IHCeasy® STARD3/MLN64 Ready-To-Use IHC Kit
STARD3/MLN64 Ready-to-use reagent kit for IHC.
Reactivity
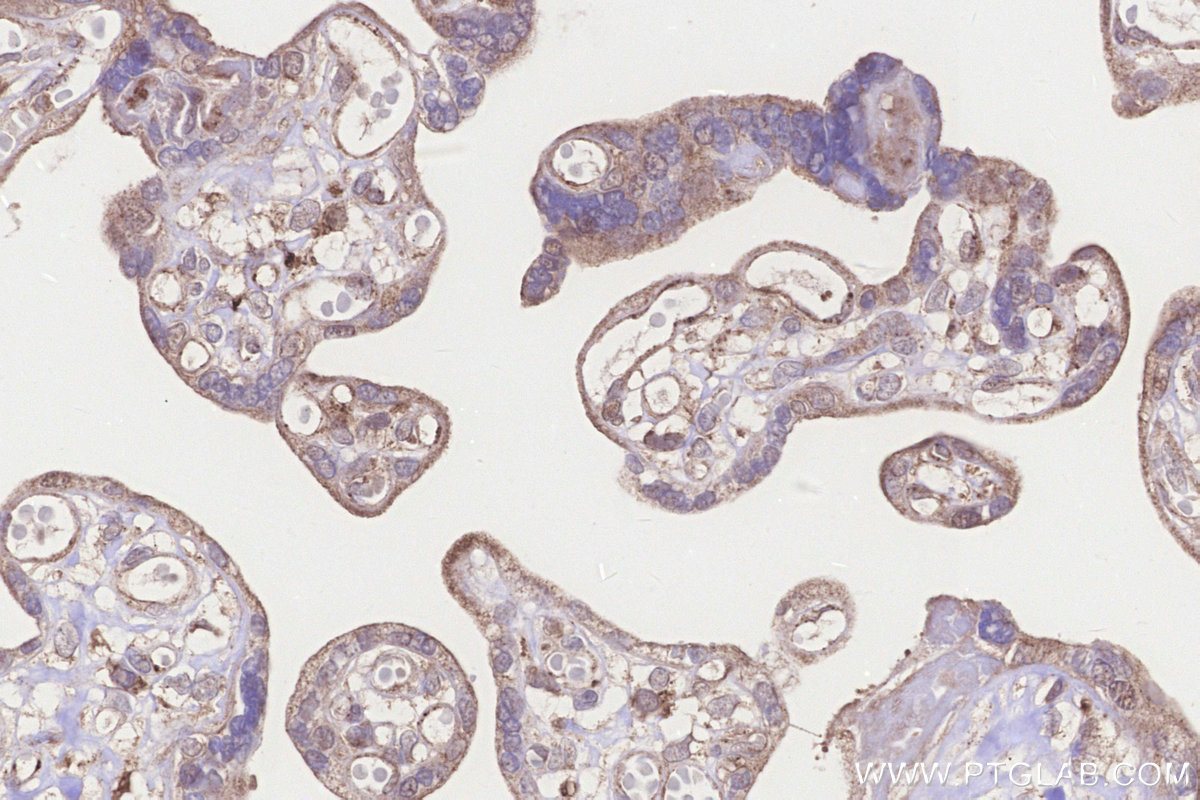
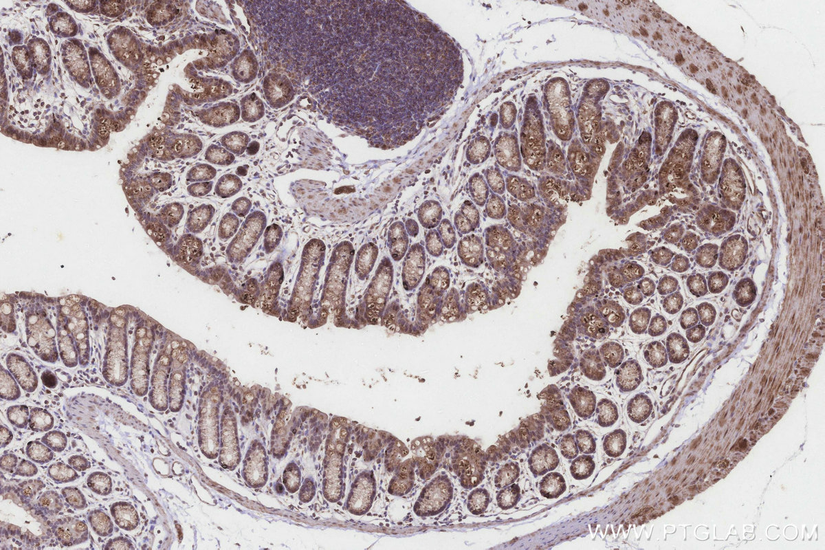
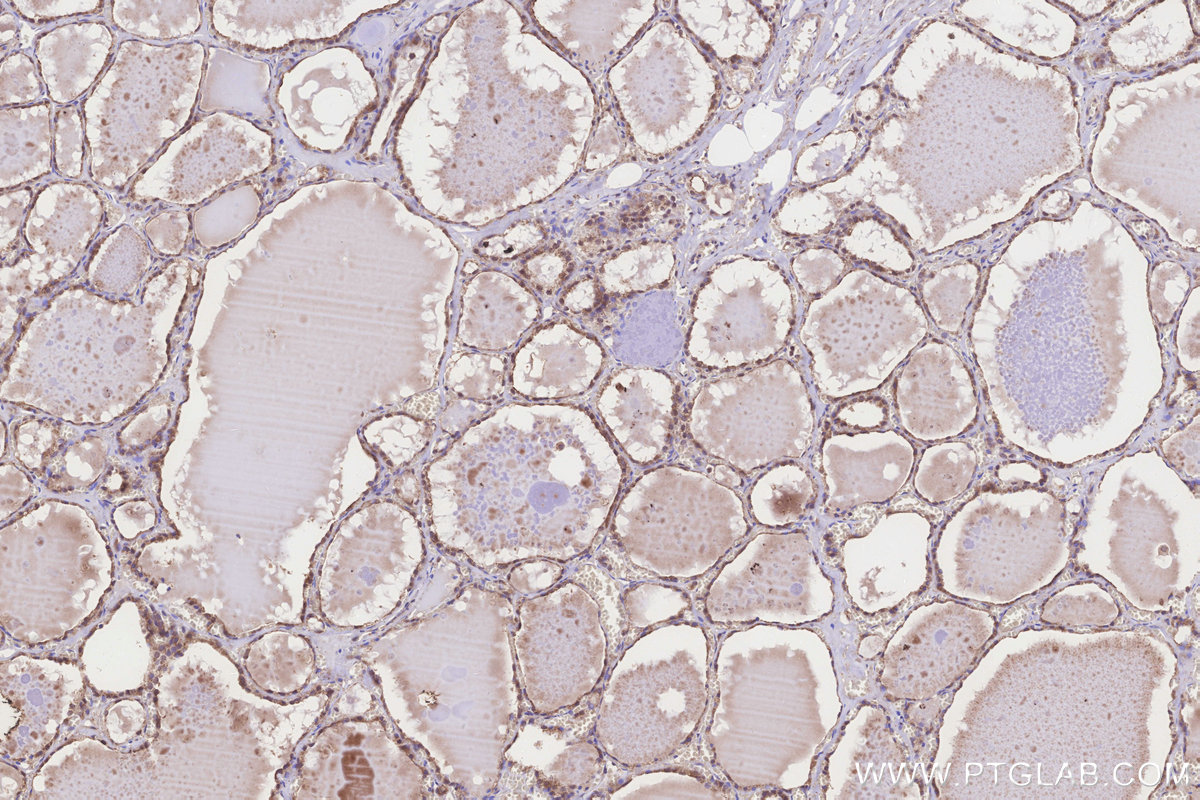
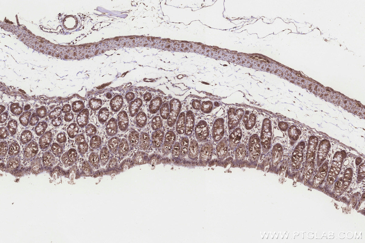
Human, Mouse, Rat
Sample Type
FFPE tissue
Cat no : KHC3253
Synonyms
MLN 64, MLN64, StARD3, CAB1, es64
Validation Data Gallery
Product Information
KHC3253 is a ready-to-use IHC kit for staining of STARD3/MLN64. The kit provides all reagents, from antigen retrieval to cover slip mounting, that require little to no diluting or handling prior to use. Simply apply the reagents to your sample slide according to the protocol and you're steps away from obtaining high-quality IHC data.
| Product name | IHCeasy® STARD3/MLN64 Ready-To-Use IHC Kit |
| Sample type | FFPE tissue |
| Assay type | Immunohistochemistry |
| Primary antibody type | Rabbit Polyclonal |
| Secondary antibody type | Polymer-HRP-Goat anti-Rabbit |
| Reactivity | Human, Mouse, Rat |
Kit components
| Component | Size | Concentration |
|---|---|---|
| Antigen Retrieval Buffer | 100 mL | 50× |
| Washing Buffer | 100 mL ×2 | 20× |
| Blocking Buffer | 5 mL | RTU |
| Primary Antibody | 5 mL | RTU |
| Secondary Antibody | 5 mL | RTU |
| Chromogen Component A | 0.2 mL | RTU |
| Chromogen Component B | 4 mL | RTU |
| Signal Enhancer | 5 mL | RTU |
| Counter Staining Reagent | 5 mL | RTU |
| Mounting Media | 5 mL | RTU |
| Datasheet | 1 Copy | |
| Manual | 1 Copy |
Background Information
MLN64 (also known as STARD3) is an integral membrane protein anchored in late endosomes. MLN64 has a StAR-related lipid-transfer (START) domain to bind cholesterol, mediating intracellular cholesterol transfer. MLN64 is widely expressed in multiple tissues including liver, spleen, heart, kidney, lung, and the brain. Higher expression of MLN64 has been found in several malignancies.
Properties
| Storage Instructions | All the reagents are stored at 2-8°C. The kit is stable for 6 months from the date of receipt. |
| Synonyms | MLN 64, MLN64, StARD3, CAB1, es64 |







