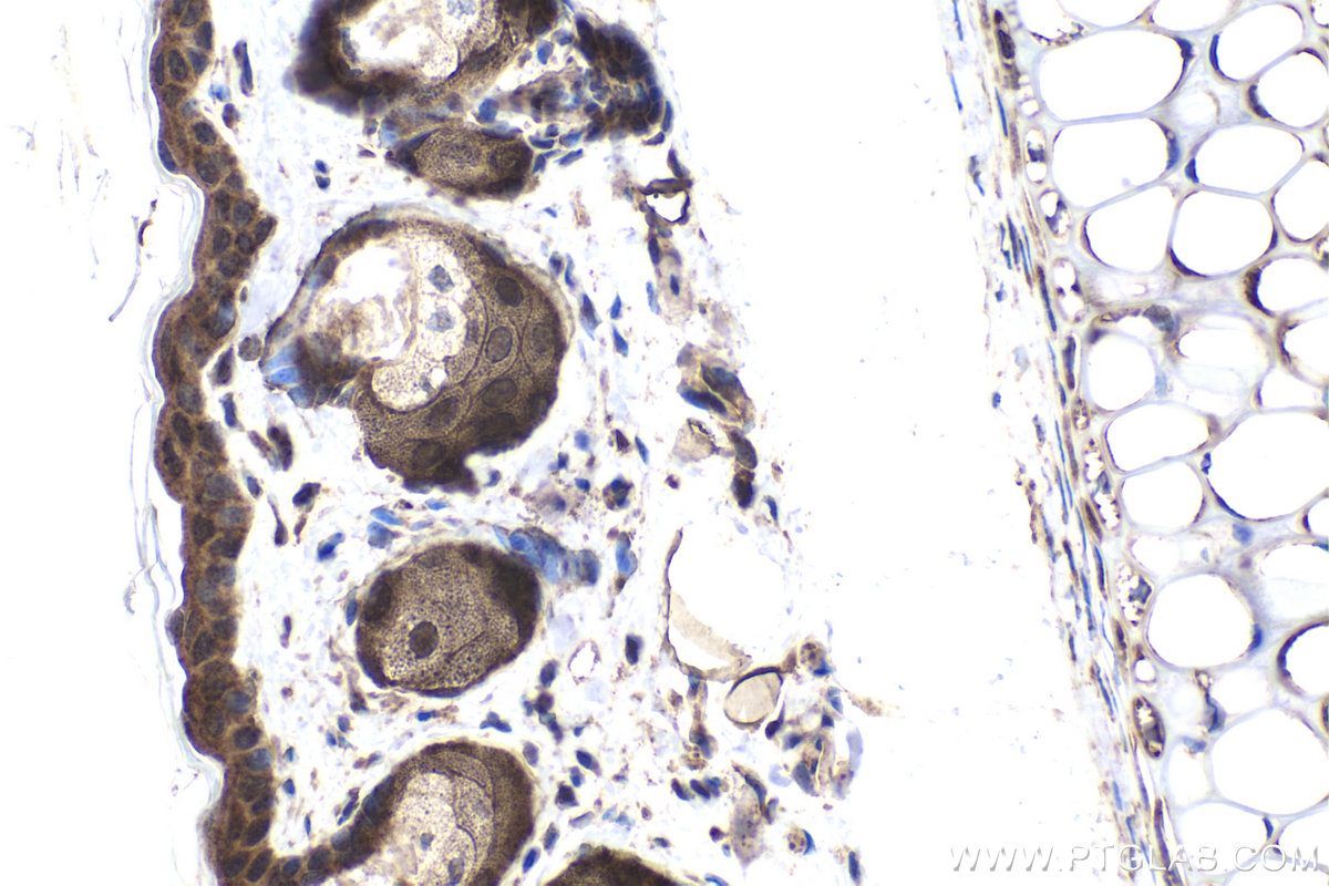
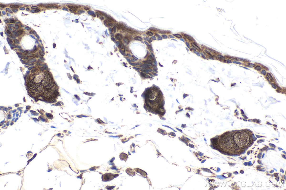
IHCeasy® TASL/CXorf21 Ready-To-Use IHC Kit
TASL/CXorf21 Ready-to-use reagent kit for IHC.
Reactivity
Human, Mouse, Rat
Sample Type
FFPE tissue
Cat no : KHC1939
Synonyms
CXorf21, FLJ11577
Validation Data Gallery
Product Information
KHC1939 is a ready-to-use IHC kit for staining of TASL/CXorf21. The kit provides all reagents, from antigen retrieval to cover slip mounting, that require little to no diluting or handling prior to use. Simply apply the reagents to your sample slide according to the protocol and you're steps away from obtaining high-quality IHC data.
| Product name | IHCeasy TASL/CXorf21 Ready-To-Use IHC Kit |
| Sample type | FFPE tissue |
| Assay type | Immunohistochemistry |
| Primary antibody type | Rabbit Polyclonal |
| Secondary antibody type | Polymer-HRP-Goat anti-Rabbit |
| Reactivity | Human, Mouse, Rat |
Kit components
| Component | Size | Concentration |
|---|---|---|
| Antigen Retrieval Buffer | 100 mL | 50× |
| Washing Buffer | 100 mL ×2 | 20× |
| Blocking Buffer | 5 mL | RTU |
| Primary Antibody | 5 mL | RTU |
| Secondary Antibody | 5 mL | RTU |
| Chromogen Component A | 0.2 mL | RTU |
| Chromogen Component B | 4 mL | RTU |
| Signal Enhancer | 5 mL | RTU |
| Counter Staining Reagent | 5 mL | RTU |
| Mounting Media | 5 mL | RTU |
| Datasheet | 1 Copy | |
| Manual | 1 Copy |
Background Information
CXorf21 (Chromosome X open reading frame 21) is also named as TASL and TLR adapter interacting with SLC15A4 on the lysosome. CXorf21 is an innate immune adapter that mediates the recruitment and activation of IRF5 downstream of endolysosomal toll-like receptors TLR7, TLR8 and TLR9. CXorf21 plays a role in the regulation of endolysosomal pH in immune cells such as B-cells, dendritic cells and monocytes. CXorf21 is a mediator of the X-chromosome gene dose-dependent increased risk of SLE in females.
Properties
| Storage Instructions | All the reagents are stored at 2-8°C. The kit is stable for 6 months from the date of receipt. |
| Synonyms | CXorf21, FLJ11577 |







