IHCeasy® SND1 Ready-To-Use IHC Kit
SND1 Ready-to-use reagent kit for IHC.
Reactivity
Human
Sample Type
FFPE tissue
Cat no : KHC0954
Synonyms
100 kDa coactivator, EBNA2 coactivator p100, p100, p100 co activator, SND1, TDRD11
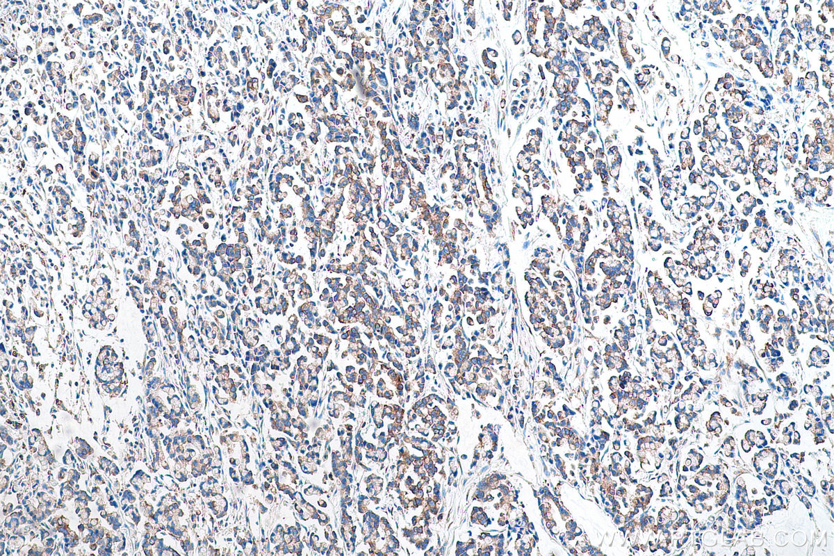
Validation Data Gallery
Product Information
KHC0954 is a ready-to-use IHC kit for staining of SND1. The kit provides all reagents, from antigen retrieval to cover slip mounting, that require little to no diluting or handling prior to use. Simply apply the reagents to your sample slide according to the protocol and you're steps away from obtaining high-quality IHC data.
| Product name | IHCeasy SND1 Ready-To-Use IHC Kit |
| Sample type | FFPE tissue |
| Assay type | Immunohistochemistry |
| Primary antibody type | Mouse Monoclonal |
| Secondary antibody type | Polymer-HRP-Goat anti-Mouse |
| Reactivity | Human |
Kit components
| Component | Size | Concentration |
|---|---|---|
| Antigen Retrieval Buffer | 100 mL | 50× |
| Washing Buffer | 100 mL ×2 | 20× |
| Blocking Buffer | 5 mL | RTU |
| Primary Antibody | 5 mL | RTU |
| Secondary Antibody | 5 mL | RTU |
| Chromogen Component A | 0.2 mL | RTU |
| Chromogen Component B | 4 mL | RTU |
| Signal Enhancer | 5 mL | RTU |
| Counter Staining Reagent | 5 mL | RTU |
| Mounting Media | 5 mL | RTU |
| Datasheet | 1 Copy | |
| Manual | 1 Copy |
Background Information
Staphylococcal nuclease domain-containing 1 (SND1), is a multifunctional nuclease that consists of four staphylococcal nuclease domains and a tudor domain. SND1 acts as a coactivator that facilitates transcriptional activity of STAT5, 6 and c-Myc. SND1 is a comprising part of the RNA-induced silencing complex(RISC), and takes part in the functions of miRNA, regulates transcription through transcriptional coactivation, RNA interference, RNA splicing, and RNA editing. Higher level of SND1 has been found in colon cancer and prostate cancer, can promote HCC angiogenesis in xenograft model through induction of angiogenic factors.
Properties
| Storage Instructions | All the reagents are stored at 2-8°C. The kit is stable for 6 months from the date of receipt. |
| Synonyms | 100 kDa coactivator, EBNA2 coactivator p100, p100, p100 co activator, SND1, TDRD11 |




