IHCeasy® SMU1 Ready-To-Use IHC Kit
SMU1 Ready-to-use reagent kit for IHC.
Reactivity
Human, Mouse, Rat
Sample Type
FFPE tissue
Cat no : KHC1313
Synonyms
BWD, fSAP57, RP11 54K16.3, SMU 1, SMU1
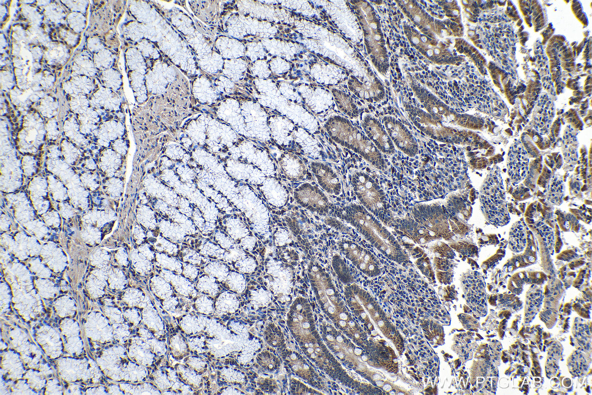
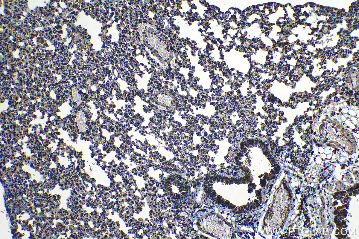
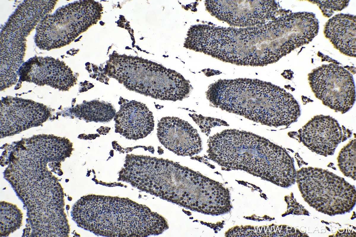
Validation Data Gallery
Product Information
KHC1313 is a ready-to-use IHC kit for staining of SMU1. The kit provides all reagents, from antigen retrieval to cover slip mounting, that require little to no diluting or handling prior to use. Simply apply the reagents to your sample slide according to the protocol and you're steps away from obtaining high-quality IHC data.
| Product name | IHCeasy SMU1 Ready-To-Use IHC Kit |
| Sample type | FFPE tissue |
| Assay type | Immunohistochemistry |
| Primary antibody type | Rabbit Polyclonal |
| Secondary antibody type | Polymer-HRP-Goat anti-Rabbit |
| Reactivity | Human, Mouse, Rat |
Kit components
| Component | Size | Concentration |
|---|---|---|
| Antigen Retrieval Buffer | 100 mL | 50× |
| Washing Buffer | 100 mL ×2 | 20× |
| Blocking Buffer | 5 mL | RTU |
| Primary Antibody | 5 mL | RTU |
| Secondary Antibody | 5 mL | RTU |
| Chromogen Component A | 0.2 mL | RTU |
| Chromogen Component B | 4 mL | RTU |
| Signal Enhancer | 5 mL | RTU |
| Counter Staining Reagent | 5 mL | RTU |
| Mounting Media | 5 mL | RTU |
| Datasheet | 1 Copy | |
| Manual | 1 Copy |
Background Information
Sum1, belongs to the WD repeat SMU1 family. Human SMU1 is a component of the spliceosome fSAP57. It is possible that the mutation in Smu1 affects spliceosome function, resulting in generation of improper splice variants, which could explain the phenotypes of tsTM18 cells. Some results suggest that Smu1 participates in at least two steps of splicing: splice-site choice and control of accuracy.
Properties
| Storage Instructions | All the reagents are stored at 2-8°C. The kit is stable for 6 months from the date of receipt. |
| Synonyms | BWD, fSAP57, RP11 54K16.3, SMU 1, SMU1 |






