IHCeasy® STRA8 Ready-To-Use IHC Kit
STRA8 Ready-to-use reagent kit for IHC.
Reactivity
Human, Mouse, Rat
Sample Type
FFPE tissue
Cat no : KHC2628
Synonyms
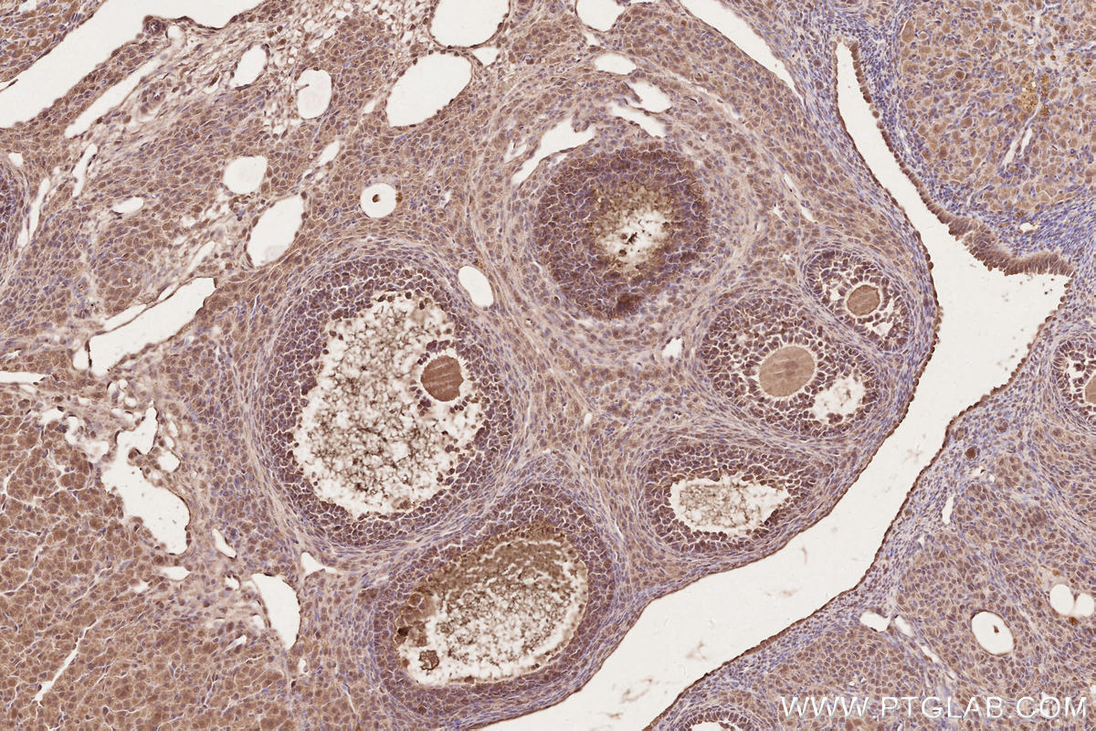
STRA8
Validation Data Gallery
Product Information
KHC2628 is a ready-to-use IHC kit for staining of STRA8. The kit provides all reagents, from antigen retrieval to cover slip mounting, that require little to no diluting or handling prior to use. Simply apply the reagents to your sample slide according to the protocol and you're steps away from obtaining high-quality IHC data.
| Product name | IHCeasy STRA8 Ready-To-Use IHC Kit |
| Sample type | FFPE tissue |
| Assay type | Immunohistochemistry |
| Primary antibody type | Mouse Monoclonal |
| Secondary antibody type | Polymer-HRP-Goat anti-Mouse |
| Reactivity | Human, Mouse, Rat |
Kit components
| Component | Size | Concentration |
|---|---|---|
| Antigen Retrieval Buffer | 100 mL | 50× |
| Washing Buffer | 100 mL ×2 | 20× |
| Blocking Buffer | 5 mL | RTU |
| Primary Antibody | 5 mL | RTU |
| Secondary Antibody | 5 mL | RTU |
| Chromogen Component A | 0.2 mL | RTU |
| Chromogen Component B | 4 mL | RTU |
| Signal Enhancer | 5 mL | RTU |
| Counter Staining Reagent | 5 mL | RTU |
| Mounting Media | 5 mL | RTU |
| Datasheet | 1 Copy | |
| Manual | 1 Copy |
Background Information
Stimulated by retinoic acid 8 (Stra8), one of genes induced by retinoic acid (RA), is required for the meiotic initiation of male spermatogenesis. Stimulated by Retinoic Acid Gene 8 (STRA8) protein has been proposed as the molecular effector of Retinoic Acid (RA) involved in meiosis-inductive activity. Stra8 is a 45-kDa vertebrate-specific gene, without significant homologous proteins, expressed in the cytoplasm and nuclei of germ cells between mitosis and meiosis and presents exclusively in the embryonic and postnatal gonads of mammals.
Properties
| Storage Instructions | All the reagents are stored at 2-8°C. The kit is stable for 6 months from the date of receipt. |
| Synonyms | STRA8 |



