IHCeasy® TNIP1 Ready-To-Use IHC Kit
TNIP1 Ready-to-use reagent kit for IHC.
Reactivity
Human, Mouse, Rat
Sample Type
FFPE tissue
Cat no : KHC1747
Synonyms
ABIN 1, ABIN1, ABIN-1, HIV 1 Nef interacting protein, hVAN, KIAA0113, NAF1, Nef associated factor 1, Nip40 1, TNFAIP3 interacting protein 1, TNIP1, VAN
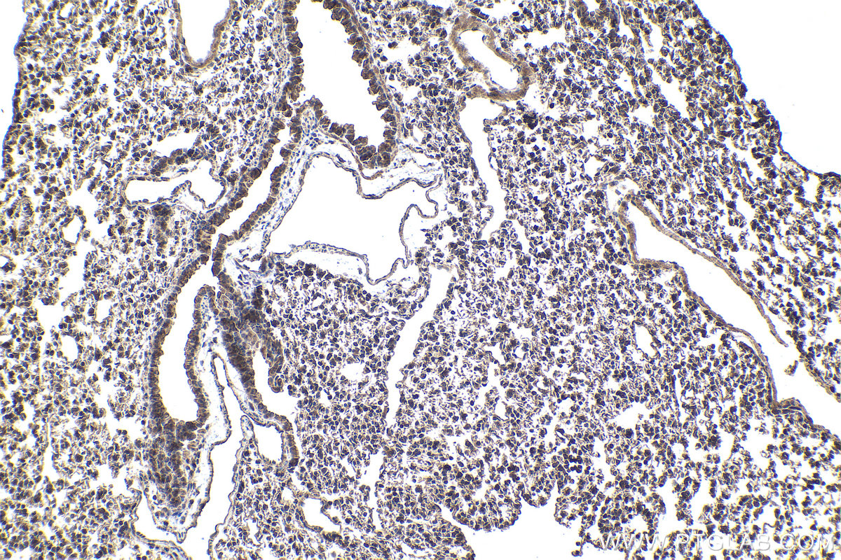
Validation Data Gallery
Product Information
KHC1747 is a ready-to-use IHC kit for staining of TNIP1. The kit provides all reagents, from antigen retrieval to cover slip mounting, that require little to no diluting or handling prior to use. Simply apply the reagents to your sample slide according to the protocol and you're steps away from obtaining high-quality IHC data.
| Product name | IHCeasy TNIP1 Ready-To-Use IHC Kit |
| Sample type | FFPE tissue |
| Assay type | Immunohistochemistry |
| Primary antibody type | Rabbit Polyclonal |
| Secondary antibody type | Polymer-HRP-Goat anti-Rabbit |
| Reactivity | Human, Mouse, Rat |
Kit components
| Component | Size | Concentration |
|---|---|---|
| Antigen Retrieval Buffer | 100 mL | 50× |
| Washing Buffer | 100 mL ×2 | 20× |
| Blocking Buffer | 5 mL | RTU |
| Primary Antibody | 5 mL | RTU |
| Secondary Antibody | 5 mL | RTU |
| Chromogen Component A | 0.2 mL | RTU |
| Chromogen Component B | 4 mL | RTU |
| Signal Enhancer | 5 mL | RTU |
| Counter Staining Reagent | 5 mL | RTU |
| Mounting Media | 5 mL | RTU |
| Datasheet | 1 Copy | |
| Manual | 1 Copy |
Background Information
TNIP1, also named as KIAA0113, NAF1, Nip40-1, VAN and ABIN-1, is involved in inhibition of nuclear factor- B (NF- B) activation by interacting with TNF alpha-induced protein 3, A20 (TNFAIP3). TNIP1 repression of RARs in the presence of RA places it in a small category of corepressors of agonist-bound NRs.
Properties
| Storage Instructions | All the reagents are stored at 2-8°C. The kit is stable for 6 months from the date of receipt. |
| Synonyms | ABIN 1, ABIN1, ABIN-1, HIV 1 Nef interacting protein, hVAN, KIAA0113, NAF1, Nef associated factor 1, Nip40 1, TNFAIP3 interacting protein 1, TNIP1, VAN |





