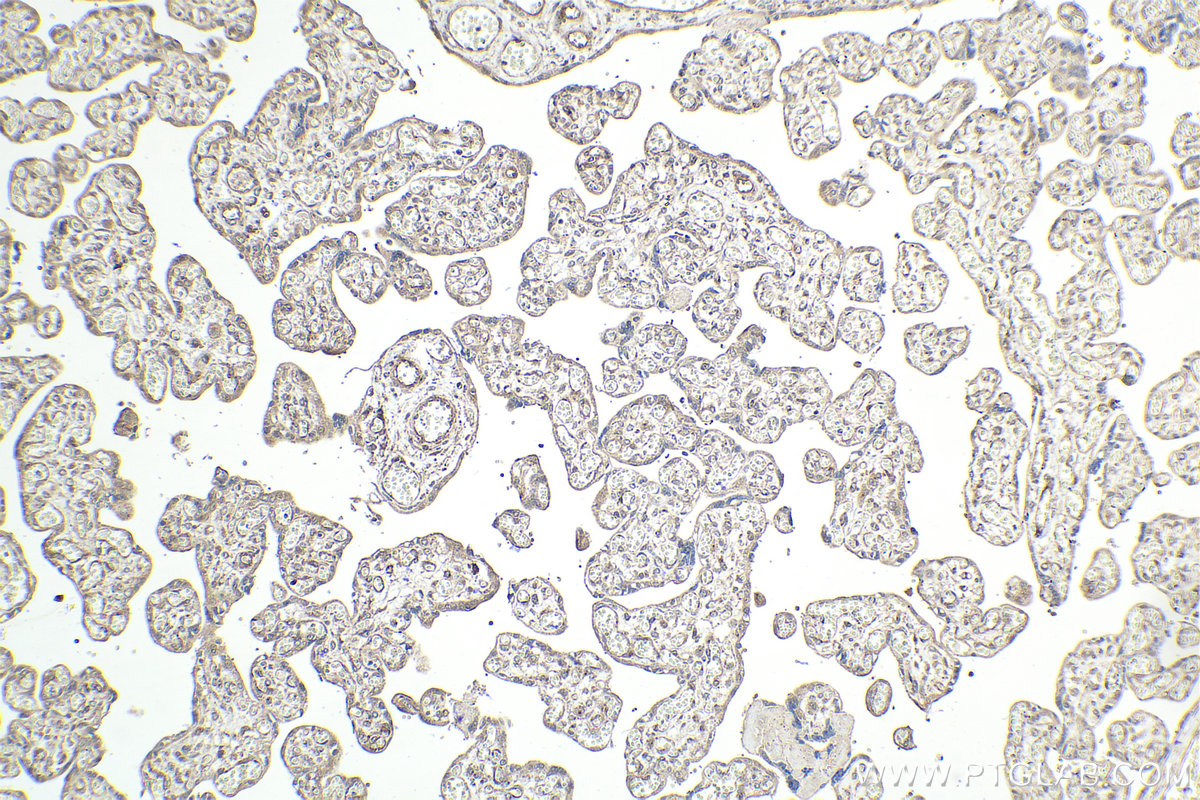
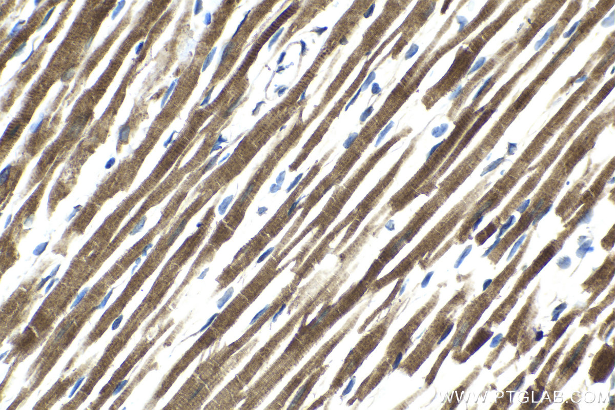
Validation Data Gallery
Product Information
KHC2095 is a ready-to-use IHC kit for staining of TRAK2. The kit provides all reagents, from antigen retrieval to cover slip mounting, that require little to no diluting or handling prior to use. Simply apply the reagents to your sample slide according to the protocol and you're steps away from obtaining high-quality IHC data.
| Product name | IHCeasy TRAK2 Ready-To-Use IHC Kit |
| Sample type | FFPE tissue |
| Assay type | Immunohistochemistry |
| Primary antibody type | Rabbit Polyclonal |
| Secondary antibody type | Polymer-HRP-Goat anti-Rabbit |
| Reactivity | Human, Mouse, Rat |
Kit components
| Component | Size | Concentration |
|---|---|---|
| Antigen Retrieval Buffer | 100 mL | 50× |
| Washing Buffer | 100 mL ×2 | 20× |
| Blocking Buffer | 5 mL | RTU |
| Primary Antibody | 5 mL | RTU |
| Secondary Antibody | 5 mL | RTU |
| Chromogen Component A | 0.2 mL | RTU |
| Chromogen Component B | 4 mL | RTU |
| Signal Enhancer | 5 mL | RTU |
| Counter Staining Reagent | 5 mL | RTU |
| Mounting Media | 5 mL | RTU |
| Datasheet | 1 Copy | |
| Manual | 1 Copy |
Background Information
Trafficking kinesin-binding protein 2 (TRAK2) is a member of the TRAK family of kinesin adaptor proteins. In mammals, there are two members of the TRAK family, TRAK1 and TRAK2. TRAK1 and TRAK2 play roles in lysosomal and mitochondrial trafficking in cells. They function as kinesin adaptors linking kinesin heavy chain (KHC) to mitochondria. TRAK2 has been found to act as a trafficking factor for the K+ channel Kir2.1 and γ-Aminobutyric acid type A (GABAA) receptor.
Properties
| Storage Instructions | All the reagents are stored at 2-8°C. The kit is stable for 6 months from the date of receipt. |
| Synonyms | ALS2CR3, CALS C, GRIF 1, GRIF1, KIAA0549, OIP98, TRAK2 |





