IHCeasy® STT3A Ready-To-Use IHC Kit
STT3A Ready-to-use reagent kit for IHC.
Reactivity
Human, Mouse, Rat
Sample Type
FFPE tissue
Cat no : KHC3213
Synonyms
B5, Dolichyl-diphosphooligosaccharide--protein glycosyltransferase subunit STT3A, EC:2.4.99.18, Integral membrane protein 1, ITM1
Validation Data Gallery
Product Information
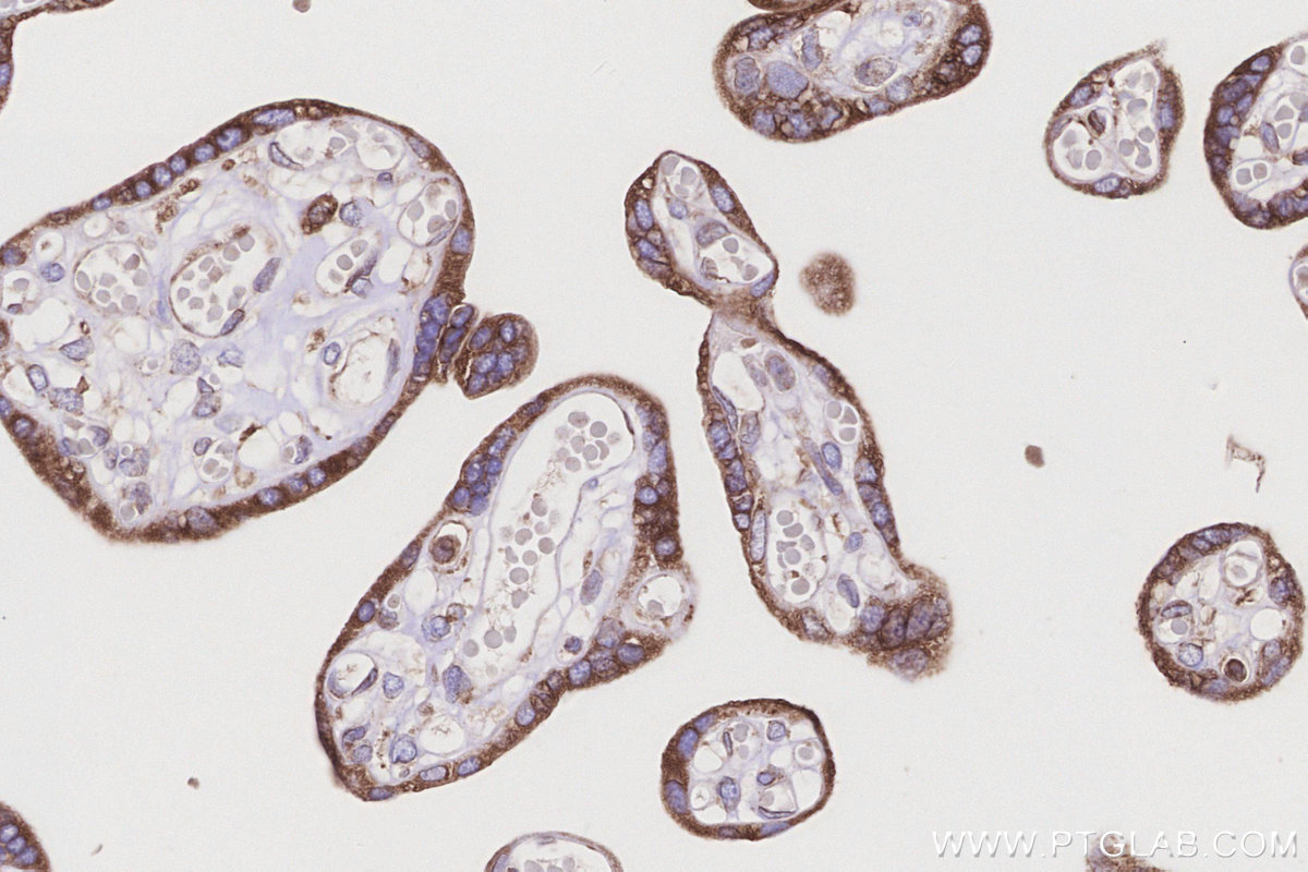
KHC3213 is a ready-to-use IHC kit for staining of STT3A. The kit provides all reagents, from antigen retrieval to cover slip mounting, that require little to no diluting or handling prior to use. Simply apply the reagents to your sample slide according to the protocol and you're steps away from obtaining high-quality IHC data.
| Product name | IHCeasy® STT3A Ready-To-Use IHC Kit |
| Sample type | FFPE tissue |
| Assay type | Immunohistochemistry |
| Primary antibody type | Mouse Monoclonal |
| Secondary antibody type | Polymer-HRP-Goat anti-Mouse |
| Reactivity | Human, Mouse, Rat |
Kit components
| Component | Size | Concentration |
|---|---|---|
| Antigen Retrieval Buffer | 100 mL | 50× |
| Washing Buffer | 100 mL ×2 | 20× |
| Blocking Buffer | 5 mL | RTU |
| Primary Antibody | 5 mL | RTU |
| Secondary Antibody | 5 mL | RTU |
| Chromogen Component A | 0.2 mL | RTU |
| Chromogen Component B | 4 mL | RTU |
| Signal Enhancer | 5 mL | RTU |
| Counter Staining Reagent | 5 mL | RTU |
| Mounting Media | 5 mL | RTU |
| Datasheet | 1 Copy | |
| Manual | 1 Copy |
Background Information
STT3A, also named as Integral membrane protein 1, belongs to the STT3 family. STT3A is expressed at high levels in placenta, liver, muscle and pancreas, and at very low levels in brain, lung and kidney. STT3A is a catalytic subunit of the N-oligosaccharyl transferase (OST) complex which catalyzes the transfer of a high mannose oligosaccharide from a lipid-linked oligosaccharide donor to an asparagine residue within an Asn-X-Ser/Thr consensus motif in nascent polypeptide chains. STT3A is present in the majority of OST complexes and mediates cotranslational N-glycosylation of most sites on target proteins, while STT3B-containing complexes are required for efficient post-translational glycosylation and mediate glycosylation of sites that have been skipped by STT3A.
Properties
| Storage Instructions | All the reagents are stored at 2-8°C. The kit is stable for 6 months from the date of receipt. |
| Synonyms | B5, Dolichyl-diphosphooligosaccharide--protein glycosyltransferase subunit STT3A, EC:2.4.99.18, Integral membrane protein 1, ITM1 |





