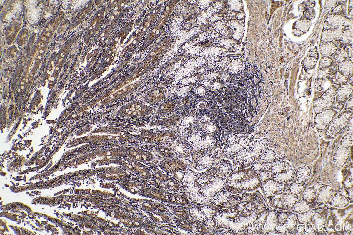
IHCeasy® ST6GAL1 Ready-To-Use IHC Kit
ST6GAL1 Ready-to-use reagent kit for IHC.
Reactivity
Human
Sample Type
FFPE tissue
Cat no : KHC0642
Synonyms
Alpha 2,6 ST 1, B cell antigen CD75, CD75, Sialyltransferase 1, SIAT1, ST6Gal I, ST6GAL1, ST6GalI, ST6N
Validation Data Gallery
Product Information
KHC0642 is a ready-to-use IHC kit for staining of ST6GAL1. The kit provides all reagents, from antigen retrieval to cover slip mounting, that require little to no diluting or handling prior to use. Simply apply the reagents to your sample slide according to the protocol and you're steps away from obtaining high-quality IHC data.
| Product name | IHCeasy ST6GAL1 Ready-To-Use IHC Kit |
| Sample type | FFPE tissue |
| Assay type | Immunohistochemistry |
| Primary antibody type | Rabbit Polyclonal |
| Secondary antibody type | Polymer-HRP-Goat anti-Rabbit |
| Reactivity | Human |
Kit components
| Component | Size | Concentration |
|---|---|---|
| Antigen Retrieval Buffer | 100 mL | 50× |
| Washing Buffer | 100 mL ×2 | 20× |
| Blocking Buffer | 5 mL | RTU |
| Primary Antibody | 5 mL | RTU |
| Secondary Antibody | 5 mL | RTU |
| Chromogen Component A | 0.2 mL | RTU |
| Chromogen Component B | 4 mL | RTU |
| Signal Enhancer | 5 mL | RTU |
| Counter Staining Reagent | 5 mL | RTU |
| Mounting Media | 5 mL | RTU |
| Datasheet | 1 Copy | |
| Manual | 1 Copy |
Background Information
ST6GAL1 (β-galactoside α-2-6 sialyl transferase1; also known as ST6N or CD75) is a sialyltransferase mediating the glycosylation of proteins and lipids to form functionally important glycoproteins and glycolipids in the Golgi compartment. It is principally expressed in liver, placenta and skeletal muscle. ST6GAL1 undergoes proteolytic process to generate soluble form from membrane form.
Properties
| Storage Instructions | All the reagents are stored at 2-8°C. The kit is stable for 6 months from the date of receipt. |
| Synonyms | Alpha 2,6 ST 1, B cell antigen CD75, CD75, Sialyltransferase 1, SIAT1, ST6Gal I, ST6GAL1, ST6GalI, ST6N |




