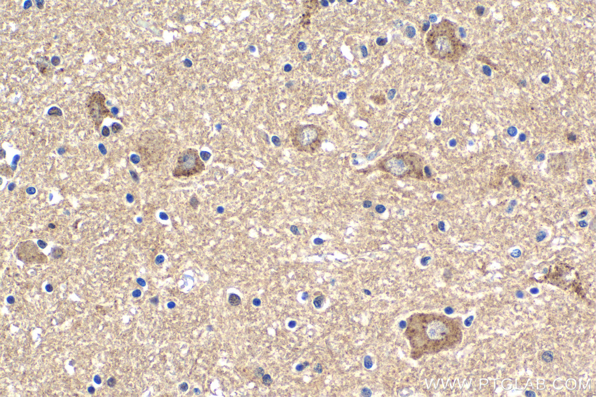
IHCeasy® SORL1 Ready-To-Use IHC Kit
SORL1 Ready-to-use reagent kit for IHC.
Reactivity
Human, Mouse, Rat
Sample Type
FFPE tissue
Cat no : KHC1849
Synonyms
C11orf32, gp250, LR11, LRP9, SORL1, SORLA, SorLA 1, Sortilin related receptor
Validation Data Gallery
Product Information
KHC1849 is a ready-to-use IHC kit for staining of SORL1. The kit provides all reagents, from antigen retrieval to cover slip mounting, that require little to no diluting or handling prior to use. Simply apply the reagents to your sample slide according to the protocol and you're steps away from obtaining high-quality IHC data.
| Product name | IHCeasy SORL1 Ready-To-Use IHC Kit |
| Sample type | FFPE tissue |
| Assay type | Immunohistochemistry |
| Primary antibody type | Rabbit Polyclonal |
| Secondary antibody type | Polymer-HRP-Goat anti-Rabbit |
| Reactivity | Human, Mouse, Rat |
Kit components
| Component | Size | Concentration |
|---|---|---|
| Antigen Retrieval Buffer | 100 mL | 50× |
| Washing Buffer | 100 mL ×2 | 20× |
| Blocking Buffer | 5 mL | RTU |
| Primary Antibody | 5 mL | RTU |
| Secondary Antibody | 5 mL | RTU |
| Chromogen Component A | 0.2 mL | RTU |
| Chromogen Component B | 4 mL | RTU |
| Signal Enhancer | 5 mL | RTU |
| Counter Staining Reagent | 5 mL | RTU |
| Mounting Media | 5 mL | RTU |
| Datasheet | 1 Copy | |
| Manual | 1 Copy |
Background Information
SorLA also known as SorL1 or LR11, is a multiligand receptor belonging to the LDL receptor superfamily. It is also a member of vacuolar protein sorting-10 (Vps10) family and is enriched in the brain. SorLA acts as an sorting receptor for APP and prevents amyloidogenic processing of APP. Downregulation of SorLA has been found in patients with sporadic Alzheimer disease (AD). Currently SorLA has emerged as a potential target for AD therapy.
Properties
| Storage Instructions | All the reagents are stored at 2-8°C. The kit is stable for 6 months from the date of receipt. |
| Synonyms | C11orf32, gp250, LR11, LRP9, SORL1, SORLA, SorLA 1, Sortilin related receptor |






