IHCeasy® SNX9 Ready-To-Use IHC Kit
SNX9 Ready-to-use reagent kit for IHC.
Reactivity
Human, Mouse, Rat
Sample Type
FFPE tissue
Cat no : KHC3084
Synonyms
SH3PX1, Protein SDP1, SDP1, SH3 and PX domain-containing protein 1, SH3 and PX domain-containing protein 3A
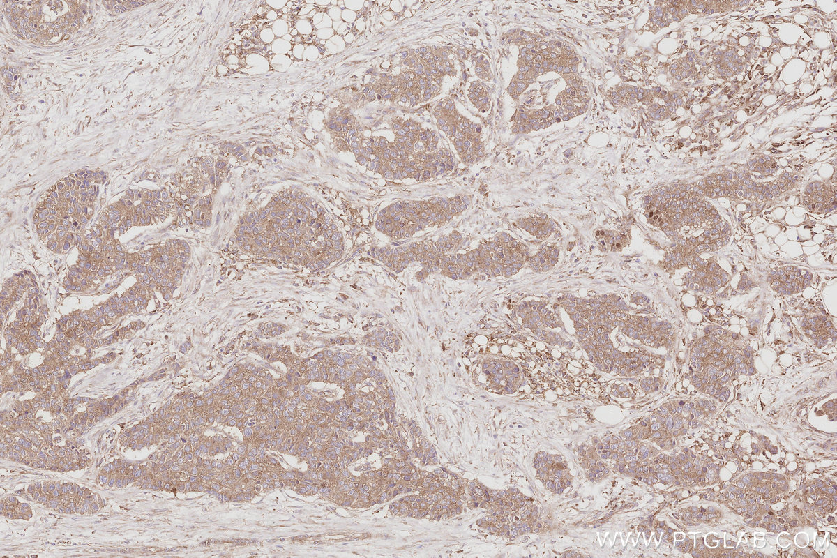
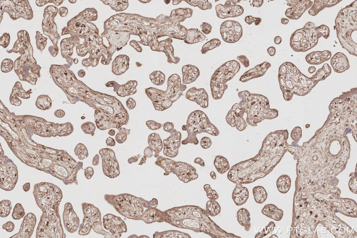
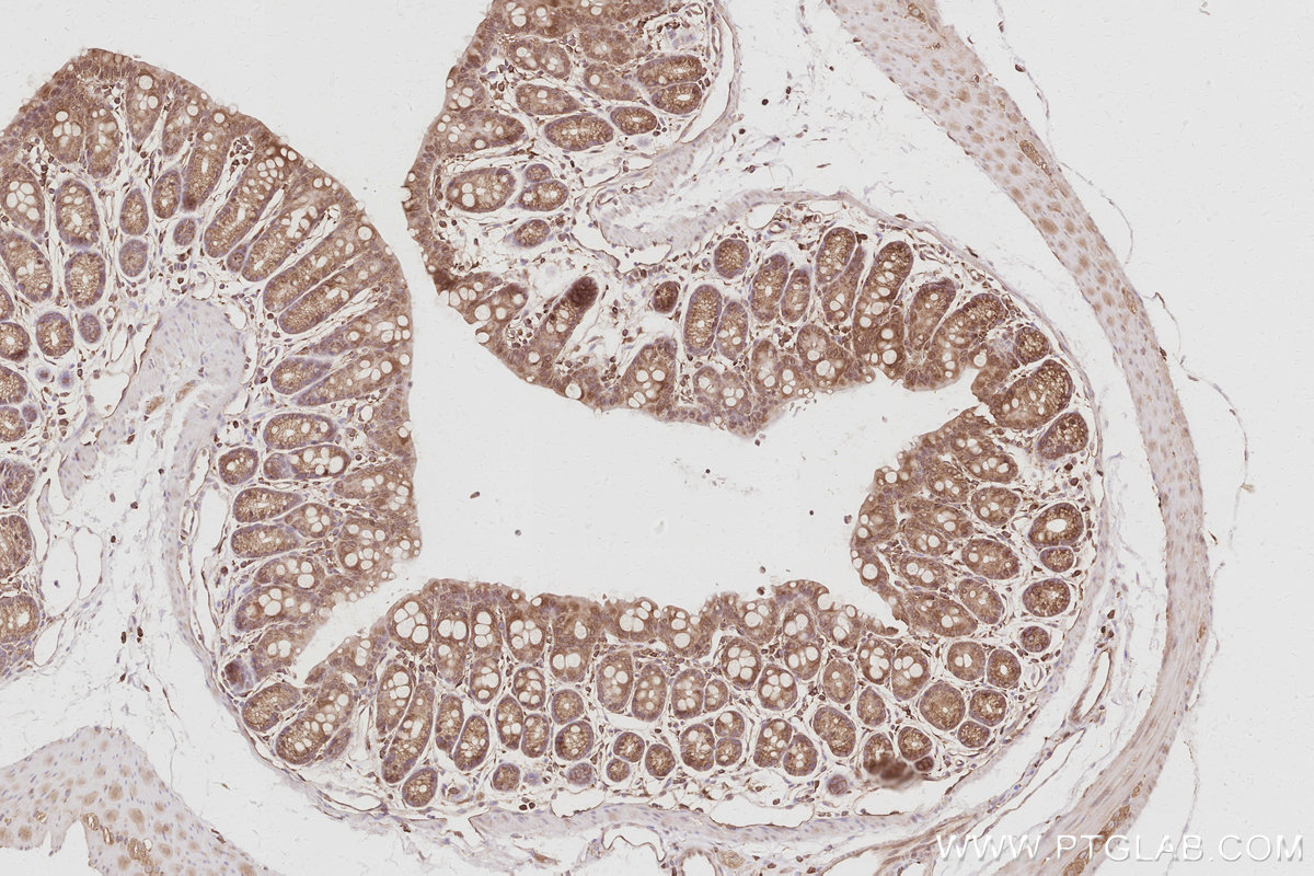
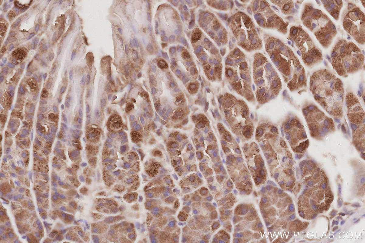
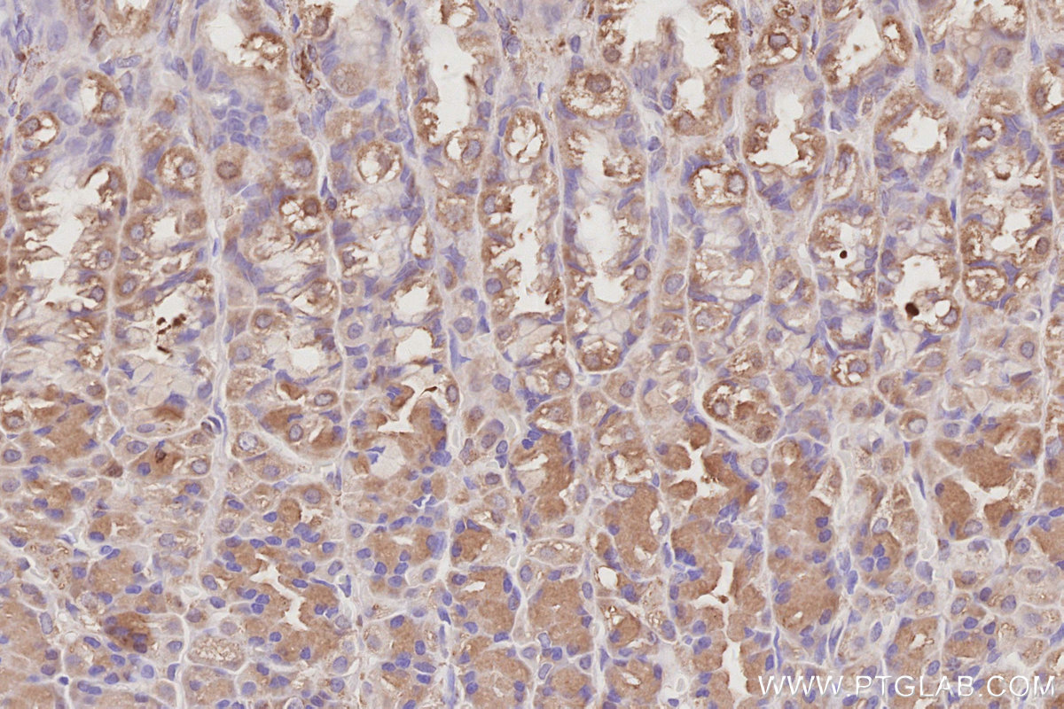
Validation Data Gallery
Product Information
KHC3084 is a ready-to-use IHC kit for staining of SNX9. The kit provides all reagents, from antigen retrieval to cover slip mounting, that require little to no diluting or handling prior to use. Simply apply the reagents to your sample slide according to the protocol and you're steps away from obtaining high-quality IHC data.
| Product name | IHCeasy® SNX9 Ready-To-Use IHC Kit |
| Sample type | FFPE tissue |
| Assay type | Immunohistochemistry |
| Primary antibody type | Rabbit Polyclonal |
| Secondary antibody type | Polymer-HRP-Goat anti-Rabbit |
| Reactivity | Human, Mouse, Rat |
Kit components
| Component | Size | Concentration |
|---|---|---|
| Antigen Retrieval Buffer | 100 mL | 50× |
| Washing Buffer | 100 mL ×2 | 20× |
| Blocking Buffer | 5 mL | RTU |
| Primary Antibody | 5 mL | RTU |
| Secondary Antibody | 5 mL | RTU |
| Chromogen Component A | 0.2 mL | RTU |
| Chromogen Component B | 4 mL | RTU |
| Signal Enhancer | 5 mL | RTU |
| Counter Staining Reagent | 5 mL | RTU |
| Mounting Media | 5 mL | RTU |
| Datasheet | 1 Copy | |
| Manual | 1 Copy |
Background Information
Sorting nexins are a diverse group of cytoplasmic and membrane-associated proteins that are classified by the presence of a phospholipid-binding motif-the PX domain. They are involved in endocytosis and protein trafficking. SNX9 (Sorting nexin-9, also known as SH3PX1) was originally identified as a protein that interacted with the metalloproteinases ADAM9 and ADAM15. It contains a PX and an Sec homology 3 (SH3) domain. SNX9 functions in clathrin-mediated endocytosis and clathrin-independent, actin-dependent fluid-phase endocytosis.
Properties
| Storage Instructions | All the reagents are stored at 2-8°C. The kit is stable for 6 months from the date of receipt. |
| Synonyms | SH3PX1, Protein SDP1, SDP1, SH3 and PX domain-containing protein 1, SH3 and PX domain-containing protein 3A |





