IHCeasy® TDRD3 Ready-To-Use IHC Kit
TDRD3 Ready-to-use reagent kit for IHC.
Reactivity
Human, Mouse, Rat
Sample Type
FFPE tissue
Cat no : KHC1936
Synonyms
TDRD3, tudor domain containing 3
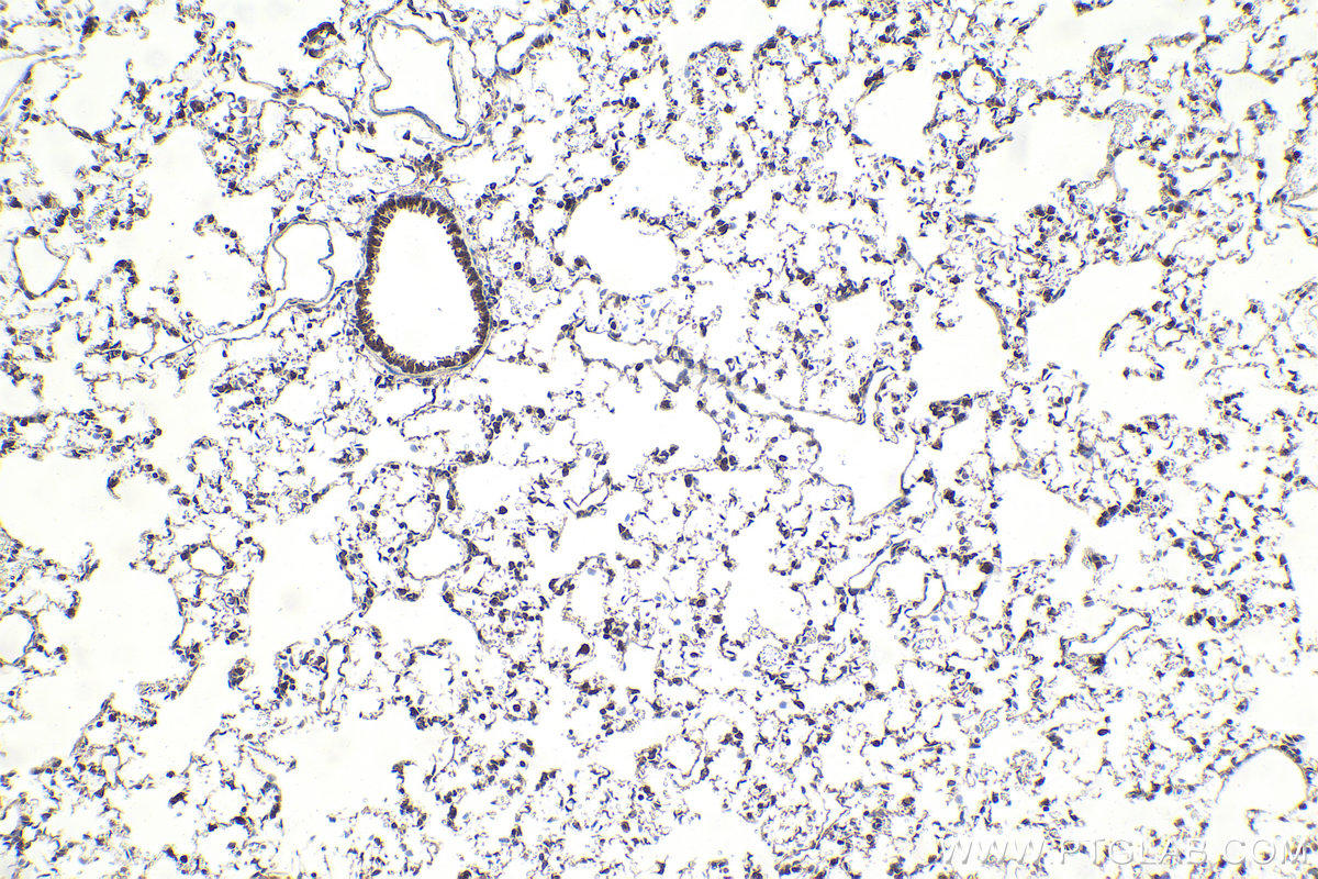
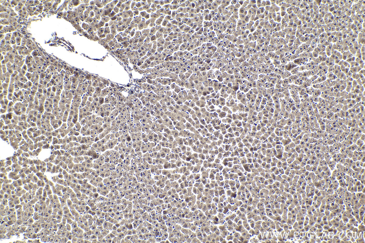
Validation Data Gallery
Product Information
KHC1936 is a ready-to-use IHC kit for staining of TDRD3. The kit provides all reagents, from antigen retrieval to cover slip mounting, that require little to no diluting or handling prior to use. Simply apply the reagents to your sample slide according to the protocol and you're steps away from obtaining high-quality IHC data.
| Product name | IHCeasy TDRD3 Ready-To-Use IHC Kit |
| Sample type | FFPE tissue |
| Assay type | Immunohistochemistry |
| Primary antibody type | Rabbit Polyclonal |
| Secondary antibody type | Polymer-HRP-Goat anti-Rabbit |
| Reactivity | Human, Mouse, Rat |
Kit components
| Component | Size | Concentration |
|---|---|---|
| Antigen Retrieval Buffer | 100 mL | 50× |
| Washing Buffer | 100 mL ×2 | 20× |
| Blocking Buffer | 5 mL | RTU |
| Primary Antibody | 5 mL | RTU |
| Secondary Antibody | 5 mL | RTU |
| Chromogen Component A | 0.2 mL | RTU |
| Chromogen Component B | 4 mL | RTU |
| Signal Enhancer | 5 mL | RTU |
| Counter Staining Reagent | 5 mL | RTU |
| Mounting Media | 5 mL | RTU |
| Datasheet | 1 Copy | |
| Manual | 1 Copy |
Background Information
TDRD3 (Tudor domain-containing protein 3) contains tudor domain which is an approximately 60-amino acid structure motif. TDRD3 functions as a scaffolding protein that specifically recognizes and binds dimethylarginine-containing proteins. TDRD3 is a transcriptional coactivator that promotes transcription by binding methylarginine marks on histone tails. TDRD3 also possesses an oligosaccharide/nucleotide binding fold and an ubiquitin associated domain capable of binding tetra-ubiquitin, and it is reported to associate with polyribosomes in HeLa cells.
Properties
| Storage Instructions | All the reagents are stored at 2-8°C. The kit is stable for 6 months from the date of receipt. |
| Synonyms | TDRD3, tudor domain containing 3 |






