IHCeasy® SLC39A3 Ready-To-Use IHC Kit
SLC39A3 Ready-to-use reagent kit for IHC.
Reactivity
Human, Mouse, Rat
Sample Type
FFPE tissue
Cat no : KHC3114
Synonyms
Zinc transporter ZIP3, ZIP 3, ZIP3, ZIP-3, Zrt and Irt like protein 3
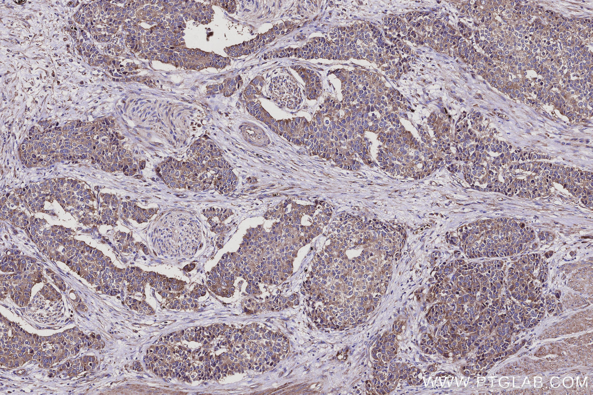
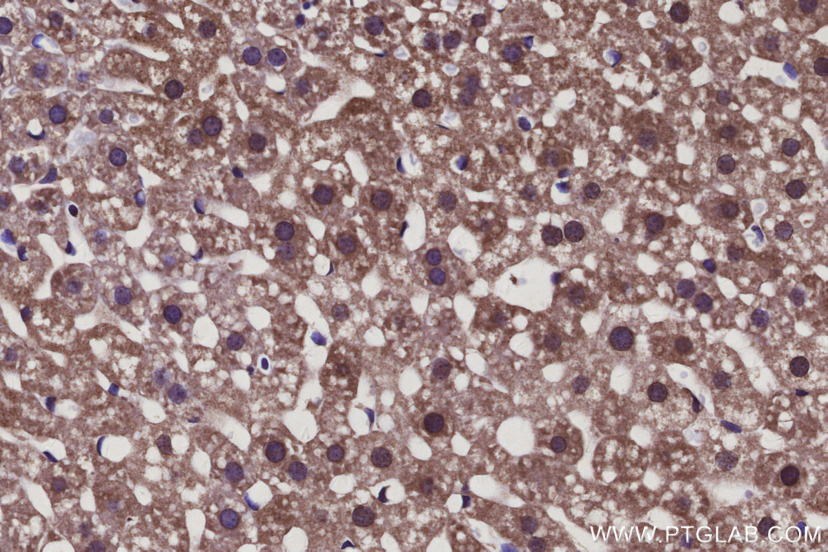
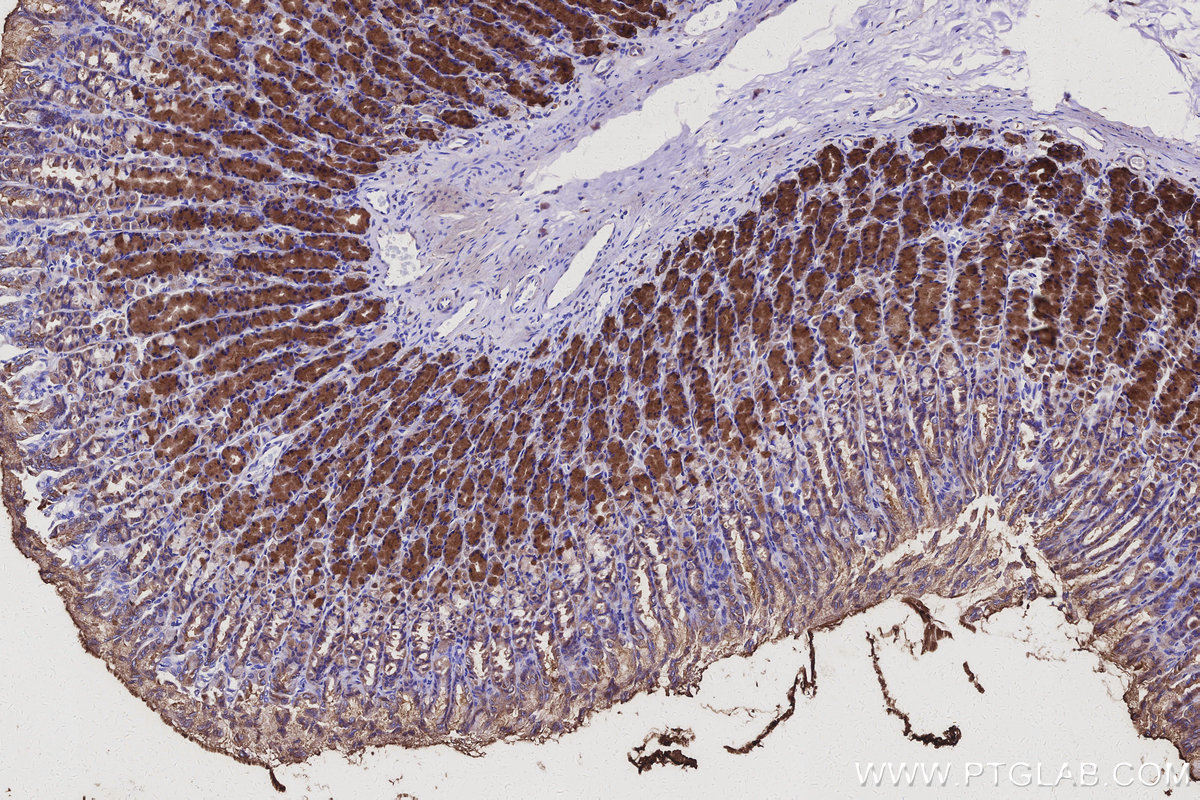
Validation Data Gallery
Product Information
KHC3114 is a ready-to-use IHC kit for staining of SLC39A3. The kit provides all reagents, from antigen retrieval to cover slip mounting, that require little to no diluting or handling prior to use. Simply apply the reagents to your sample slide according to the protocol and you're steps away from obtaining high-quality IHC data.
| Product name | IHCeasy® SLC39A3 Ready-To-Use IHC Kit |
| Sample type | FFPE tissue |
| Assay type | Immunohistochemistry |
| Primary antibody type | Rabbit Polyclonal |
| Secondary antibody type | Polymer-HRP-Goat anti-Rabbit |
| Reactivity | Human, Mouse, Rat |
Kit components
| Component | Size | Concentration |
|---|---|---|
| Antigen Retrieval Buffer | 100 mL | 50× |
| Washing Buffer | 100 mL ×2 | 20× |
| Blocking Buffer | 5 mL | RTU |
| Primary Antibody | 5 mL | RTU |
| Secondary Antibody | 5 mL | RTU |
| Chromogen Component A | 0.2 mL | RTU |
| Chromogen Component B | 4 mL | RTU |
| Signal Enhancer | 5 mL | RTU |
| Counter Staining Reagent | 5 mL | RTU |
| Mounting Media | 5 mL | RTU |
| Datasheet | 1 Copy | |
| Manual | 1 Copy |
Background Information
SLC39A3, also known as ZIP3 (Zrt- and Irt-like protein 3), is a solute carrier family 39 (SLC39) and is critical in maintaining cellular zinc homeostasis. SLC39A3 is a multi-pass membrane protein that belongs to the ZIP family of zinc transporters responsible for the influx of zinc into cells from the extracellular space.
Properties
| Storage Instructions | All the reagents are stored at 2-8°C. The kit is stable for 6 months from the date of receipt. |
| Synonyms | Zinc transporter ZIP3, ZIP 3, ZIP3, ZIP-3, Zrt and Irt like protein 3 |



