IHCeasy® TAF7 Ready-To-Use IHC Kit
TAF7 Ready-to-use reagent kit for IHC.
Reactivity
Human, Mouse, Rat
Sample Type
FFPE tissue
Cat no : KHC1754
Synonyms
TAF(II)55, TAF2F, TAF7, TAFII 55, TAFII55
Validation Data Gallery
Product Information
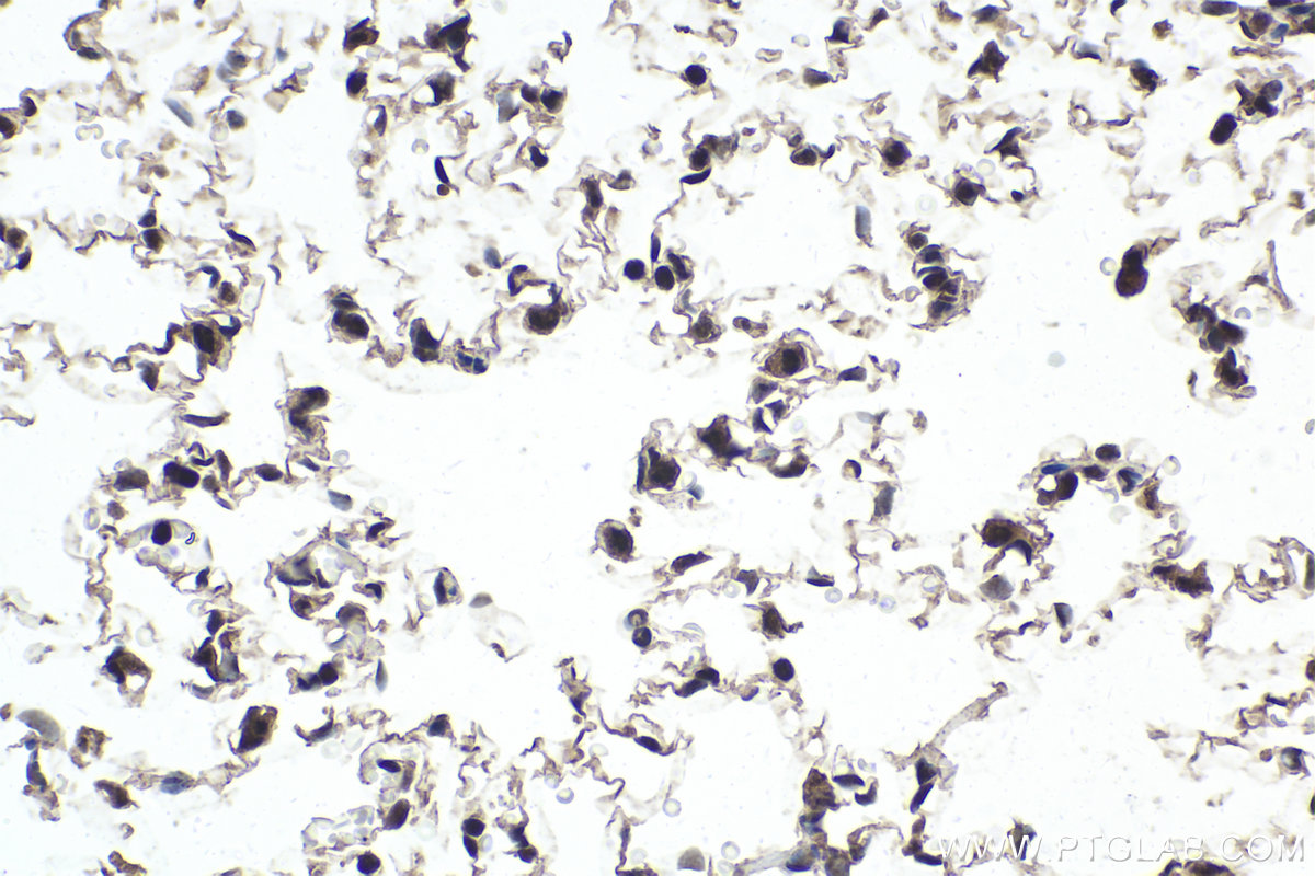
KHC1754 is a ready-to-use IHC kit for staining of TAF7. The kit provides all reagents, from antigen retrieval to cover slip mounting, that require little to no diluting or handling prior to use. Simply apply the reagents to your sample slide according to the protocol and you're steps away from obtaining high-quality IHC data.
| Product name | IHCeasy TAF7 Ready-To-Use IHC Kit |
| Sample type | FFPE tissue |
| Assay type | Immunohistochemistry |
| Primary antibody type | Rabbit Polyclonal |
| Secondary antibody type | Polymer-HRP-Goat anti-Rabbit |
| Reactivity | Human, Mouse, Rat |
Kit components
| Component | Size | Concentration |
|---|---|---|
| Antigen Retrieval Buffer | 100 mL | 50× |
| Washing Buffer | 100 mL ×2 | 20× |
| Blocking Buffer | 5 mL | RTU |
| Primary Antibody | 5 mL | RTU |
| Secondary Antibody | 5 mL | RTU |
| Chromogen Component A | 0.2 mL | RTU |
| Chromogen Component B | 4 mL | RTU |
| Signal Enhancer | 5 mL | RTU |
| Counter Staining Reagent | 5 mL | RTU |
| Mounting Media | 5 mL | RTU |
| Datasheet | 1 Copy | |
| Manual | 1 Copy |
Background Information
TAF7, also named as Transcription initiation factor TFIID 55 kDa subunit, is a 349 amino acid protein, which belongs to the TAF7 family. TAF7 functions as a component of the DNA-binding general transcription factor complex TFIID, a multimeric protein complex that plays a central role in mediating promoter responses to various activators and repressors. TAF7 is phosphorylated by CIITA.
Properties
| Storage Instructions | All the reagents are stored at 2-8°C. The kit is stable for 6 months from the date of receipt. |
| Synonyms | TAF(II)55, TAF2F, TAF7, TAFII 55, TAFII55 |





