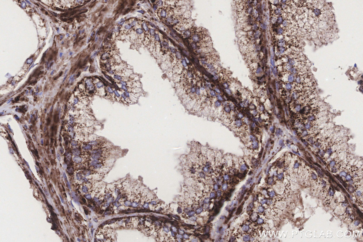
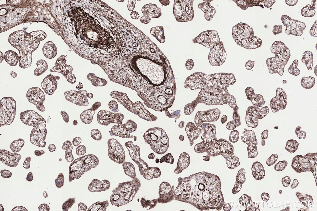
IHCeasy® STEAP2 Ready-To-Use IHC Kit
STEAP2 Ready-to-use reagent kit for IHC.
Reactivity
Human, Mouse, Rat
Sample Type
FFPE tissue
Cat no : KHC3300
Synonyms
EC:1.16.1.-, Metalloreductase STEAP2, PCANAP1, Prostate cancer-associated protein 1, Protein up-regulated in metastatic prostate cancer
Validation Data Gallery
Product Information
KHC3300 is a ready-to-use IHC kit for staining of STEAP2. The kit provides all reagents, from antigen retrieval to cover slip mounting, that require little to no diluting or handling prior to use. Simply apply the reagents to your sample slide according to the protocol and you're steps away from obtaining high-quality IHC data.
| Product name | IHCeasy® STEAP2 Ready-To-Use IHC Kit |
| Sample type | FFPE tissue |
| Assay type | Immunohistochemistry |
| Primary antibody type | Rabbit Recombinant |
| Secondary antibody type | Polymer-HRP-Goat anti-Rabbit |
| Reactivity | Human, Mouse, Rat |
Kit components
| Component | Size | Concentration |
|---|---|---|
| Antigen Retrieval Buffer | 100 mL | 50× |
| Washing Buffer | 100 mL ×2 | 20× |
| Blocking Buffer | 5 mL | RTU |
| Primary Antibody | 5 mL | RTU |
| Secondary Antibody | 5 mL | RTU |
| Chromogen Component A | 0.2 mL | RTU |
| Chromogen Component B | 4 mL | RTU |
| Signal Enhancer | 5 mL | RTU |
| Counter Staining Reagent | 5 mL | RTU |
| Mounting Media | 5 mL | RTU |
| Datasheet | 1 Copy | |
| Manual | 1 Copy |
Background Information
STEAP2, also named as PCANAP1 and STAMP1, belongs to the STEAP family. It is a metalloreductase that has the ability to reduce both Fe3+ to Fe2+ and Cu2+ to Cu1+. STEAP2 uses NAD+ as acceptor.
Properties
| Storage Instructions | All the reagents are stored at 2-8°C. The kit is stable for 6 months from the date of receipt. |
| Synonyms | EC:1.16.1.-, Metalloreductase STEAP2, PCANAP1, Prostate cancer-associated protein 1, Protein up-regulated in metastatic prostate cancer |





