IHCeasy® SRSF9/SFRS9 Ready-To-Use IHC Kit
SRSF9/SFRS9 Ready-to-use reagent kit for IHC.
Reactivity
Human
Sample Type
FFPE tissue
Cat no : KHC1707
Synonyms
SFRS9, SRp30c, SRSF9
Validation Data Gallery
Product Information
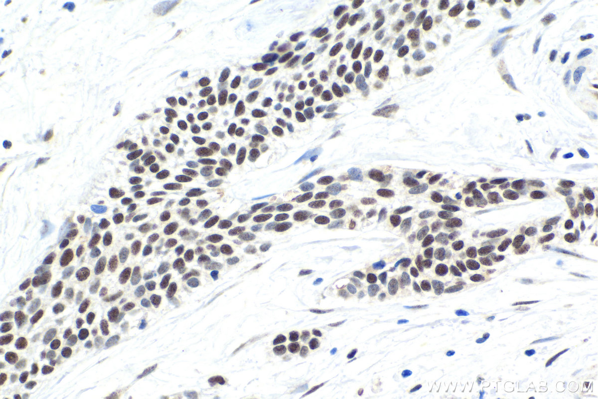
KHC1707 is a ready-to-use IHC kit for staining of SRSF9/SFRS9. The kit provides all reagents, from antigen retrieval to cover slip mounting, that require little to no diluting or handling prior to use. Simply apply the reagents to your sample slide according to the protocol and you're steps away from obtaining high-quality IHC data.
| Product name | IHCeasy SRSF9/SFRS9 Ready-To-Use IHC Kit |
| Sample type | FFPE tissue |
| Assay type | Immunohistochemistry |
| Primary antibody type | Rabbit Polyclonal |
| Secondary antibody type | Polymer-HRP-Goat anti-Rabbit |
| Reactivity | Human |
Kit components
| Component | Size | Concentration |
|---|---|---|
| Antigen Retrieval Buffer | 100 mL | 50× |
| Washing Buffer | 100 mL ×2 | 20× |
| Blocking Buffer | 5 mL | RTU |
| Primary Antibody | 5 mL | RTU |
| Secondary Antibody | 5 mL | RTU |
| Chromogen Component A | 0.2 mL | RTU |
| Chromogen Component B | 4 mL | RTU |
| Signal Enhancer | 5 mL | RTU |
| Counter Staining Reagent | 5 mL | RTU |
| Mounting Media | 5 mL | RTU |
| Datasheet | 1 Copy | |
| Manual | 1 Copy |
Background Information
SFRS9 is a member of the serine/arginine (SR) splicing factor family, which contains an N-terminal RNA recognition motif (RRM), a glycine-rich region, an internal region homologous to the RRM, and a long (315-amino-acid) C-terminal domain composed predominantly of alternating serine and arginine residues. SRSF9 has been linked to the occurrence and progression of hepatocellular carcinoma (HCC), colorectal cancer (CRC) and oral squamous cell carcinoma (OSCC). In HCC and CRC, the knockdown of SRSF9 inhibited the proliferation and migration of cancer cells, cell cycle progression and colony formation of cancer cells.
Properties
| Storage Instructions | All the reagents are stored at 2-8°C. The kit is stable for 6 months from the date of receipt. |
| Synonyms | SFRS9, SRp30c, SRSF9 |


