IHCeasy® SLC7A5 Ready-To-Use IHC Kit
SLC7A5 Ready-to-use reagent kit for IHC.
Reactivity
Human, Mouse, Rat
Sample Type
FFPE tissue
Cat no : KHC2384
Synonyms
LAT1, D16S469E, CD98LC, CD98 light chain, 4F2LC
Validation Data Gallery
Product Information
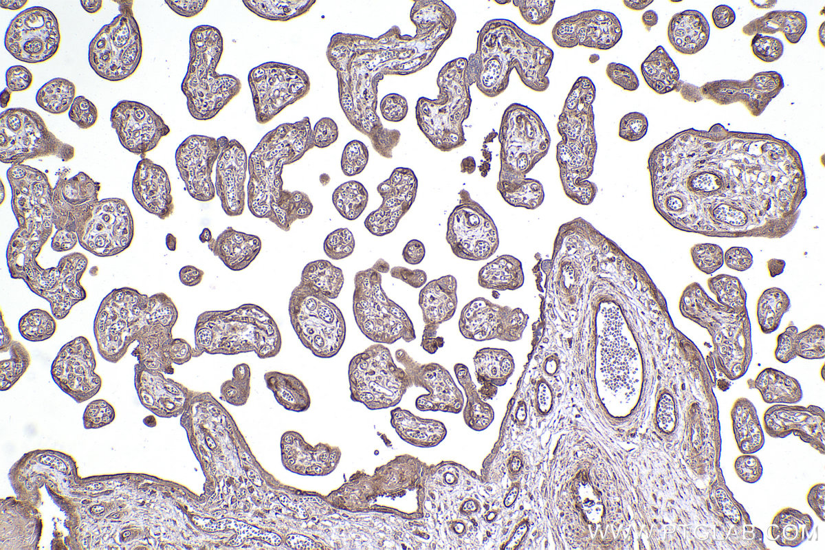
KHC2384 is a ready-to-use IHC kit for staining of SLC7A5. The kit provides all reagents, from antigen retrieval to cover slip mounting, that require little to no diluting or handling prior to use. Simply apply the reagents to your sample slide according to the protocol and you're steps away from obtaining high-quality IHC data.
| Product name | IHCeasy SLC7A5 Ready-To-Use IHC Kit |
| Sample type | FFPE tissue |
| Assay type | Immunohistochemistry |
| Primary antibody type | Mouse Monoclonal |
| Secondary antibody type | Polymer-HRP-Goat anti-Mouse |
| Reactivity | Human, Mouse, Rat |
Kit components
| Component | Size | Concentration |
|---|---|---|
| Antigen Retrieval Buffer | 100 mL | 50× |
| Washing Buffer | 100 mL ×2 | 20× |
| Blocking Buffer | 5 mL | RTU |
| Primary Antibody | 5 mL | RTU |
| Secondary Antibody | 5 mL | RTU |
| Chromogen Component A | 0.2 mL | RTU |
| Chromogen Component B | 4 mL | RTU |
| Signal Enhancer | 5 mL | RTU |
| Counter Staining Reagent | 5 mL | RTU |
| Mounting Media | 5 mL | RTU |
| Datasheet | 1 Copy | |
| Manual | 1 Copy |
Background Information
Large neutral amino acid transporter 1 LAT1(also named as SLC7A5) is a sodium- and pH-independent transporter that supplies essential amino acids (e.g., leucine, phenylalanine) to cells. It plays an important role in the blood-brain barrier (BBB), where it facilitates the transport of thyroid hormones, drugs (e.g., l-DOPA, gabapentin), and metabolites to the brain. In addition, its expression is highly upregulated in various types of human cancers, which are characterized by a high demand for amino acids for growth and proliferation.
Properties
| Storage Instructions | All the reagents are stored at 2-8°C. The kit is stable for 6 months from the date of receipt. |
| Synonyms | LAT1, D16S469E, CD98LC, CD98 light chain, 4F2LC |







