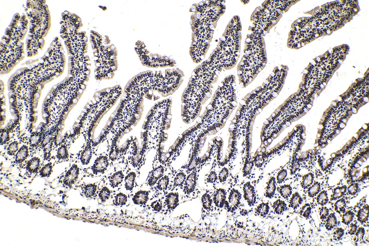
IHCeasy® SMARCC1 Ready-To-Use IHC Kit
SMARCC1 Ready-to-use reagent kit for IHC.
Reactivity
Human, Mouse, Rat
Sample Type
FFPE tissue
Cat no : KHC1860
Synonyms
BAF155, BRG1 associated factor 155, CRACC1, Rsc8, SMARCC1, SRG3, SWI3
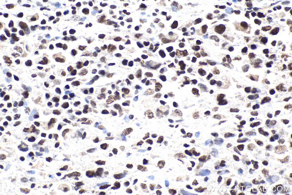
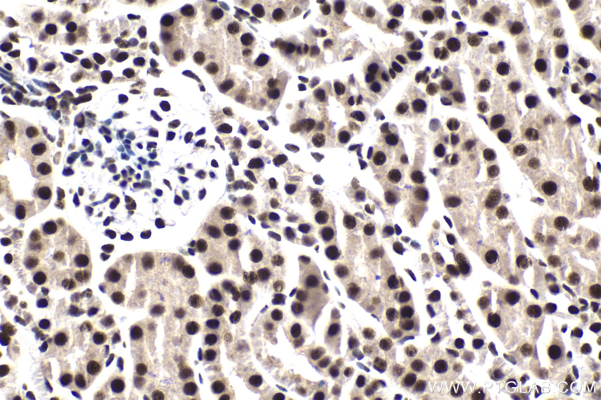
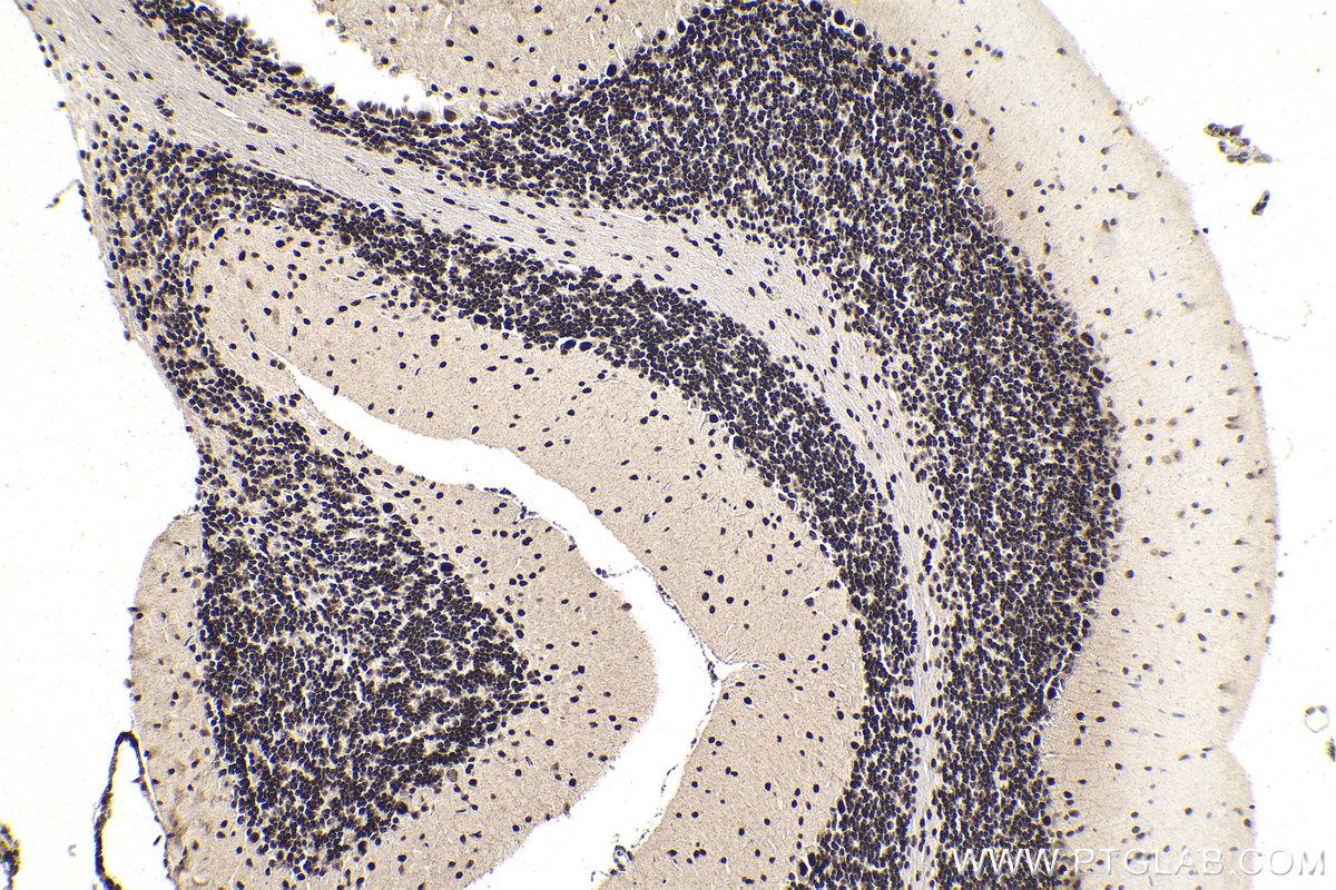
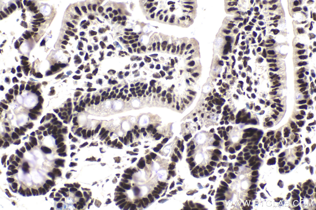
Validation Data Gallery
Product Information
KHC1860 is a ready-to-use IHC kit for staining of SMARCC1. The kit provides all reagents, from antigen retrieval to cover slip mounting, that require little to no diluting or handling prior to use. Simply apply the reagents to your sample slide according to the protocol and you're steps away from obtaining high-quality IHC data.
| Product name | IHCeasy SMARCC1 Ready-To-Use IHC Kit |
| Sample type | FFPE tissue |
| Assay type | Immunohistochemistry |
| Primary antibody type | Rabbit Polyclonal |
| Secondary antibody type | Polymer-HRP-Goat anti-Rabbit |
| Reactivity | Human, Mouse, Rat |
Kit components
| Component | Size | Concentration |
|---|---|---|
| Antigen Retrieval Buffer | 100 mL | 50× |
| Washing Buffer | 100 mL ×2 | 20× |
| Blocking Buffer | 5 mL | RTU |
| Primary Antibody | 5 mL | RTU |
| Secondary Antibody | 5 mL | RTU |
| Chromogen Component A | 0.2 mL | RTU |
| Chromogen Component B | 4 mL | RTU |
| Signal Enhancer | 5 mL | RTU |
| Counter Staining Reagent | 5 mL | RTU |
| Mounting Media | 5 mL | RTU |
| Datasheet | 1 Copy | |
| Manual | 1 Copy |
Background Information
SMARCC1, also named as SWI/SNF complex 155 kDa subunit or BAF155, is a 1105 amino acid protein, which belongs to the SMARCC family. SMARCC1 is expressed in brain, heart, muscle, placenta, lung, liver, muscle, kidney and pancreas. SMARCC1 is Involved in transcriptional activation and repression of select genes by chromatin remodeling. SMARCC1 may stimulate the ATPase activity of the catalytic subunit of the complex. SMARCC1 belongs to the neural progenitors-specific chromatin remodeling complex (npBAF complex) and the neuron-specific chromatin remodeling complex (nBAF complex).
Properties
| Storage Instructions | All the reagents are stored at 2-8°C. The kit is stable for 6 months from the date of receipt. |
| Synonyms | BAF155, BRG1 associated factor 155, CRACC1, Rsc8, SMARCC1, SRG3, SWI3 |








