IHCeasy® SPTLC2 Ready-To-Use IHC Kit
SPTLC2 Ready-to-use reagent kit for IHC.
Reactivity
Human, Mouse, Rat
Sample Type
FFPE tissue
Cat no : KHC3138
Synonyms
EC:2.3.1.50, KIAA0526, LCB 2, LCB2, LCB2a
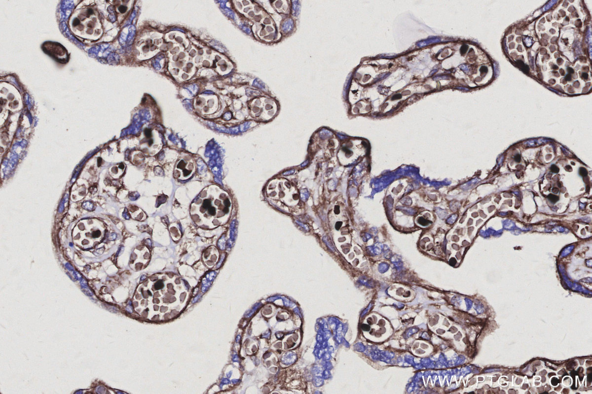
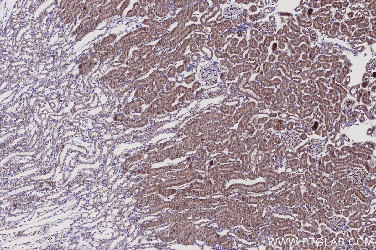
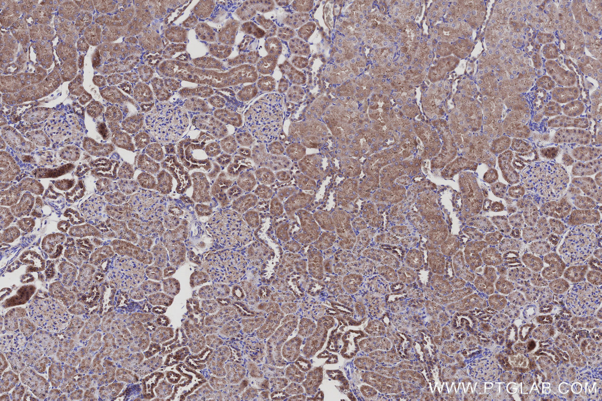
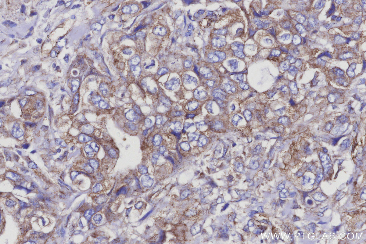
Validation Data Gallery
Product Information
KHC3138 is a ready-to-use IHC kit for staining of SPTLC2. The kit provides all reagents, from antigen retrieval to cover slip mounting, that require little to no diluting or handling prior to use. Simply apply the reagents to your sample slide according to the protocol and you're steps away from obtaining high-quality IHC data.
| Product name | IHCeasy® SPTLC2 Ready-To-Use IHC Kit |
| Sample type | FFPE tissue |
| Assay type | Immunohistochemistry |
| Primary antibody type | Mouse Monoclonal |
| Secondary antibody type | Polymer-HRP-Goat anti-Mouse |
| Reactivity | Human, Mouse, Rat |
Kit components
| Component | Size | Concentration |
|---|---|---|
| Antigen Retrieval Buffer | 100 mL | 50× |
| Washing Buffer | 100 mL ×2 | 20× |
| Blocking Buffer | 5 mL | RTU |
| Primary Antibody | 5 mL | RTU |
| Secondary Antibody | 5 mL | RTU |
| Chromogen Component A | 0.2 mL | RTU |
| Chromogen Component B | 4 mL | RTU |
| Signal Enhancer | 5 mL | RTU |
| Counter Staining Reagent | 5 mL | RTU |
| Mounting Media | 5 mL | RTU |
| Datasheet | 1 Copy | |
| Manual | 1 Copy |
Background Information
Serine palmitoyltransferase long chain base subunit 2 (SPTLC2) is one of the subunits of the heterodimeric molecule Serine palmitoyltransferase (SPT). Sptlc2 deficiency not only affected T cell sphingolipid anabolism but also led to prolonged activation of the mechanistic target of rapamycin complex 1.
Properties
| Storage Instructions | All the reagents are stored at 2-8°C. The kit is stable for 6 months from the date of receipt. |
| Synonyms | EC:2.3.1.50, KIAA0526, LCB 2, LCB2, LCB2a |




