IHCeasy® TAOK2 Ready-To-Use IHC Kit
TAOK2 Ready-to-use reagent kit for IHC.
Reactivity
Human, Mouse, Rat
Sample Type
FFPE tissue
Cat no : KHC3031
Synonyms
EC:2.7.11.1, hKFC-C, KIAA0881, MAP3K17, Prostate-derived STE20-like kinase 1
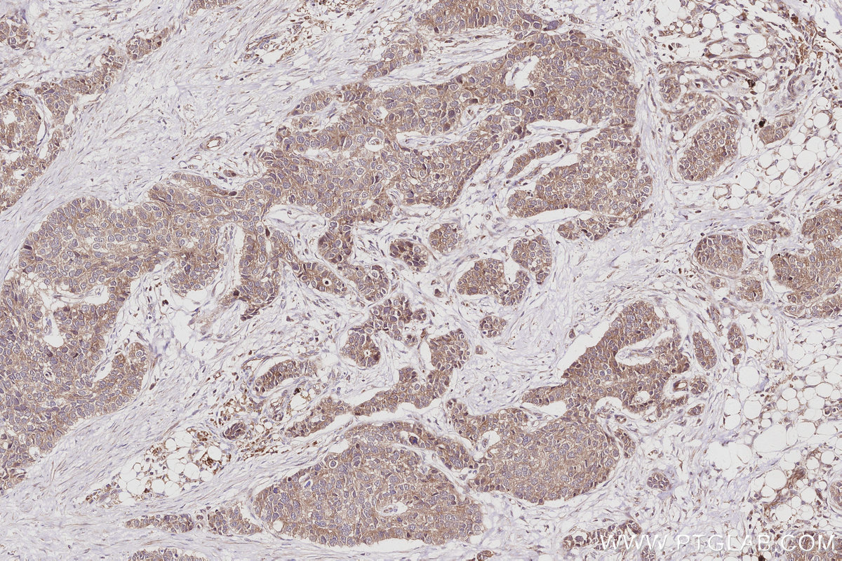
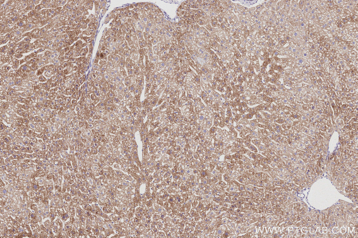
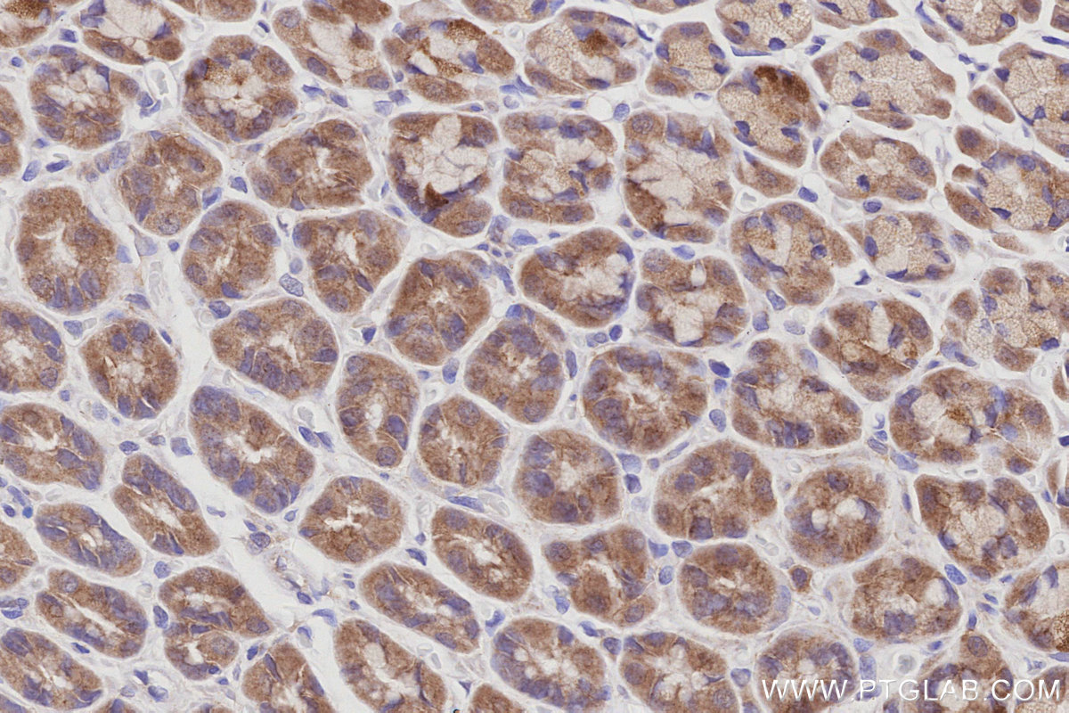
Validation Data Gallery
Product Information
KHC3031 is a ready-to-use IHC kit for staining of TAOK2. The kit provides all reagents, from antigen retrieval to cover slip mounting, that require little to no diluting or handling prior to use. Simply apply the reagents to your sample slide according to the protocol and you're steps away from obtaining high-quality IHC data.
| Product name | IHCeasy® TAOK2 Ready-To-Use IHC Kit |
| Sample type | FFPE tissue |
| Assay type | Immunohistochemistry |
| Primary antibody type | Rabbit Recombinant |
| Secondary antibody type | Polymer-HRP-Goat anti-Rabbit |
| Reactivity | Human, Mouse, Rat |
Kit components
| Component | Size | Concentration |
|---|---|---|
| Antigen Retrieval Buffer | 100 mL | 50× |
| Washing Buffer | 100 mL ×2 | 20× |
| Blocking Buffer | 5 mL | RTU |
| Primary Antibody | 5 mL | RTU |
| Secondary Antibody | 5 mL | RTU |
| Chromogen Component A | 0.2 mL | RTU |
| Chromogen Component B | 4 mL | RTU |
| Signal Enhancer | 5 mL | RTU |
| Counter Staining Reagent | 5 mL | RTU |
| Mounting Media | 5 mL | RTU |
| Datasheet | 1 Copy | |
| Manual | 1 Copy |
Background Information
TAOK2(Serine/threonine-protein kinase TAO2) is also named as KIAA0881, MAP3K17, PSK, PSK1 and belongs to the protein kinase superfamily. TAOK2 is known to modulate gene transcription via its activation of several MAP kinase pathways, including c-Jun amino-terminal kinase (JNK), and has been implicated in the modulation of actin and microtubule dynamics. The time course of TAOK2 expression is consistent with a role for it in neuronal differentiation.
Properties
| Storage Instructions | All the reagents are stored at 2-8°C. The kit is stable for 6 months from the date of receipt. |
| Synonyms | EC:2.7.11.1, hKFC-C, KIAA0881, MAP3K17, Prostate-derived STE20-like kinase 1 |





