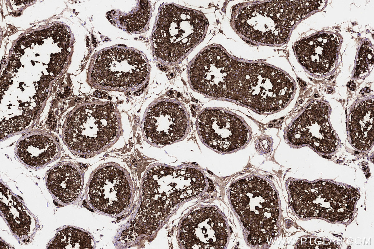
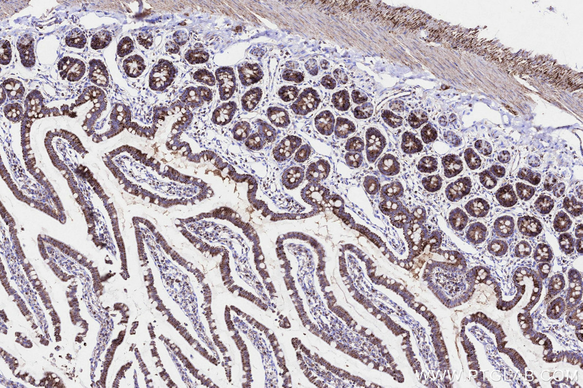
IHCeasy® TKTL1 Ready-To-Use IHC Kit
TKTL1 Ready-to-use reagent kit for IHC.
Reactivity
Human, Rat
Sample Type
FFPE tissue
Cat no : KHC3224
Synonyms
EC:2.2.1.1, TK 2, TK2, TKR, TKT 2
Validation Data Gallery
Product Information
KHC3224 is a ready-to-use IHC kit for staining of TKTL1. The kit provides all reagents, from antigen retrieval to cover slip mounting, that require little to no diluting or handling prior to use. Simply apply the reagents to your sample slide according to the protocol and you're steps away from obtaining high-quality IHC data.
| Product name | IHCeasy® TKTL1 Ready-To-Use IHC Kit |
| Sample type | FFPE tissue |
| Assay type | Immunohistochemistry |
| Primary antibody type | Rabbit Recombinant |
| Secondary antibody type | Polymer-HRP-Goat anti-Rabbit |
| Reactivity | Human, Rat |
Kit components
| Component | Size | Concentration |
|---|---|---|
| Antigen Retrieval Buffer | 100 mL | 50× |
| Washing Buffer | 100 mL ×2 | 20× |
| Blocking Buffer | 5 mL | RTU |
| Primary Antibody | 5 mL | RTU |
| Secondary Antibody | 5 mL | RTU |
| Chromogen Component A | 0.2 mL | RTU |
| Chromogen Component B | 4 mL | RTU |
| Signal Enhancer | 5 mL | RTU |
| Counter Staining Reagent | 5 mL | RTU |
| Mounting Media | 5 mL | RTU |
| Datasheet | 1 Copy | |
| Manual | 1 Copy |
Background Information
Transketolase (TKT) is an enzyme that is ubiquitously expressed in all living organisms and has been identified as an important regulator of cancer. The TKT family includes the TKT gene and two TKT-like (TKTL) genes; TKTL1 and TKTL2.The basic components ribose-5-phosphate and acetyl-CoA, which are formed by TKTL1, provide essential building blocks for the formation of new cells. TKTL1 also allows survival in the absence of oxygen (hypoxia).TKTL1 also has been shown to be involved in regulating neuronal development in the cerebral cortex.
Properties
| Storage Instructions | All the reagents are stored at 2-8°C. The kit is stable for 6 months from the date of receipt. |
| Synonyms | EC:2.2.1.1, TK 2, TK2, TKR, TKT 2 |


