IHCeasy® TPI1 Ready-To-Use IHC Kit
TPI1 Ready-to-use reagent kit for IHC.
Reactivity
Human, Mouse, Rat
Sample Type
FFPE tissue
Cat no : KHC0511
Synonyms
TIM, TPI, TPI1, Triose phosphate isomerase, Triosephosphate isomerase, triosephosphate isomerase 1
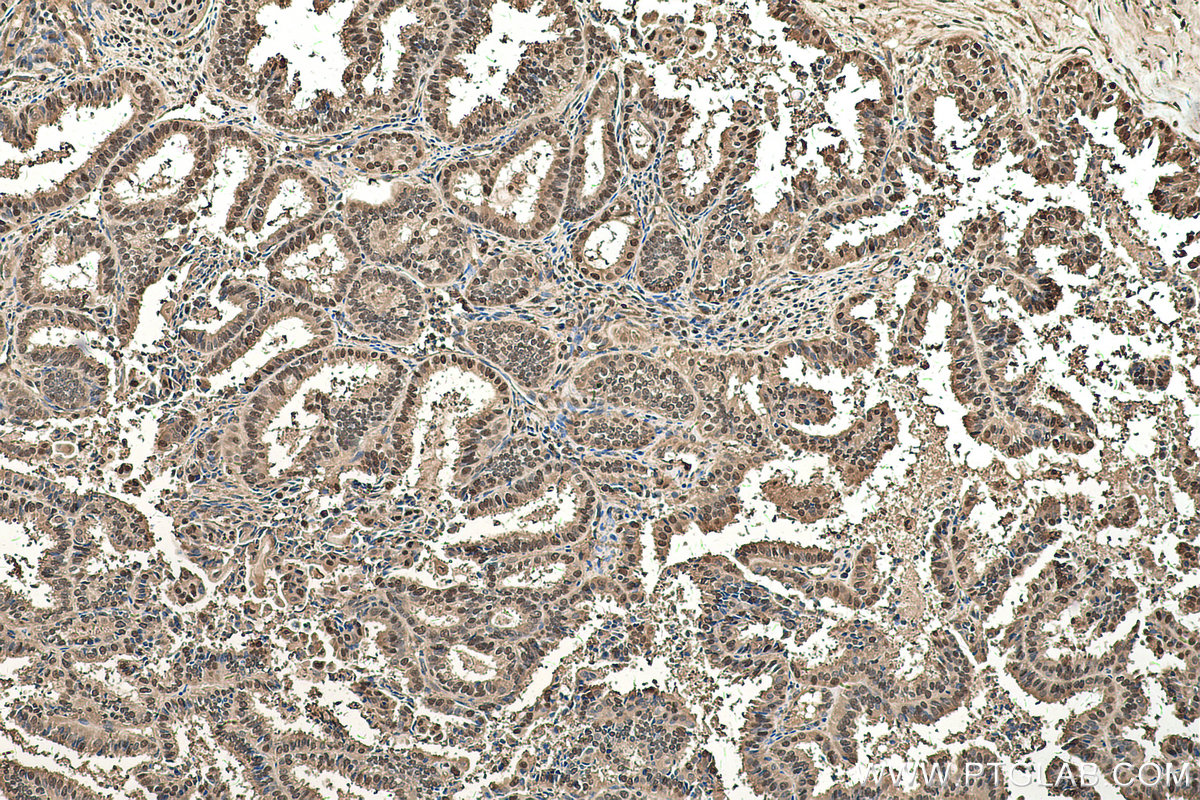
Validation Data Gallery
Product Information
KHC0511 is a ready-to-use IHC kit for staining of TPI1. The kit provides all reagents, from antigen retrieval to cover slip mounting, that require little to no diluting or handling prior to use. Simply apply the reagents to your sample slide according to the protocol and you're steps away from obtaining high-quality IHC data.
| Product name | IHCeasy TPI1 Ready-To-Use IHC Kit |
| Sample type | FFPE tissue |
| Assay type | Immunohistochemistry |
| Primary antibody type | Mouse Monoclonal |
| Secondary antibody type | Polymer-HRP-Goat anti-Mouse |
| Reactivity | Human, Mouse, Rat |
Kit components
| Component | Size | Concentration |
|---|---|---|
| Antigen Retrieval Buffer | 100 mL | 50× |
| Washing Buffer | 100 mL ×2 | 20× |
| Blocking Buffer | 5 mL | RTU |
| Primary Antibody | 5 mL | RTU |
| Secondary Antibody | 5 mL | RTU |
| Chromogen Component A | 0.2 mL | RTU |
| Chromogen Component B | 4 mL | RTU |
| Signal Enhancer | 5 mL | RTU |
| Counter Staining Reagent | 5 mL | RTU |
| Mounting Media | 5 mL | RTU |
| Datasheet | 1 Copy | |
| Manual | 1 Copy |
Background Information
TPI1(Triosephosphate isomerase) is also named as TIM, TPI and belongs to the triosephosphate isomerase family. It is a key enzyme in cell metabolism that controls the glycolytic flow and energy production through the interconversion of dihydroxyacetone phosphate (DHAP) and D-glyceraldehyde 3-phosphate (G3P). Defects in TPI1 are the cause of triosephosphate isomerase deficiency (TPI deficiency).
Properties
| Storage Instructions | All the reagents are stored at 2-8°C. The kit is stable for 6 months from the date of receipt. |
| Synonyms | TIM, TPI, TPI1, Triose phosphate isomerase, Triosephosphate isomerase, triosephosphate isomerase 1 |







