IHCeasy® TIA1 Ready-To-Use IHC Kit
TIA1 Ready-to-use reagent kit for IHC.
Reactivity
Human, Mouse, Rat
Sample Type
FFPE tissue
Cat no : KHC1578
Synonyms
Nucleolysin TIA 1 isoform p40, p40 TIA 1, RNA binding protein TIA 1, TIA 1, TIA1
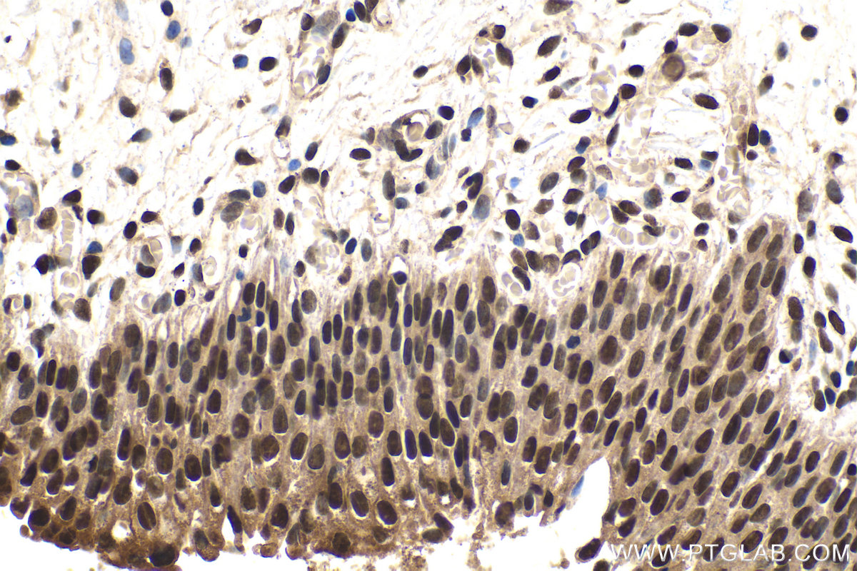
Validation Data Gallery
Product Information
KHC1578 is a ready-to-use IHC kit for staining of TIA1. The kit provides all reagents, from antigen retrieval to cover slip mounting, that require little to no diluting or handling prior to use. Simply apply the reagents to your sample slide according to the protocol and you're steps away from obtaining high-quality IHC data.
| Product name | IHCeasy TIA1 Ready-To-Use IHC Kit |
| Sample type | FFPE tissue |
| Assay type | Immunohistochemistry |
| Primary antibody type | Mouse Monoclonal |
| Secondary antibody type | Polymer-HRP-Goat anti-Mouse |
| Reactivity | Human, Mouse, Rat |
Kit components
| Component | Size | Concentration |
|---|---|---|
| Antigen Retrieval Buffer | 100 mL | 50× |
| Washing Buffer | 100 mL ×2 | 20× |
| Blocking Buffer | 5 mL | RTU |
| Primary Antibody | 5 mL | RTU |
| Secondary Antibody | 5 mL | RTU |
| Chromogen Component A | 0.2 mL | RTU |
| Chromogen Component B | 4 mL | RTU |
| Signal Enhancer | 5 mL | RTU |
| Counter Staining Reagent | 5 mL | RTU |
| Mounting Media | 5 mL | RTU |
| Datasheet | 1 Copy | |
| Manual | 1 Copy |
Background Information
TIA1, also named as p40-TIA-1, is involved in alternative pre-RNA splicing and regulation of mRNA translation by binding to AU-rich elements (AREs) located in mRNA 3' untranslated regions (3' UTRs). It possesses nucleolytic activity against cytotoxic lymphocyte target cells. Similar to the ALS-related disease proteins TDP-43, hnRNPA1, and FUS, TIA1 is an RNA-binding protein containing a prionlike LCD and assembles into membrane-less organelles, including SGs. Postmortem neuropathology of five TIA1 mutations carriers showed a consistent pathological signature with numerous round, hyaline, TAR DNA-binding protein 43 (TDP-43)-positive inclusions. TIA1mutations significantly increased the propensity of TIA1 protein to undergo phase transition. In live cells,TIA1mutations delayed stress granule (SG) disassembly and promoted the accumulation of non-dynamic SGs that harbored TDP-43.
Properties
| Storage Instructions | All the reagents are stored at 2-8°C. The kit is stable for 6 months from the date of receipt. |
| Synonyms | Nucleolysin TIA 1 isoform p40, p40 TIA 1, RNA binding protein TIA 1, TIA 1, TIA1 |






