IHCeasy® STYXL1 Ready-To-Use IHC Kit
STYXL1 Ready-to-use reagent kit for IHC.
Reactivity
Human
Sample Type
FFPE tissue
Cat no : KHC3092
Synonyms
Dual specificity phosphatase inhibitor MK-STYX, DUSP24, Inactive dual specificity protein phosphatase MK-STYX, Map kinase phosphatase-like protein MK-STYX, MK STYX
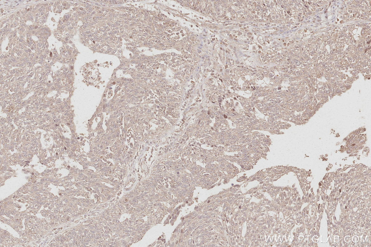
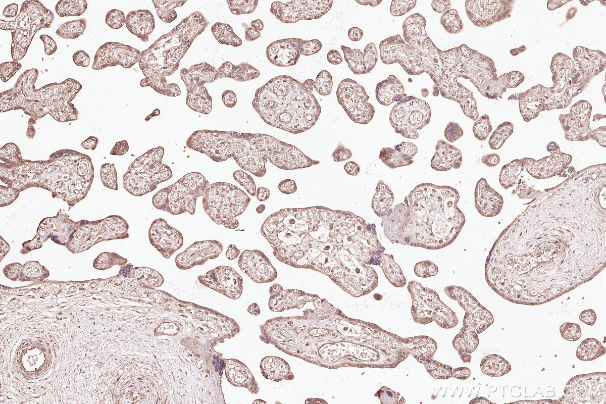
Validation Data Gallery
Product Information
KHC3092 is a ready-to-use IHC kit for staining of STYXL1. The kit provides all reagents, from antigen retrieval to cover slip mounting, that require little to no diluting or handling prior to use. Simply apply the reagents to your sample slide according to the protocol and you're steps away from obtaining high-quality IHC data.
| Product name | IHCeasy® STYXL1 Ready-To-Use IHC Kit |
| Sample type | FFPE tissue |
| Assay type | Immunohistochemistry |
| Primary antibody type | Rabbit Polyclonal |
| Secondary antibody type | Polymer-HRP-Goat anti-Rabbit |
| Reactivity | Human |
Kit components
| Component | Size | Concentration |
|---|---|---|
| Antigen Retrieval Buffer | 100 mL | 50× |
| Washing Buffer | 100 mL ×2 | 20× |
| Blocking Buffer | 5 mL | RTU |
| Primary Antibody | 5 mL | RTU |
| Secondary Antibody | 5 mL | RTU |
| Chromogen Component A | 0.2 mL | RTU |
| Chromogen Component B | 4 mL | RTU |
| Signal Enhancer | 5 mL | RTU |
| Counter Staining Reagent | 5 mL | RTU |
| Mounting Media | 5 mL | RTU |
| Datasheet | 1 Copy | |
| Manual | 1 Copy |
Background Information
STYXL1, Serine/threonine/tyrosine-interacting-like protein 1, is an inner mitochondrial membrane protein that plays a role in induction of stimulus-dependent apoptosis via the intrinsic apoptotic pathway. STYXL1 catalyzes inactive phosphatase. By binding to G3BP1, STYXL1 inhibits the formation of G3BP1-induced stress granules.
Properties
| Storage Instructions | All the reagents are stored at 2-8°C. The kit is stable for 6 months from the date of receipt. |
| Synonyms | Dual specificity phosphatase inhibitor MK-STYX, DUSP24, Inactive dual specificity protein phosphatase MK-STYX, Map kinase phosphatase-like protein MK-STYX, MK STYX |



