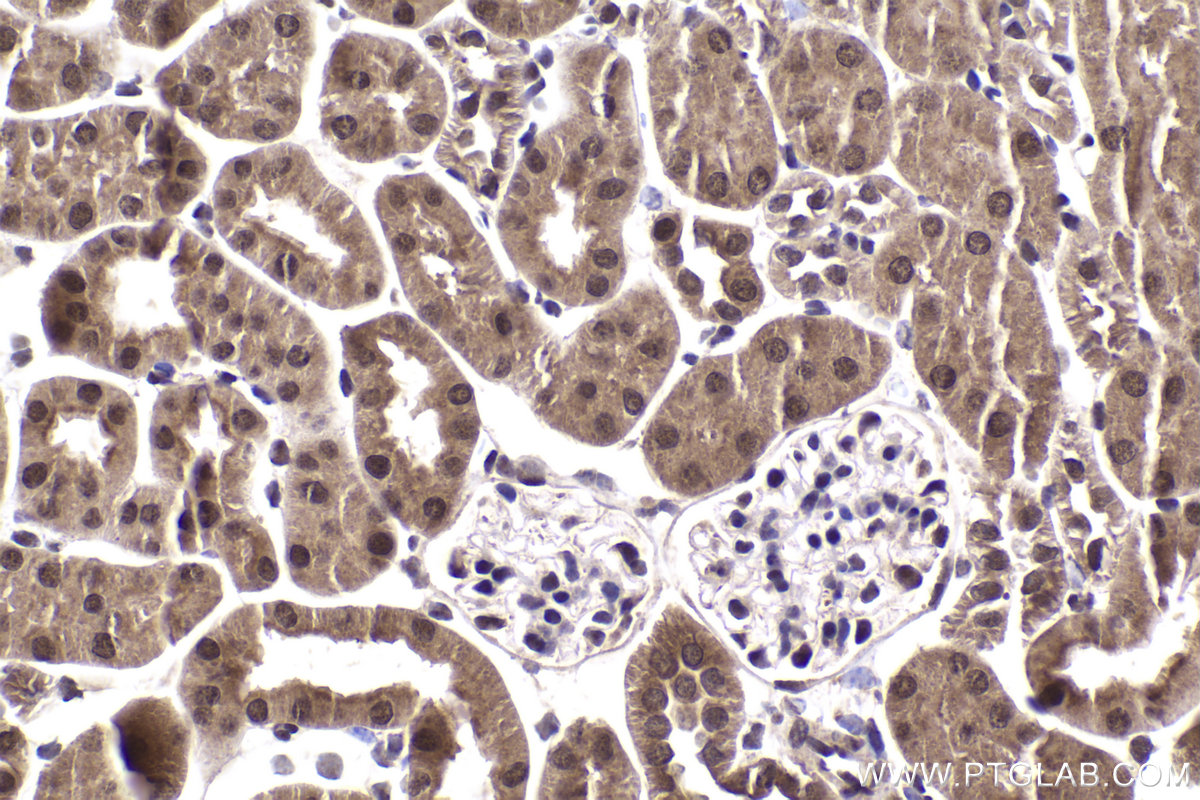
IHCeasy® SOX13 Ready-To-Use IHC Kit
SOX13 Ready-to-use reagent kit for IHC.
Reactivity
Human, Mouse, Rat
Sample Type
FFPE tissue
Cat no : KHC2002
Synonyms
Transcription factor SOX-13, SRY, Sox 13, Sex determining region Y, ICA12
Validation Data Gallery
Product Information
KHC2002 is a ready-to-use IHC kit for staining of SOX13. The kit provides all reagents, from antigen retrieval to cover slip mounting, that require little to no diluting or handling prior to use. Simply apply the reagents to your sample slide according to the protocol and you're steps away from obtaining high-quality IHC data.
| Product name | IHCeasy SOX13 Ready-To-Use IHC Kit |
| Sample type | FFPE tissue |
| Assay type | Immunohistochemistry |
| Primary antibody type | Rabbit Polyclonal |
| Secondary antibody type | Polymer-HRP-Goat anti-Rabbit |
| Reactivity | Human, Mouse, Rat |
Kit components
| Component | Size | Concentration |
|---|---|---|
| Antigen Retrieval Buffer | 100 mL | 50× |
| Washing Buffer | 100 mL ×2 | 20× |
| Blocking Buffer | 5 mL | RTU |
| Primary Antibody | 5 mL | RTU |
| Secondary Antibody | 5 mL | RTU |
| Chromogen Component A | 0.2 mL | RTU |
| Chromogen Component B | 4 mL | RTU |
| Signal Enhancer | 5 mL | RTU |
| Counter Staining Reagent | 5 mL | RTU |
| Mounting Media | 5 mL | RTU |
| Datasheet | 1 Copy | |
| Manual | 1 Copy |
Background Information
SRY-BOX 13(SOX13), identified a sequence homologous more than 60% to the SRY HMG box ,with a centrally located HMG box and an N-terminal leucine zipper motif with a neighboring glutamine stretch called a Q box. SOX13 binds to the consensus HMG-box motif. It's an IDDM-specific human autoantigen, and a gamma-delta-specific gene in the immune system. It can modulates Wnt/TCF activity.
Properties
| Storage Instructions | All the reagents are stored at 2-8°C. The kit is stable for 6 months from the date of receipt. |
| Synonyms | Transcription factor SOX-13, SRY, Sox 13, Sex determining region Y, ICA12 |






