IHCeasy® STEAP4 Ready-To-Use IHC Kit
STEAP4 Ready-to-use reagent kit for IHC.
Reactivity
Human, Mouse
Sample Type
FFPE tissue
Cat no : KHC3267
Synonyms
EC:1.16.1.-, Metalloreductase STEAP4, Six-transmembrane epithelial antigen of prostate 4, STAMP2, STEAP family member 4
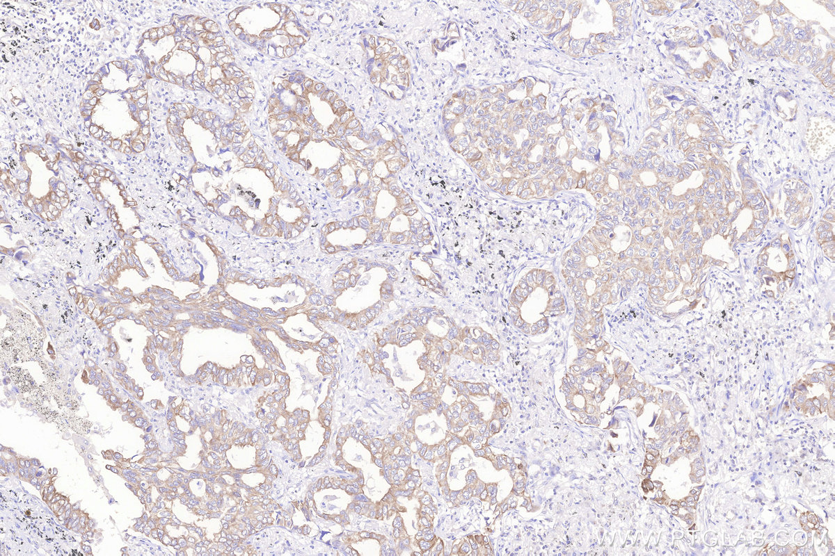
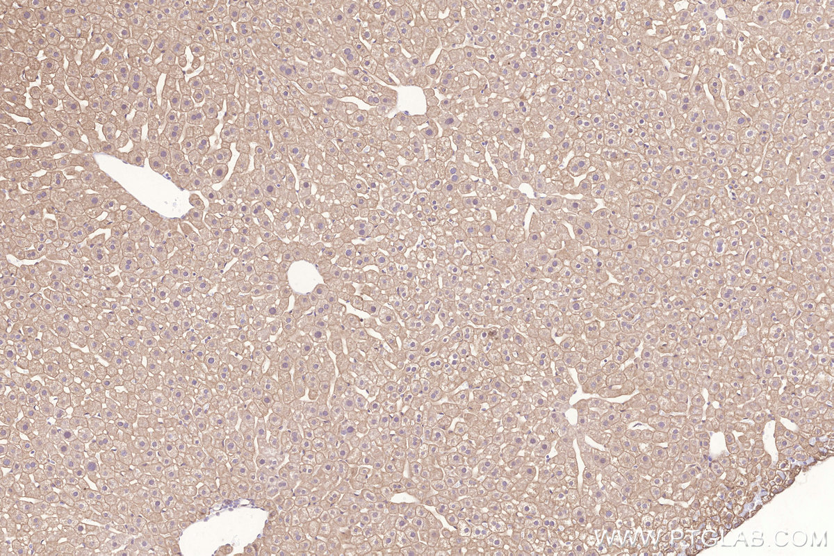
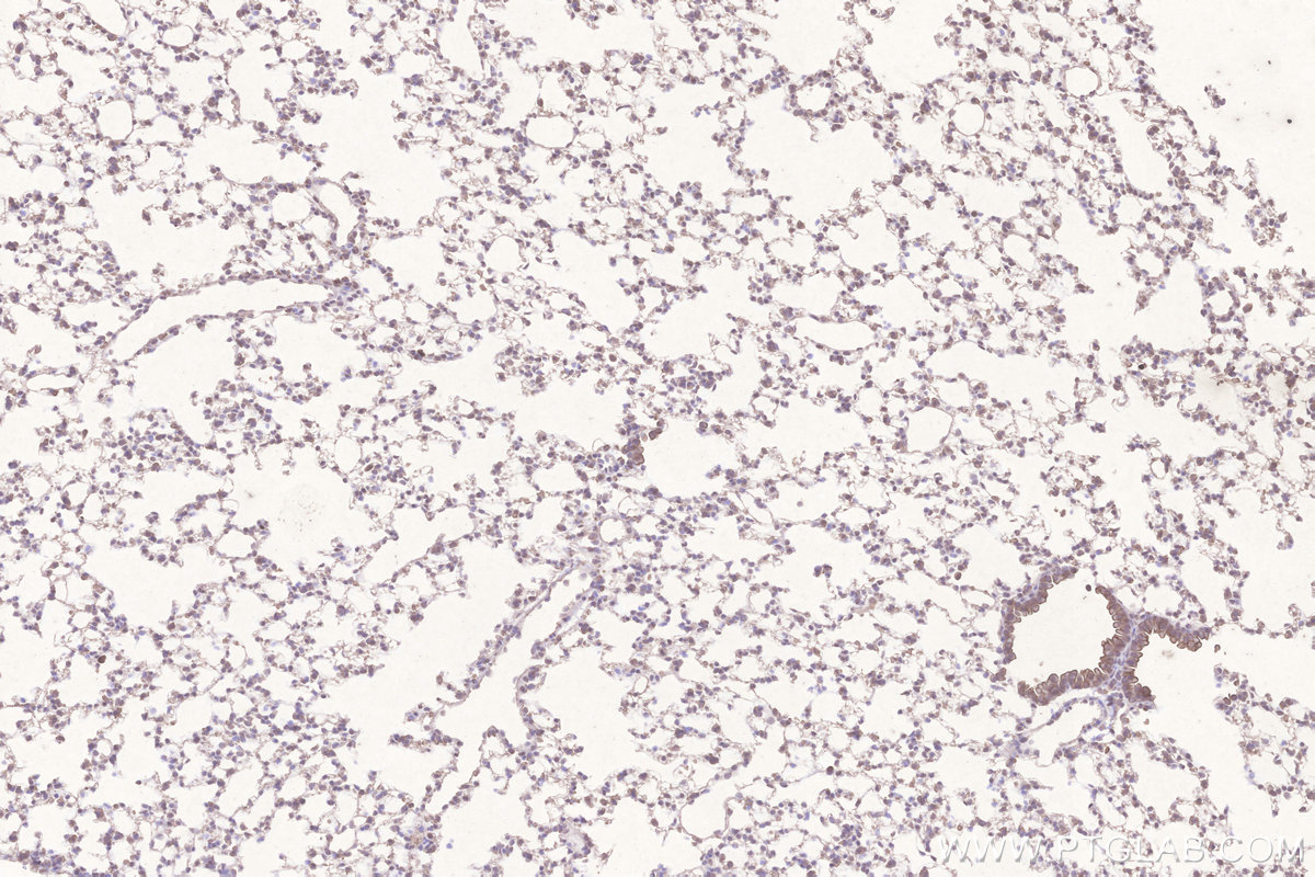
Validation Data Gallery
Product Information
KHC3267 is a ready-to-use IHC kit for staining of STEAP4. The kit provides all reagents, from antigen retrieval to cover slip mounting, that require little to no diluting or handling prior to use. Simply apply the reagents to your sample slide according to the protocol and you're steps away from obtaining high-quality IHC data.
| Product name | IHCeasy® STEAP4 Ready-To-Use IHC Kit |
| Sample type | FFPE tissue |
| Assay type | Immunohistochemistry |
| Primary antibody type | Mouse Monoclonal |
| Secondary antibody type | Polymer-HRP-Goat anti-Mouse |
| Reactivity | Human, Mouse |
Kit components
| Component | Size | Concentration |
|---|---|---|
| Antigen Retrieval Buffer | 100 mL | 50× |
| Washing Buffer | 100 mL ×2 | 20× |
| Blocking Buffer | 5 mL | RTU |
| Primary Antibody | 5 mL | RTU |
| Secondary Antibody | 5 mL | RTU |
| Chromogen Component A | 0.2 mL | RTU |
| Chromogen Component B | 4 mL | RTU |
| Signal Enhancer | 5 mL | RTU |
| Counter Staining Reagent | 5 mL | RTU |
| Mounting Media | 5 mL | RTU |
| Datasheet | 1 Copy | |
| Manual | 1 Copy |
Background Information
STEAP4 (also called STAMP2), is a member of the STEAP family. Structurally, It is a 459 amino acid protein characterized by a molecular topology of six transmembrane domains. The cytoplasmic N-terminal domain of STEAP4 shows structural similarity with bacterial and archaeal FNO oxidoreductase and STEAP4 exhibits a strong iron reductase activity. Studies in mice and human suggest that STEAP4 maybe involved in adipocyte development and metabolism, and may contribute to the normal biology of the prostate cell, as well as prostate cancer progression.
Properties
| Storage Instructions | All the reagents are stored at 2-8°C. The kit is stable for 6 months from the date of receipt. |
| Synonyms | EC:1.16.1.-, Metalloreductase STEAP4, Six-transmembrane epithelial antigen of prostate 4, STAMP2, STEAP family member 4 |



