IHCeasy® SPI1 Ready-To-Use IHC Kit
SPI1 Ready-to-use reagent kit for IHC.
Reactivity
Human, Mouse
Sample Type
FFPE tissue
Cat no : KHC1149
Synonyms
31 kDa transforming protein, OF, PU.1, SFPI1, SPI 1, SPI A, SPI1, Transcription factor PU.1
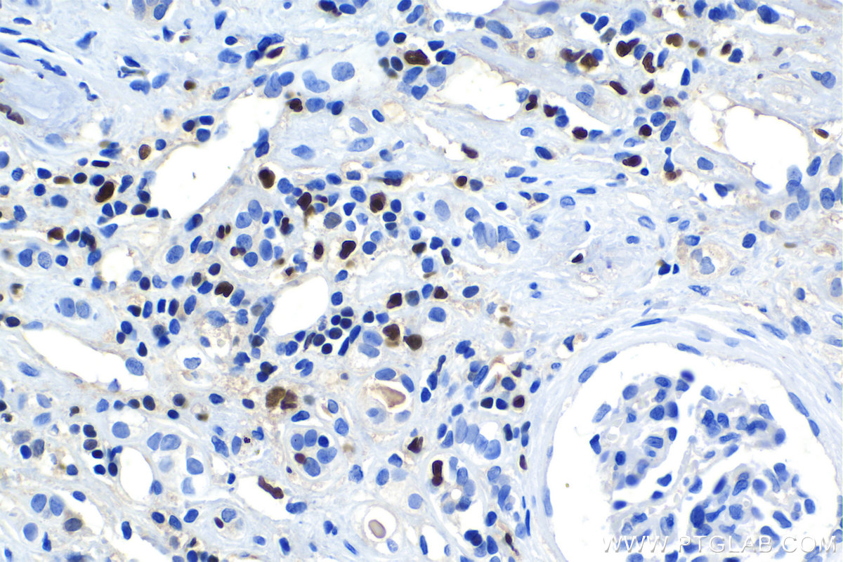
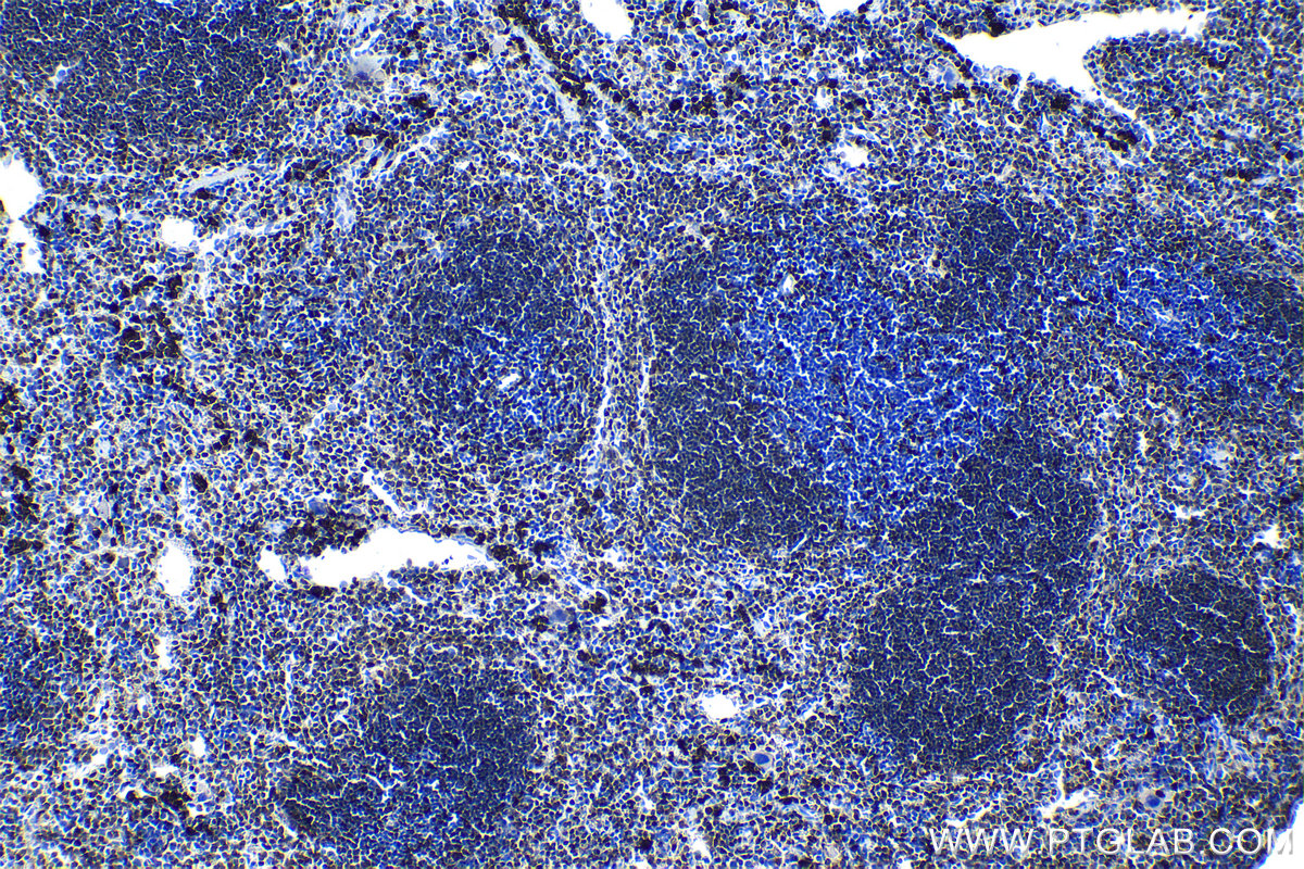
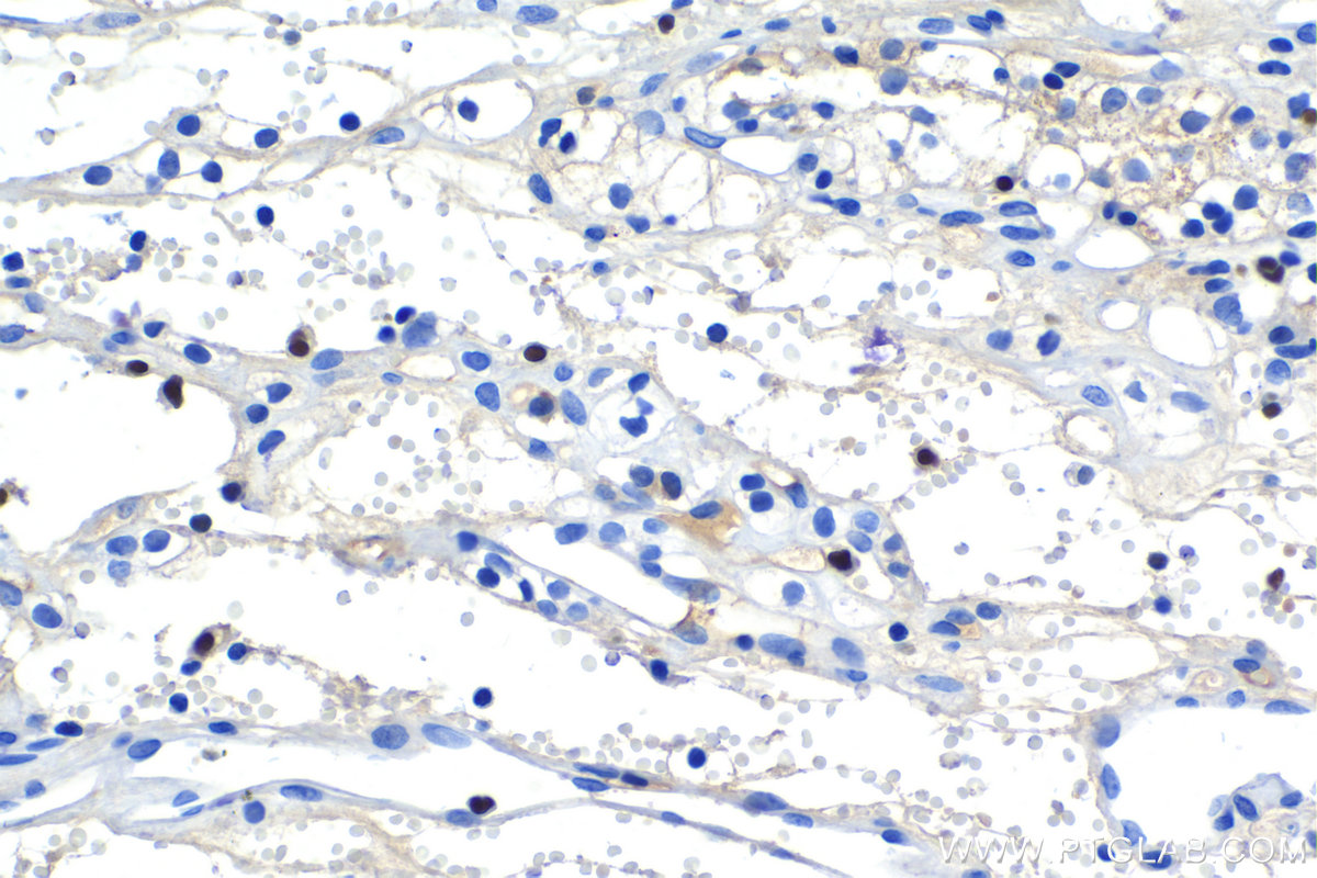
Validation Data Gallery
Product Information
KHC1149 is a ready-to-use IHC kit for staining of SPI1. The kit provides all reagents, from antigen retrieval to cover slip mounting, that require little to no diluting or handling prior to use. Simply apply the reagents to your sample slide according to the protocol and you're steps away from obtaining high-quality IHC data.
| Product name | IHCeasy SPI1 Ready-To-Use IHC Kit |
| Sample type | FFPE tissue |
| Assay type | Immunohistochemistry |
| Primary antibody type | Mouse Monoclonal |
| Secondary antibody type | Polymer-HRP-Goat anti-Mouse |
| Reactivity | Human, Mouse |
Kit components
| Component | Size | Concentration |
|---|---|---|
| Antigen Retrieval Buffer | 100 mL | 50× |
| Washing Buffer | 100 mL ×2 | 20× |
| Blocking Buffer | 5 mL | RTU |
| Primary Antibody | 5 mL | RTU |
| Secondary Antibody | 5 mL | RTU |
| Chromogen Component A | 0.2 mL | RTU |
| Chromogen Component B | 4 mL | RTU |
| Signal Enhancer | 5 mL | RTU |
| Counter Staining Reagent | 5 mL | RTU |
| Mounting Media | 5 mL | RTU |
| Datasheet | 1 Copy | |
| Manual | 1 Copy |
Background Information
SPI1, also named as 31 kDa-transforming protein, is a 270 amino acid protein, which belongs to the ETS family. SPI1 is highly expressed in both FV-P and FV-A-induced erythro-leukemia cell lines that have undergone rearrangements of the SPI1 gene due to the insertion of SFFV.
Properties
| Storage Instructions | All the reagents are stored at 2-8°C. The kit is stable for 6 months from the date of receipt. |
| Synonyms | 31 kDa transforming protein, OF, PU.1, SFPI1, SPI 1, SPI A, SPI1, Transcription factor PU.1 |






