IHCeasy® SMARCA5 Ready-To-Use IHC Kit
SMARCA5 Ready-to-use reagent kit for IHC.
Reactivity
Human, Mouse, Rat
Sample Type
FFPE tissue
Cat no : KHC1463
Synonyms
hISWI, hSNF2H, ISWI, SMARCA5, SNF2H, WCRF135
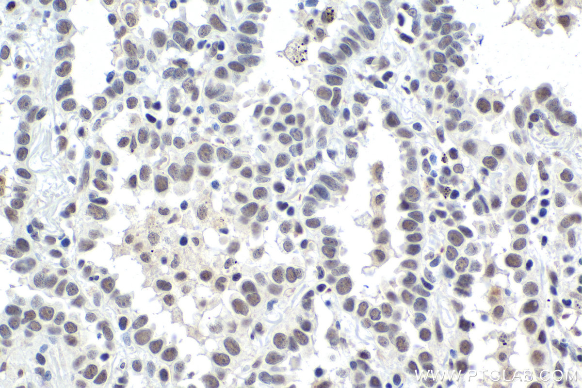
Validation Data Gallery
Product Information
KHC1463 is a ready-to-use IHC kit for staining of SMARCA5. The kit provides all reagents, from antigen retrieval to cover slip mounting, that require little to no diluting or handling prior to use. Simply apply the reagents to your sample slide according to the protocol and you're steps away from obtaining high-quality IHC data.
| Product name | IHCeasy SMARCA5 Ready-To-Use IHC Kit |
| Sample type | FFPE tissue |
| Assay type | Immunohistochemistry |
| Primary antibody type | Rabbit Polyclonal |
| Secondary antibody type | Polymer-HRP-Goat anti-Rabbit |
| Reactivity | Human, Mouse, Rat |
Kit components
| Component | Size | Concentration |
|---|---|---|
| Antigen Retrieval Buffer | 100 mL | 50× |
| Washing Buffer | 100 mL ×2 | 20× |
| Blocking Buffer | 5 mL | RTU |
| Primary Antibody | 5 mL | RTU |
| Secondary Antibody | 5 mL | RTU |
| Chromogen Component A | 0.2 mL | RTU |
| Chromogen Component B | 4 mL | RTU |
| Signal Enhancer | 5 mL | RTU |
| Counter Staining Reagent | 5 mL | RTU |
| Mounting Media | 5 mL | RTU |
| Datasheet | 1 Copy | |
| Manual | 1 Copy |
Background Information
SMARCA5, also named as SNF2H or WCRF135, is a 1052 amino acid protein, which localizes in nucleus and is overexpressed in CD34-positive erythrocyte progenitor cells in acute myeloid leukemia. SMARCA5 is one of the most conserved chromatin remodeling factors. It exists in a variety of oligosubunit complexes that move DNA with respect to the histone octamer to generate regularly spaced nucleosomal arrays. Smarca5 interacts with different accessory proteins and represents a molecular motor for DNA replication, repair, and transcription.
Properties
| Storage Instructions | All the reagents are stored at 2-8°C. The kit is stable for 6 months from the date of receipt. |
| Synonyms | hISWI, hSNF2H, ISWI, SMARCA5, SNF2H, WCRF135 |




